Acinar cell carcinoma of the pancreas
| Acinar cell carcinoma of the pancreas | |
|---|---|
| Other names | Acinar cell carcinoma |
![]() | |
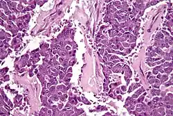
| Micrograph of an acinar cell carcinoma of the pancreas. H&E stain. | |
| Specialty | Oncology |
Acinar cell carcinoma of the pancreas, also acinar cell carcinoma, is a rare malignant exocrine tumour of the pancreas. It represents 5% of all exocrine tumours of the pancreas, making it the second most common type of pancreatic cancer.[1] It is abbreviated ACC. It typically has a guarded prognosis.
Signs and symptoms

The disease is more common in men than women and the average age at diagnosis is about 60.[2] Symptoms are often non-specific and include weight loss. A classic presentation, found in around 15% of cases includes subcutaneous nodules (due to fat necrosis) and arthralgias, caused by a release of lipase.[2]
Pathology
ACC is associated with increased serum lipase and manifests in the classic presentation known as the Schmid triad (subcutaneous fat necrosis, polyarthritis, eosinophilia).[3]
ACC are typically large, up to 10 cm, and soft compared to pancreatic adenocarcinoma, lacking its dense stroma. They can arise in any part of the pancreas.[2]
Histomorphologically, the tumour resembles the cells of the pancreatic acini and, typically, have moderate granular cytoplasm that stain with both PAS and PASD.[4]
Diagnosis


Light microscopy of an acinar cell carcinoma biopsy typically shows granular appearance.[6] Immunohistochemistry is usually positive for trypsin, chymotrypsin and lipase.[6] On genetic testing, altered genes/proteins are typically found for p53, SMAD4, APC, ARID1A and GNAS.[6]
Treatment
Surgery is recognized as the best therapeutic option for ACCs that are locally limited and resectable. In cases when surgery is not an option, more aggressive treatment plans for metastatic and locally advanced diseases must be looked for. The effectiveness of adjuvant therapy is still up for debate because of the rarity of ACC and the lack of adequate randomized trials comparing various treatment modalities.[7]
See also
References
- ↑ Tobias Jeffrey S., Hochhauser, Daniel, Cancer and its Management, p. 276, 2010 (6th edn), ISBN 1118713257, 9781118713259
- 1 2 3 Von Hoff": Daniel D. Von Hoff, Douglas Brian Evans, Ralph H. Hruban, eds. Pancreatic Cancer, 2005, Jones & Bartlett Learning, ISBN 0763721786, 9780763721787
- ↑ Jang, SH.; Choi, SY.; Min, JH.; Kim, TW.; Lee, JA.; Byun, SJ.; Lee, JW. (Feb 2010). "[A case of acinar cell carcinoma of pancreas, manifested by subcutaneous nodule as initial clinical symptom]". Korean J Gastroenterol. 55 (2): 139–43. doi:10.4166/kjg.2010.55.2.139. PMID 20168061.
- ↑ Klimstra, DS.; Heffess, CS.; Oertel, JE.; Rosai, J. (Sep 1992). "Acinar cell carcinoma of the pancreas. A clinicopathologic study of 28 cases". Am J Surg Pathol. 16 (9): 815–37. doi:10.1097/00000478-199209000-00001. PMID 1384374. S2CID 19317244.
- ↑ Wang Y, Miller FH, Chen ZE, Merrick L, Mortele KJ, Hoff FL; et al. (2011). "Diffusion-weighted MR imaging of solid and cystic lesions of the pancreas". Radiographics. 31 (3): E47-64. doi:10.1148/rg.313105174. PMID 21721197.
{{cite journal}}: CS1 maint: multiple names: authors list (link)
Diagram by Mikael Häggström, M.D. - 1 2 3 Pishvaian MJ, Brody JR (2017). "Therapeutic Implications of Molecular Subtyping for Pancreatic Cancer". Oncology (Williston Park). 31 (3): 159–66, 168. PMID 28299752.
- ↑ Calimano-Ramirez, Luis Fernando; Daoud, Taher; Gopireddy, Dheeraj Reddy; Morani, Ajaykumar C; Waters, Rebecca; Gumus, Kazim; Klekers, Albert Russell; Bhosale, Priya R; Virarkar, Mayur K (2022-10-21). "Pancreatic acinar cell carcinoma: A comprehensive review". World Journal of Gastroenterology. 28 (40). Baishideng Publishing Group Inc.: 5827–5844. doi:10.3748/wjg.v28.i40.5827. ISSN 1007-9327. PMC 9639656.
