Bone sarcoma
| Bone sarcoma | |
|---|---|
![]() | |
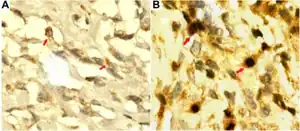
| a,b)Immunohistochemical expression for CD99 and HLA-II in primary osteosarcoma tissues | |
| Specialty | Oncology |
A bone sarcoma is a primary cancerous bone tumour, a type of sarcoma that starts in the bones.[1] This is in contrast to most bone cancers that are secondary having developed as a metastasis from another cancer. Bone sarcomas are rare, and mostly affect the legs. The other type of sarcoma is a soft-tissue sarcoma.
There are three main types of bone sarcoma based on tissue type – an osteosarcoma, a Ewing's sarcoma, and a chondrosarcoma.[1]
Main types
The three main types of bone sarcoma are an osteosarcoma, most frequently found of the three; Ewing's sarcoma, and a chondrosarcoma.[2] There are many subtypes of these.
Osteosarcoma

An osteosarcoma is predominantly found in childhood and adolescence.[1] They are primarily found in long bones, and may be secondary tumours.[3] Osteosarcomas are composed of mesenchymal cells that produce immature bone.[4] The tumour cells are unique in that they produce immature osteoid.[3]
Ewing's sarcoma
Ewing's sarcoma is the next most commonly found sarcoma in adolescents and young adults. Ewing's is highly aggressive, typically developing from the medullary cavity of a bone with cells invading the Haversian system.[5] An immunohistochemistry test shows the tumour as having small rounded blue cells.[6][7] The cells express high levels of CD99.[5]
Chondrosarcoma
A chondrosarcoma is the type of bone cancer that starts in the cartilage cells. It is the most common type found in adults. Unlike the other types it is rarely found in those under the age of twenty. Most chondrosarcomas develop in the pelvis, legs or arms. Benign counterparts are known as enchondromas. Chondrosarcomas are classified by grade as a measurement of their growth rate – I, II, and III. The lower the grade the slower the rate of growth. Grade III are the most aggressive, and are liable to spread.[8]
Subtypes of chondrosarcomas have different features and different outlooks, they include:
- Dedifferentiated
- Dedifferentiated chondrosarcomas can change in part to cells that are like those of an osteosarcoma for example which has a faster rate of growth.
- Clear cell
- Clear cell chondrosarcomas are rare, slow-growing, and seldom spread.
- Mesenchymal
- Mesenchymal chondrosarcomas can grow quickly but unlike other types may respond to radiotherapy, and chemotherapy.[8] They have densely packed small round blue cells like those in Ewing's sarcoma.[9] Type II collagen can help distinguish it from other tumours.[10]
References
- ↑ 1.0 1.1 1.2 Ferri, Fred (2019). Ferri's clinical advisor 2019 : 5 books in 1. Elsevier. p. 1219. ISBN 9780323530422.
- ↑ Ferguson, JL; Turner, SP (15 August 2018). "Bone Cancer: Diagnosis and Treatment Principles". American Family Physician. 98 (4): 205–213. PMID 30215968.
- ↑ 3.0 3.1 Moore, DD; Luu, HH (2014). "Osteosarcoma". Cancer Treatment and Research. 162: 65–92. doi:10.1007/978-3-319-07323-1_4. ISBN 978-3-319-07322-4. PMID 25070231.
- ↑ Biazzo, A; De Paolis, M (December 2016). "Multidisciplinary approach to osteosarcoma". Acta Orthopaedica Belgica. 82 (4): 690–698. PMID 29182106.
- ↑ 5.0 5.1 Grünewald, TGP; Cidre-Aranaz, F; Surdez, D (5 July 2018). "Ewing sarcoma". Nature Reviews. Disease Primers. 4 (1): 5. doi:10.1038/s41572-018-0003-x. PMID 29977059. S2CID 49571421.
- ↑ Ferri, Fred (2019). Ferri's clinical advisor 2019 : 5 books in 1. Elsevier. p. 232. ISBN 9780323530422.
- ↑ Gaillard, Frank. "Ewing sarcoma | Radiology Reference Article | Radiopaedia.org". Radiopaedia. Archived from the original on 14 January 2021. Retrieved 2 August 2020.
- ↑ 8.0 8.1 "What Is Bone Cancer?". www.cancer.org. Archived from the original on 27 November 2020. Retrieved 3 August 2020.
- ↑ Gaillard, Frank. "Mesenchymal chondrosarcoma | Radiology Reference Article | Radiopaedia.org". Radiopaedia. Archived from the original on 2021-01-14. Retrieved 2021-09-04.
- ↑ Müller S, Söder S, Oliveira AM, Inwards CY, Aigner T (August 2005). "Type II collagen as specific marker for mesenchymal chondrosarcomas compared to other small cell sarcomas of the skeleton". Mod. Pathol. 18 (8): 1088–94. doi:10.1038/modpathol.3800391. PMID 15731776.
