Cardiomyopathy
| Cardiomyopathy | |
|---|---|
![]() | |
| Opened left ventricle showing thickening, dilatation, and subendocardial fibrosis noticeable as increased whiteness of the inside of the heart. | |
| Specialty | Cardiology |
| Symptoms | Shortness of breath, feeling tired, swelling of the legs[1] |
| Complications | Heart failure, irregular heart beat, sudden cardiac death[1][2] |
| Types | Hypertrophic cardiomyopathy, dilated cardiomyopathy, restrictive cardiomyopathy, arrhythmogenic right ventricular dysplasia, takotsubo cardiomyopathy[3] |
| Causes | Unknown, genetic, alcohol, heavy metals, amyloidosis, stress[3][4] |
| Treatment | Depends on type and symptoms[5] |
| Frequency | 2.5 million with myocarditis (2015)[6] |
| Deaths | 354,000 with myocarditis (2015)[7] |
Cardiomyopathy is a group of diseases that affect the heart muscle.[1] Early on there may be few or no symptoms.[1] As the disease worsens, shortness of breath, feeling tired, and swelling of the legs may occur, due to the onset of heart failure.[1] An irregular heart beat and fainting may occur.[1] Those affected are at an increased risk of sudden cardiac death.[2]
Types of cardiomyopathy include hypertrophic cardiomyopathy, dilated cardiomyopathy, restrictive cardiomyopathy, arrhythmogenic right ventricular dysplasia, and takotsubo cardiomyopathy (broken heart syndrome).[3] In hypertrophic cardiomyopathy the heart muscle enlarges and thickens.[3] In dilated cardiomyopathy the ventricles enlarge and weaken.[3] In restrictive cardiomyopathy the ventricle stiffens.[3]
In many cases, the cause cannot be determined.[4] Hypertrophic cardiomyopathy is usually inherited, whereas dilated cardiomyopathy is inherited in about one third of cases.[4] Dilated cardiomyopathy may also result from alcohol, heavy metals, coronary artery disease, cocaine use, and viral infections.[4] Restrictive cardiomyopathy may be caused by amyloidosis, hemochromatosis, and some cancer treatments.[4] Broken heart syndrome is caused by extreme emotional or physical stress.[3]
Treatment depends on the type of cardiomyopathy and the severity of symptoms.[5] Treatments may include lifestyle changes, medications, or surgery.[5] Surgery may include a ventricular assist device or heart transplant.[5] In 2015 cardiomyopathy and myocarditis affected 2.5 million people.[6] Hypertrophic cardiomyopathy affects about 1 in 500 people while dilated cardiomyopathy affects 1 in 2,500.[3][8] They resulted in 354,000 deaths up from 294,000 in 1990.[7][9] Arrhythmogenic right ventricular dysplasia is more common in young people.[2]
Signs and symptoms
Symptoms of cardiomyopathies may include fatigue, swelling of the lower extremities and shortness of breath after exertion.[10] Additional symptoms of the condition may include arrhythmia, fainting, and dizziness.[10]
Causes
Cardiomyopathies are either confined to the heart or are part of a generalized systemic disorder, both often leading to cardiovascular death or progressive heart failure-related disability. Other diseases that cause heart muscle dysfunction are excluded, such as coronary artery disease, hypertension, or abnormalities of the heart valves.[11] Often, the underlying cause remains unknown, but in many cases the cause may be identifiable.[12] Alcoholism, for example, has been identified as a cause of dilated cardiomyopathy, as has drug toxicity, and certain infections (including Hepatitis C).[13][14][15] Untreated celiac disease can cause cardiomyopathies, which can completely reverse with a timely diagnosis.[16] In addition to acquired causes, molecular biology and genetics have given rise to the recognition of various genetic causes.[14][17]
