Basidiobolomycosis
| Basidiobolomycosis | |
|---|---|
![]() | |
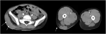
| CT images of lesion showing enhancing hypodense areas(Basidiobolomycosis caused by Basidiobolus meristosporus) | |
| Specialty | Infectious disease[1] |
| Symptoms | Firm painless nodule in skin,[2] tummy upset[3] |
| Complications | Spread to local structures[2] |
| Usual onset | Gradual/slow[2] |
| Causes | B. ranarum[2] |
| Diagnostic method | Medical imaging, biopsy, microscopy, culture, histopathology[2] |
| Differential diagnosis | Inflammatory bowel disease[2] |
| Treatment | Antifungals, surgery[4] |
| Medication | Amphotericin B[4] |
| Frequency | Rare[3] |
Basidiobolomycosis is a fungal infection caused by Basidiobolus ranarum.[1] It may appear as one or more large painless firm bumps in the skin which becomes purplish with an edge that appears to be slowly growing outwards.[1][3] A serious but less common type affects the stomach and intestine, which usually presents with tummy ache, fever and a lump.[3]
B. ranarum is typically found in soil, decaying vegetables and has been isolated from insects, some reptiles, amphibians, and mammals.[2] The disease results from direct entry of the fungus through broken skin such as an insect bite or trauma, or eating contaminated food.[3] It generally affects people who are well.[2] It includes B. ranarum causing mucormycosis just under skin.[1]
Diagnosis is by medical imaging, biopsy, microscopy, culture and histopathology.[2] Treatment typically involves amphotericin B and surgery.[3][4]
Although B. ranarum is found around the world, the disease Basidiobolomycosis is generally reported in tropical and subtropical areas of Africa, South America, Asia and Southwestern United States. It is rare.[3] The first case in a human was reported in 1956 as a skin infection in Indonesia.[4]
Signs and symptoms

Basidiobolomycosis may appear as a firm nodule in the skin which becomes purplish with an edge that appears to be slowly growing outwards.[1][3]
It is generally painless but may feel itchy or burning.[1][3] There can be one lesion or several, and usually on the arms or legs of children.[1]
Pus may be present if a bacterial infection also occurs.[3] The infection can spread to nearby structures such as muscles, bones and lymph nodes.[2]
A serious but less common type affects the stomach and intestine, which usually presents with tummy ache, fever and a lump.[3][5] Lymphoedema may occur.[3][4]
Cause
.jpg)
Basidiobolomycosis is a type of Entomophthoromycosis, the other being conidiobolomycosis, and is caused by Basidiobolus ranarum, a fungus belonging to the order Entomophthorales.[2]
B. ranarum has been found in soil, decaying vegetables and has been isolated from insects some reptiles, amphibians, and mammals.[2]
The disease results from direct entry of the fungus through broken skin such as an insect bite or trauma, or eating contaminated food.[3]
Diabetes may be a risk factor.[3]
The exact way in which infection results is not completely understood.[3]
Diagnosis
Diagnosis is by culture and biopsy.[4]
A review in 2015 showed that the most common finding on imaging of the abdomen was a mass in the bowel, the liver, or multiple sites and bowel wall thickening. Initially, many were considered to have either a cancer of the bowel or Crohns disease.[6][7]
Treatment
Treatment usually involves itraconazole or amphotericin B, combined with surgery.[4] Bowel involvement may be better treated with Voriconazole.[2]
Epidemiology
The condition is rare but emerging.[3] Men and children are affected more than females.[3] The disease is generally reported in tropical and subtropical areas of Africa, South America, Asia and several cases in Southwestern United States.[2][3]
History
The first case in a human was reported from Indonesia as a skin infection in 1956.[4] In 1964, the first case involving stomach and intestine was reported.[4]
Society and culture
Cases among gardeners in Arizona, US, may indicate an occupational hazard, but is unproven.[4]
Other animals
Basidiobolomycosis has been reported in a dog.[8]
See also
References
- ↑ 1.0 1.1 1.2 1.3 1.4 1.5 1.6 "ICD-11 - ICD-11 for Mortality and Morbidity Statistics". icd.who.int. Archived from the original on 1 August 2018. Retrieved 22 May 2021.
