Motivation and emotion/Book/2024/E-cigarette use motivation
What motivates starting and continuing vaping of nicotine e-cigarettes?
Overview
![]()
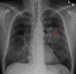
A previously healthy 16-year-old male presented with progressive shortness of breath, cough, and hypoxemia in the setting of several months of daily nicotine and THC-containing e-cigarette use. He had been suffering from a chronic cough and intermittent nausea since he started vaping several months before presentation. His cough worsened 1 week before admission to the hospital, accompanied by vomiting induced by coughing and non-bloody diarrhea. He subsequently developed a fever and was evaluated in an Emergency Department. A chest radiograph showed a right lower lobe pneumonia prompting outpatient treatment with bacterial infection medication (Shah et al., 2020). |
Electronic cigarettes (e-cigarettes) are electronic devices that use a battery powered heating element to disperse liquid, typically a glycerin and/or propylene glycol solution, into an inhalable aerosol (Wadsworth et al., 2016). This aerosolized liquid contains flavorings, solvents, and the addictive, dependence-producing drug nicotine (Breland et al., 2017).
Vaping and smoking prevalence in Australia has been trending upward since 2020, with the Australian population aged 14 and over containing 3.5 million smokers and/or vapers, with current smokers (11.8% of the population) outnumbering current vapers (8.9% of the population) (Wakefield et al., 2023).
| Focus questions |
|---|
| What motivates people to vape? |
| What are the physical and mental health implications of e-cigarette use? |
| What psychological theories may be applied to e-cigarette use? |
.png)
What motivates people to vape?
There are many factors that contribute to the initiation and maintenance of e-cigarette use behaviour. Below are some of the psychological, social, and biological factors that contribute to this behaviour.
Reasons for initiating e-cigarette use
The most common reason for initiating e-cigarette use or vaping is to stop or reduce tobacco smoking behaviour (Kinouani et al., 2017). However, current evidence regarding the effectiveness of e-cigarette use in smoking cessation is inconclusive. Several longitudinal studies have reported that e-cigarette use is associated with a greater risk of initiating the use of tobacco smoking products among adolescents and young adults (Kinouani et al., 2017). Smokers who initiate e-cigarette use for cessation rather than recreation or enjoyment purposes are more likely to have greater nicotine dependence, cigarette consumption, and e-cigarette consumption. However, motivations and use differ and are related to both consumption and dependence on nicotine e-cigarette products (Temourian et al., 2022). A qualitative interview-based study of e-cigarette use investigating motivation in smokers and non-smokers, revealed that non-smokers cited social reasons for e-cigarette use, such as peer influence and social norms, whereas, smokers or ex-smokers often cited health reasons for initiating e-cigarette use (Amin et al., 2021).
Socioeconomic status, adverse childhood events and e-cigarette use
Smoking and e-cigarette use is unequally distributed between people of different socioeconomic status, with higher smoking prevalence in lower status groups, contributing to health inequities (Jahnel et al., 2020). A study by Williams et al., 2020 examined adverse childhood experiences and early initiation of e-cigarette use behaviour in Nevada. Findings suggested a strong positively graded relationship between cumulative adverse childhood experience exposure and early initiation of electronic vapour product use in a middle school aged population.
Attitudes and education around e-cigarettes
Understanding individuals' perceptions around the relative safety of a behaviour provides a basis for a predictive relationship between perception/attitude and engagement in the behaviour (Erku et al., 2019). There appears to be a direct relationship between smokers' perception of the relative harm of tobacco cigarettes and nicotine vaping products (NVPs) and the likelihood of switching from smoking to vaping (Erku et al., 2019). A longitudinal study found that smokers and ex-smokers who perceived NVPs as less harmful were subsequently more likely to try them, however, a considerable portion of interviewed smokers reported a lack of knowledge about the relative safety (Erku et al., 2019). There are various reasons contributing to the significant rise in adolescent vaping. This includes misconceptions about the safety of e-cigarettes, lower prices than traditional tobacco cigarettes, a variety of flavours such as fruits and candy, and social or peer pressure (Javed et al., 2022).
Psychosocial factors relating to e-cigarette use
E-cigarette use studies have identified many psychosocial factors associated with the behaviour, such as difficulties with studying, school stress, problems communicating with parents, and generalised trust (Lindstrom & Rosvall, 2018). Other psychosocial factors identified include home use of e-cigarette products, friends' use of and positive attitudes towards usage, and harm perception. These were all found to be strongly positively associated with e-cigarette use behaviour (Barrington-Trimis et al., 2015). A study of university students attending an Appalachian university stated that the most common motivator for e-cigarette use was stress reduction, followed by the good taste, friends' usage, and wanting to quit cigarettes (Wattick et al., 2021).
Biological factors and addiction
The chemical nicotine, found in e-cigarettes and vapes, interacts with an individual's nicotinic acetylcholine receptors, initiating the release of neurotransmitters (Sansone et al., 2023). The predominant neurotransmitters that nicotine consumption releases include dopamine, norepinephrine, acetylcholine, serotonin, GABA, glutamate, and endorphins (Sansone et al., 2023). The release of these neurotransmitters induce sensations of pleasure, stimulation, and mood modulation (Sansone et al., 2023). Activation of these receptors establishes new neural pathways, and, in conjunction with environmental cues, behavioural conditioning occurs (Sansone et al., 2023). Between periods of nicotine consumption, or after discontinuing nicotine use, levels of nicotine in the brain decline, causing reductions in dopamine and other neurotransmitters, and symptoms such as craving and withdrawal (Sansone et al., 2023).
|
Maintenance of e-cigarette use behaviour
Little is known about the effects of long-term e-cigarette use, however findings suggest that the risk of relapse to combustible cigarette use is low (Du & Fan et al., 2019). Findings also suggest that e-cigarette dependence remains stable in long-term e-cigarette users (Du & Fan, 2019). Nicotine dependence is a factor of e-cigarette use maintenance and resistance to cessation, however a 2018 study from Browne and Todd suggests that motivations for vaping are less dominated by nicotine delivery (negative reinforcement), and may be driven by positive reinforcement factors.