A more clinical categorization of cardiomyopathy as 'hypertrophied', 'dilated', or 'restrictive',[18] has become difficult to maintain because some of the conditions could fulfill more than one of those three categories at any particular stage of their development. The current American Heart Association definition divides cardiomyopathies into primary, which affect the heart alone, and secondary, which are the result of illness affecting other parts of the body. These categories are further broken down into subgroups which incorporate new genetic and molecular biology knowledge.[19]
Mechanism
The pathophysiology of cardiomyopathies is better understood at the cellular level with advances in molecular techniques. Mutant proteins can disturb cardiac function in the contractile apparatus (or mechanosensitive complexes). Cardiomyocyte alterations and their persistent responses at the cellular level cause changes that are correlated with sudden cardiac death and other cardiac problems.[20]
Diagnosis
Among the diagnostic procedures done to determine a cardiomyopathy are:[21]
- Physical exam
- Family history
- Blood test
- ECG
- Echocardiogram
- Stress test
- Genetic testing
-
a-c) Histological abnormalities in cardiomyopathy -
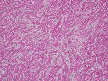
Stained microscopic section of heart muscle in hypertrophic cardiomyopathy -
The arrhythmia, ventricular fibrillation, seen on an ECG -
Normal sinus rhythm/EKG
Classification

Cardiomyopathies can be classified using different criteria:[22]
- Primary/intrinsic cardiomyopathies[23]
- Genetic
- Hypertrophic cardiomyopathy
- Arrhythmogenic right ventricular cardiomyopathy (ARVC)
- LV non-compaction
- Ion Channelopathies
- Dilated cardiomyopathy (DCM)
- Restrictive cardiomyopathy (RCM)
- Acquired
- Stress cardiomyopathy
- Myocarditis, inflammation of and injury to heart tissue due in part to its infiltration by lymphocytes and monocytes[24][25]
- Eosinophilic myocarditis, inflammation of and injury to heart tissue due in part to its infiltration by eosinophils[24]
- Ischemic cardiomyopathy (not formally included in the classification as a direct result of another cardiac problem)[23]
- Genetic
- Secondary/extrinsic cardiomyopathies[23]
- Metabolic/storage
- Fabry's disease
- Hemochromatosis
- Endomyocardial
- Endocrine
- Cardiofacial
- Neuromuscular
- Other
- Obesity-associated cardiomyopathy[26]
- Metabolic/storage
Treatment
Treatment may include suggestion of lifestyle changes to better manage the condition. Treatment depends on the type of cardiomyopathy and condition of disease, but may include medication (conservative treatment) or iatrogenic/implanted pacemakers for slow heart rates, defibrillators for those prone to fatal heart rhythms, ventricular assist devices (VADs) for severe heart failure, or ablation for recurring dysrhythmias that cannot be eliminated by medication or mechanical cardioversion. The goal of treatment is often symptom relief, and some patients may eventually require a heart transplant.[10]
See also
- Myopathy (a condition affecting skeletal muscles)
References
- ↑ 1.0 1.1 1.2 1.3 1.4 1.5 "What Are the Signs and Symptoms of Cardiomyopathy?". NHLBI. 22 June 2016. Archived from the original on 15 September 2016. Retrieved 31 August 2016.
- ↑ 2.0 2.1 2.2 "Who Is at Risk for Cardiomyopathy?". NHLBI. 22 June 2016. Archived from the original on 16 August 2016. Retrieved 31 August 2016.
- ↑ 3.0 3.1 3.2 3.3 3.4 3.5 3.6 3.7 "Types of Cardiomyopathy". NHLBI. 22 June 2016. Archived from the original on 28 July 2016. Retrieved 31 August 2016.
- ↑ 4.0 4.1 4.2 4.3 4.4 "What Causes Cardiomyopathy?". NHLBI. 22 June 2016. Archived from the original on 15 September 2016. Retrieved 31 August 2016.
- ↑ 5.0 5.1 5.2 5.3 "How Is Cardiomyopathy Treated?". NHLBI. 22 June 2016. Archived from the original on 15 September 2016. Retrieved 31 August 2016.
- ↑ 6.0 6.1 GBD 2015 Disease and Injury Incidence and Prevalence, Collaborators. (8 October 2016). "Global, regional, and national incidence, prevalence, and years lived with disability for 310 diseases and injuries, 1990-2015: a systematic analysis for the Global Burden of Disease Study 2015". Lancet. 388 (10053): 1545–1602. doi:10.1016/S0140-6736(16)31678-6. PMC 5055577. PMID 27733282.
