Dental infection

Dental infection
Other names: Tooth, infection, odontogenic infection
Xray showing peri-radicular radiolucency and bone loss caused by an odontogenic infection under the roots of two anterior teeth
SpecialtyDentistry

Dental infection is an infection that originates within a tooth or in the closely surrounding tissues.[1]

The most common causes are cavities, deep fillings, failed root canal, gum disease, and pericoronitis.[2] They generally starts localised and may remain localised or spread into adjacent or distant areas.

About 90-95% of all orofacial infections start from the teeth or their supporting structures and are the most common infections in the mouth and maxilofacial region.[3] One type, Ludwig's angina is associated with a risk of death of 10 to 40%.[4] About 70% of occur as periapical inflammation, i.e. acute periapical periodontitis or a periapical abscess.[3] The next most common form is a periodontal abscess.[3]

Complications

Odontogenic infection can be managed relatively easily if treated in the early stages of infection. However, there are some factors which need to be taken in consideration when dealing with odontogenic infection. Major complication factor for managing odontogenic infections is host defence mechanism which can be impaired by systemic illnesses and certain medications.[5] Table below shows most common causes for impaired defence mechanism.

Risk for complications
Systemic illness Drugs related
Diabetes mellitus Corticosteroid therapy
HIV, measles, chronic malaria, tuberculosis Cytotoxic drugs
Hyperthyroidism, hypothyroidism Excessive antibiotics
Liver disease, kidney failure, heart failure Malnutrition
Blood dyscrasia, anaemia, sickle cell disease Allergic reaction
Alcohol use disorder
Irradiation

If treatment is delayed, odontogenic infection can spread into adjacent tissues. This may result in respiratory obstruction and sepsis, and less commonly endocarditis, necrotising fasciitis, spondylitis, brain abscess, descending mediastinitis, thoracic empyema, pleuropulmonary suppuration, aspiration pneumonia, pneumothorax, mandibular or cervical osteomyelitis, abscess of the carotid sheath and jugular thrombophlebitis, hematogenous dissemination to distant organs, and coagulation abnormalities.[5]

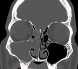
Sinusitis

CT showing complete opacification of the right maxillary and right anterior ethmoid sinuses with associated involvement of the ostiomeatus.

Sinusitis is inflammation of the paranasal air sinuses. Odontogenic sinusitis is that which results of dental disease, most often resulting from prior dentoalveolar procedures, infections of maxillary dentition, or maxillary dental trauma.[6] Infections associated with teeth may be responsible for approximately 20% of cases of maxillary sinusitis.[7] The cause is usually a periapical or periodontal infection of a maxillary posterior tooth, where the inflammatory exudate has eroded through the bone superiorly to drain into the maxillary sinus. Treatment of the underlying dental disease is the first step in the treatment of odontogenic sinusitis, however recent a portion require endoscopic sinus surgery for successful resolution.[6] Once an odontogenic infection involves the maxillary sinus, it is possible that it may then spread to the orbit or to the ethmoid sinus.[7]

Treatment

Antibiotics are only recommended in those who have a fever or significant involvement.[8] Other measures may include draining any abscesses.[8] Typically recommended antibiotics include amoxicillin, or cefuroxime in those who have a penicillin allergy.[8] Clindamycin is less preferred due to greater side effects.[8]

Terminology

The term is derived from odonto- (Ancient Greek: ὀδούς, odoús – 'tooth') and -genic (Ancient Greek: -γενής, -γενῶς; -genḗs, -genôs – 'birth').

References

  1. Jiménez, Y; Bagán, JV; Murillo, J; Poveda, R (2004). "Odontogenic infections. Complications. Systemic manifestations" (PDF). Medicina Oral, Patologia Oral y Cirugia Bucal. 9 Suppl: 143–7, 139–43. PMID 15580132. Archived (PDF) from the original on 2021-04-23. Retrieved 2023-09-01.
  2. Ogle, Orrett E. (April 2017). "Odontogenic Infections". Dental Clinics of North America. 61 (2): 235–252. doi:10.1016/j.cden.2016.11.004. ISSN 1558-0512. PMID 28317564.
  3. 3.0 3.1 3.2 Fragiskos, Fragiskos D. (2007). Oral surgery. Berlin: Springer. pp. 205–206. ISBN 978-3-540-25184-2.
  4. Bali, RishiKumar; Sharma, Parveen; Gaba, Shivani; Kaur, Avneet; Ghanghas, Priya (2015). "A review of complications of odontogenic infections". National Journal of Maxillofacial Surgery. 6 (2): 136–43. doi:10.4103/0975-5950.183867. ISSN 0975-5950. PMC 4922222. PMID 27390486.{{cite journal}}: CS1 maint: unflagged free DOI (link)
  5. 5.0 5.1 Bali, Rishi Kumar; Sharma, Parveen; Gaba, Shivani; Kaur, Avneet; Ghanghas, Priya (2015-07-01). "A review of complications of odontogenic infections". National Journal of Maxillofacial Surgery. 6 (2): 136–143. doi:10.4103/0975-5950.183867. ISSN 0975-5950. PMC 4922222. PMID 27390486.{{cite journal}}: CS1 maint: unflagged free DOI (link)
  6. 6.0 6.1 Little, Ryan (3 April 2018). "Odontogenic sinusitis: A review of the current literature". Laryngoscope Investigative Otolaryngology. 3 (2): 110–114. doi:10.1002/lio2.147. PMC 5915825. PMID 29721543.
  7. 7.0 7.1 Hupp JR, Ellis E, Tucker MR (2008). Contemporary oral and maxillofacial surgery (5th ed.). St. Louis, Mo.: Mosby Elsevier. pp. 317–333. ISBN 9780323049030.
  8. 8.0 8.1 8.2 8.3 "[148] Rethink clindamycin for dental patient safety". Therapeutics Initiative. Archived from the original on 27 April 2024. Retrieved 27 April 2024.

External links