- ↑ 2.00 2.01 2.02 2.03 2.04 2.05 2.06 2.07 2.08 2.09 2.10 2.11 2.12 2.13 Queiroz-Telles, Flavio; Fahal, Ahmed Hassan; Falci, Diego R.; Caceres, Diego H.; Chiller, Tom; Pasqualotto, Alessandro C. (November 2017). "Neglected endemic mycoses". The Lancet. Infectious Diseases. 17 (11): e367 – e377. doi:10.1016/S1473-3099(17)30306-7. ISSN 1474-4457. PMID 28774696. Archived from the original on 2021-08-27. Retrieved 2021-08-25.
- ↑ 3.00 3.01 3.02 3.03 3.04 3.05 3.06 3.07 3.08 3.09 3.10 3.11 3.12 3.13 3.14 3.15 3.16 3.17 Bering, Jamie; Mafi, Neema; Vikram, Holenarasipur R. (May 2018). "Basidiobolomycosis: an unusual, mysterious, and emerging endemic fungal infection". Paediatrics and International Child Health. 38 (2): 81–84. doi:10.1080/20469047.2018.1458772. ISSN 2046-9055. PMID 29846151. Archived from the original on 2021-08-27. Retrieved 2021-05-24.
- ↑ 4.00 4.01 4.02 4.03 4.04 4.05 4.06 4.07 4.08 4.09 Geramizadeh, Bita; Heidari, Mina; Shekarkhar, Golsa (March 2015). "Gastrointestinal Basidiobolomycosis, a Rare and Under-diagnosed Fungal Infection in Immunocompetent Hosts: A Review Article". Iranian Journal of Medical Sciences. 40 (2): 90–97. ISSN 0253-0716. PMID 25821287. Archived from the original on 2021-08-27. Retrieved 2021-05-23.
- ↑ Pezzani, Maria Diletta; Di Cristo, Valentina; Parravicini, Carlo; Sonzogni, Angelica; Tonello, Cristina; Franzetti, Marco; Sollima, Salvatore; Corbellino, Mario; Galli, Massimo; Milazzo, Laura; Antinori, Spinello (September 2019). "Gastrointestinal basidiobolomycosis: An emerging mycosis difficult to diagnose but curable. Case report and review of the literature". Travel Medicine and Infectious Disease. 31: 101378. doi:10.1016/j.tmaid.2019.01.013. ISSN 1873-0442. PMID 30660554. Archived from the original on 2021-08-27. Retrieved 2021-05-24.
- ↑ Flicek, Kristina T.; Vikram, Holenarasipur R.; De Petris, Giovanni D.; Johnson, C. Daniel (February 2015). "Abdominal imaging findings in gastrointestinal basidiobolomycosis". Abdominal Imaging. 40 (2): 246–250. doi:10.1007/s00261-014-0212-z. ISSN 1432-0509. PMID 25099255. Archived from the original on 2021-08-27. Retrieved 2021-05-24.
- ↑ Elzein, Fatehi; Mursi, Mohammed; Albarrag, Ahmed M.; Alfiaar, Abdullah; Alzahrani, Abdulaziz (7 August 2018). "Disseminated angioinvasive basidiobolomycosis with a favourable outcome". Medical Mycology Case Reports. 22: 30–34. doi:10.1016/j.mmcr.2018.08.001. ISSN 2211-7539. PMID 30128269. Archived from the original on 27 August 2021. Retrieved 24 May 2021.
- ↑ OKADA, Kazuki; AMANO, Shinjiro; KAWAMURA, Yoshio; KAGAWA, Yumiko (October 2015). "Gastrointestinal basidiobolomycosis in a dog". The Journal of Veterinary Medical Science. 77 (10): 1311–1313. doi:10.1292/jvms.15-0177. ISSN 0916-7250. PMID 25960121. Archived from the original on 2021-08-27. Retrieved 2021-05-24.
External links
| Classification |
|---|