{{cite journal}}:|first1=has generic name (help)CS1 maint: numeric names: authors list (link) - ↑ 7.0 7.1 GBD 2015 Mortality and Causes of Death, Collaborators. (8 October 2016). "Global, regional, and national life expectancy, all-cause mortality, and cause-specific mortality for 249 causes of death, 1980-2015: a systematic analysis for the Global Burden of Disease Study 2015". Lancet. 388 (10053): 1459–1544. doi:10.1016/s0140-6736(16)31012-1. PMC 5388903. PMID 27733281.
{{cite journal}}:|first1=has generic name (help)CS1 maint: numeric names: authors list (link) - ↑ Practical Cardiovascular Pathology. Lippincott Williams & Wilkins. 2010. p. 148. ISBN 9781605478418. Archived from the original on 14 September 2016.
- ↑ GBD 2013 Mortality and Causes of Death, Collaborators (17 December 2014). "Global, regional, and national age-sex specific all-cause and cause-specific mortality for 240 causes of death, 1990-2013: a systematic analysis for the Global Burden of Disease Study 2013". Lancet. 385 (9963): 117–71. doi:10.1016/S0140-6736(14)61682-2. PMC 4340604. PMID 25530442.
{{cite journal}}:|first1=has generic name (help)CS1 maint: numeric names: authors list (link) - ↑ 10.0 10.1 10.2 "What Are the Signs and Symptoms of Cardiomyopathy? - NHLBI, NIH". www.nhlbi.nih.gov. Archived from the original on 28 July 2016. Retrieved 25 July 2016.
- ↑ Lakdawala, NK; Stevenson, LW; Loscalzo, J (2015). "Chapter 287". In Kasper, DL; Fauci, AS; Hauser, SL; Longo, DL; Jameson, JL; Loscalzo, J (eds.). Harrison's Principles of Internal Medicine (19th ed.). McGraw-Hill. p. 1553. ISBN 978-0-07-180215-4.
- ↑ Pathophysiology of heart disease : a collaborative project of medical students and faculty. Lilly, Leonard S., Harvard Medical School. (5th ed.). Baltimore, MD: Wolters Kluwer/Lippincott Williams & Wilkins. 2011. ISBN 978-1605477237. OCLC 649701807.
{{cite book}}: CS1 maint: others (link) - ↑ Adam A, Nicholson C, Owens L (2008). "Alcoholic dilated cardiomyopathy". Nurs Stand (Review). 22 (38): 42–7. doi:10.7748/ns2008.05.22.38.42.c6565. PMID 18578120.
- ↑ 14.0 14.1 Westphal JG, Rigopoulos AG, Bakogiannis C, Ludwig SE, Mavrogeni S, Bigalke B, et al. (2017). "The MOGE(S) classification for cardiomyopathies: current status and future outlook". Heart Fail Rev (Review). 22 (6): 743–752. doi:10.1007/s10741-017-9641-4. PMID 28721466.
- ↑ Domont F, Cacoub P (2016). "Chronic hepatitis C virus infection, a new cardiovascular risk factor?". Liver Int (Review). 36 (5): 621–7. doi:10.1111/liv.13064. PMID 26763484. Archived from the original on 23 September 2017. Retrieved 16 May 2018.
- ↑ Ciaccio EJ, Lewis SK, Biviano AB, Iyer V, Garan H, Green PH (2017). "Cardiovascular involvement in celiac disease". World J Cardiol (Review). 9 (8): 652–666. doi:10.4330/wjc.v9.i8.652. PMC 5583538. PMID 28932354.
{{cite journal}}: CS1 maint: unflagged free DOI (link) - ↑ Simpson S, Rutland P, Rutland CS (2017). "Genomic Insights into Cardiomyopathies: A Comparative Cross-Species Review". Vet Sci (Review). 4 (1): 19. doi:10.3390/vetsci4010019. PMC 5606618. PMID 29056678.
{{cite journal}}: CS1 maint: unflagged free DOI (link) - ↑ Valentin Fuster; John Willis Hurst (2004). Hurst's the heart. McGraw-Hill Professional. pp. 1884–. ISBN 978-0-07-143225-2. Archived from the original on 27 May 2013. Retrieved 11 November 2010.
- ↑ McCartan C, Maso R, Jayasinghe SR, Griffiths LR (2012). "Cardiomyopathy Classification: Ongoing Debate in the Genomics Era". Biochem Res Int. 2012: 796926. doi:10.1155/2012/796926. PMC 3423823. PMID 22924131.
