Ankylosis

Ankylosis
Other namesAnchylosis
Osseous ankylosis has fused two vertebrae of this North Atlantic right whale specimen
SpecialtyRheumatology

Ankylosis (from Greek ἀγκύλος (ankulos) 'bent, crooked') is a stiffness of a joint due to abnormal adhesion and rigidity of the bones of the joint, which may be the result of injury or disease. The rigidity may be complete or partial and may be due to inflammation of the tendinous or muscular structures outside the joint or of the tissues of the joint itself.[1]

When the structures outside the joint are affected, the term "false ankylosis" has been used in contradistinction to "true ankylosis", in which the disease is within the joint. When inflammation has caused the joint-ends of the bones to be fused together, the ankylosis is termed osseous or complete and is an instance of synostosis. Excision of a completely ankylotic shoulder or elbow may restore free mobility and usefulness to the limb. "Ankylosis" is also used as an anatomical term, bones being said to ankylose (or anchylose) when, from being originally distinct, they coalesce, or become so joined that no motion can take place between them.[1]

Causes

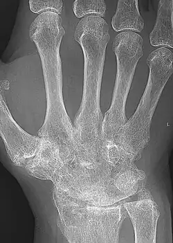
X-ray of the wrist of a woman with rheumatoid arthritis, showing unaffected carpal bones in the left image, and ankylosing fusion of the carpal bones 8 years later in the right image.

Society and culture

Fossil record

Evidence for ankylosis found in the fossil record is studied by paleopathologists, specialists in ancient disease and injury. Ankylosis has been reported in dinosaur fossils from several species, including Allosaurus fragilis, Becklespinax altispinax, Poekilopleuron bucklandii, and Tyrannosaurus rex (including the Stan specimen).[6]

References

  1. 1 2 One or more of the preceding sentences incorporates text from a publication now in the public domain: Chisholm H, ed. (1911). "Ankylosis". Encyclopædia Britannica. Vol. 2 (11th ed.). Cambridge University Press. p. 58.
  2. "Questions and Answers about Ankylosing Spondylitis". NIAMS. June 2016. Archived from the original on 28 September 2016. Retrieved 28 September 2016.
  3. Berenbaum F (January 2013). "Osteoarthritis as an inflammatory disease (osteoarthritis is not osteoarthrosis!)". Osteoarthritis and Cartilage. 21 (1): 16–21. doi:10.1016/j.joca.2012.11.012. PMID 23194896.
  4. Deeb GR, Yih WY, Merrill RG, Lundeen RC (November 1999). "Noma: report of a case resulting in bony ankylosis of the maxilla and mandible". Dento Maxillo Facial Radiology. 28 (6): 378–382. doi:10.1038/sj.dmfr.4600475. PMID 10578195..
  5. Pignolo RJ, Shore EM, Kaplan FS (December 2011). "Fibrodysplasia ossificans progressiva: clinical and genetic aspects". Orphanet Journal of Rare Diseases. 6 (1): 80. doi:10.1186/1750-1172-6-80. PMC 3253727. PMID 22133093.
  6. Molnar RD (2001). "Theropod paleopathology: a literature survey". In Tanke DH, Carpenter K (eds.). Mesozoic Vertebrate Life. Indiana University Press. pp. 337–363. ISBN 978-0-253-33907-2.