{{cite journal}}: CS1 maint: unflagged free DOI (link) - ↑ Harvey, Pamela A.; Leinwand, Leslie A. (8 August 2011). "Cellular mechanisms of cardiomyopathy". The Journal of Cell Biology. 194 (3): 355–365. doi:10.1083/jcb.201101100. ISSN 0021-9525. PMC 3153638. PMID 21825071.
- ↑ "Cardiomyopathy - Diagnosis | NHLBI, NIHCardiomyopathy". www.nhlbi.nih.gov. Archived from the original on 15 November 2022. Retrieved 28 November 2022.
- ↑ Vinay, Kumar (2013). Robbins Basic Pathology. Elsevier. p. 396. ISBN 978-1-4377-1781-5.
- ↑ 23.0 23.1 23.2 Maron, Barry J.; Towbin, Jeffrey A.; Thiene, Gaetano; Antzelevitch, Charles; Corrado, Domenico; Arnett, Donna; Moss, Arthur J.; Seidman, Christine E.; Young, James B. (11 April 2006). "Contemporary Definitions and Classification of the Cardiomyopathies". Circulation. 113 (14): 1807–1816. doi:10.1161/CIRCULATIONAHA.106.174287. ISSN 0009-7322. PMID 16567565. Archived from the original on 20 August 2016. Retrieved 1 August 2016.
- ↑ 24.0 24.1 Séguéla PE, Iriart X, Acar P, Montaudon M, Roudaut R, Thambo JB (2015). "Eosinophilic cardiac disease: Molecular, clinical and imaging aspects". Archives of Cardiovascular Diseases. 108 (4): 258–68. doi:10.1016/j.acvd.2015.01.006. PMID 25858537.
- ↑ Rose NR (2016). "Viral myocarditis". Current Opinion in Rheumatology. 28 (4): 383–9. doi:10.1097/BOR.0000000000000303. PMC 4948180. PMID 27166925.
- ↑ Lipshultz, Steven E.; Messiah, Sarah E.; Miller, Tracie L. (5 April 2012). Pediatric Metabolic Syndrome: Comprehensive Clinical Review and Related Health Issues. Springer Science & Business Media. p. 200. ISBN 9781447123651. Archived from the original on 29 May 2016.
Further reading
- Boudina, Sihem; Abel, Evan Dale (1 March 2010). "Diabetic cardiomyopathy, causes and effects". Reviews in Endocrine & Metabolic Disorders. 11 (1): 31–39. doi:10.1007/s11154-010-9131-7. ISSN 1389-9155. PMC 2914514. PMID 20180026.
- Marian, A. J.; Roberts, Robert (1 April 2001). "The Molecular Genetic Basis for Hypertrophic Cardiomyopathy". Journal of Molecular and Cellular Cardiology. 33 (4): 655–670. doi:10.1006/jmcc.2001.1340. ISSN 0022-2828. PMC 2901497. PMID 11273720.
- Acton, Q. Ashton (2013). Advances in Heart Research and Application: 2013 Edition. Scholarly Editions. ISBN 978-1-481-68280-0.
- Towbin, JA (2014). "Inherited cardiomyopathies". Circulation Journal. 78 (10): 2347–56. doi:10.1253/circj.cj-14-0893. ISSN 1347-4820. PMC 4467885. PMID 25186923.
- Maron, Barry J.; Udelson, James E.; Bonow, Robert O.; Nishimura, Rick A.; Ackerman, Michael J.; Estes, N. A. Mark; Cooper, Leslie T.; Link, Mark S.; Maron, Martin S. (1 December 2015). "Eligibility and Disqualification Recommendations for Competitive Athletes With Cardiovascular Abnormalities: Task Force 3: Hypertrophic Cardiomyopathy, Arrhythmogenic Right Ventricular Cardiomyopathy and Other Cardiomyopathies, and Myocarditis: A Scientific Statement From the American Heart Association and American College of Cardiology". Circulation. 132 (22): e273–280. doi:10.1161/CIR.0000000000000239. ISSN 1524-4539. PMID 26621644.
External links
- Cardiomyopathy at Curlie
| Classification | |
|---|---|
| External resources |
| Look up cardiomyopathy in Wiktionary, the free dictionary. |