What are the physical and mental health implications of e-cigarette use?
Physical health effects of e-cigarette use
Research on the long-term health effects of the orally-ingested toxicants delivered via aerosolized vapor in e-cigarettes is limited, however, there is rising concern about the health impacts among youth who begin using e-cigarettes at an early age (Williams et al., 2020). Many of the volatile organic compounds found in the saliva and urine samples of e-cigarette users are carcinogenic (Rubinstein et al., 2018). From March 2019 to February 2020, The Centers for Disease Control and Prevention stated that more than 2,807 cases of lung injury associated with e-cigarette use were reported (Rocheleau, 2020). Furthermore, as of 2020, there were 68 deaths associated with e-cigarette use across 29 states in the U.S. (Rocheleau, 2020)
Mental health effects of e-cigarette use
Nicotine, the addictive chemical component of e-cigarettes, has been shown to cause severe impairment to the growing brain leading to cognitive and psychiatric issues, such as depression, anxiety, violence, other substance abuse, and suicidality (Javed et al., 2022). In adolescents, depressive symptoms predict an increased likelihood of initiating e-cigarette use, but sustained e-cigarette use is associated with an increase in depressive symptoms, and higher frequency of e-cigarette use is associated with higher rates of depressive symptoms (Lechner et al., 2017). Although e-cigarette use has detrimental mental health effects, the prevalence of e-cigarette use is significantly higher amongst adults with serious psychological distress (Weinberger et al., 2020). The implications of these findings are crucial for approaches to public health and youth wellbeing, as they identify the demographic factors and predictors of the behaviour and the consequences of the behaviour.
Nicotine use in adolescents
There is a plethora of epidemiological evidence demonstrating that adolescents are more likely to use nicotine, and that nicotine exposure in adolescents causes a greater risk of long-term nicotine dependency (O'Dell, 2009). Adolescents, compared to adults, experience enhanced short-term positive effects and reduced aversive effects when using nicotine (O'Dell, 2009. This makes the use of nicotine more appealing for younger audiences which then leads to increased consumption. The implication this has on physical health is that it results in longer usage of the product causing poorer health outcomes. The short term positive affects create a dependency on the substance which negatively impacts mental health through addictive tendencies.
What psychological theories may be applied to e-cigarette use?
Theory of Planned Behaviour

Ajzen's theory of planned behaviour posits that attitudes, subjective norms, and perceived behavioural control all contribute to intentions to perform behaviours (Ajzen, 1991). In this context, the performed behaviour is e-cigarette use, and the theory of planned behaviour (TPB) components (attitude, subjective norms, perceived behavioural control) all influence an individual's intention as to whether they will perform this behaviour. A study from the British Journal of Addiction found that for adult smokers in the general population, perceived behavioural control, attitudes and subjective norms were contributing to intention regarding cigarette-smoking behaviour (Godin et al., 1992). The most current version of the TPB proposes that perceived behavioural control moderates the effects of subjective norm and attitude on intention (LaBarbera & Ajzen, 2020). This new theory posits that greater perceived behavioural control tends to strengthen the relative importance of attitude in the prediction of intention, whereas it tends to weaken the relative importance of subjective norm (LaBarbera & Ajzen, 2020)
Social Learning Theory
Social learning theory, originally proposed by Albert Bandura, primarily focuses on the importance of interactions one has with others in their peer group (Akers & Jennings, 2015), and posits that people learn through observing, imitating, and modelling others' behaviour (Nabavi, 2012). Findings from a study utilising a social learning approach to e-cigarette use found that higher levels of peer e-cigarette use contribute to higher odds of personal e-cigarette use (Rocheleau et al., 2020).
Conclusion
Electronic cigarettes are electronic devices that use a battery powered heating element to disperse liquid, typically a glycerin and/or propylene glycol solution, into an inhalable aerosol (Wadsworth et al.,2016), containing flavourings, solvents, and the addictive, dependence-producing drug nicotine (Breland et al., 2017).
The current literature suggests that reasons for initiation and maintenance of e-cigarette use behaviour vary, however the most common motivation is cessation cigarette smoking behaviour (Kinouani et al., 2017). Lower socioeconomic status and adverse childhood experiences contribute to higher rates of e-cigarette use (Williams et al., 2020), as well as variations in individual attitudes and e-cigarette education (Erku et al., 2019), as well as psychosocial factors such as such as difficulties with studying, school stress, problems communicating with parents, and generalised trust (Lindstrom & Rosvall, 2018).
E-cigarette use is associated with detrimental mental and physical health effects, with adolescents being the demographic most likely to be exposed to, and use, nicotine (O'Dell, 2009). Ajzen's theory of planned behaviour and Bandura's social learning theory are both relevant frameworks for understanding the initiation and maintenance of e-cigarette use behaviour.
|
See also
Nicotine and Emotion: what is the effect of nicotine on emotion? (book chapter)
Vaping - Society and Culture (wiki page)
References
Akers, R. L., & Jennings, W. G. (2015). Social learning theory. The handbook of criminological theory, 230-240.
Amin, S., Dunn, A. G., & Laranjo, L. (2021). Why do people start or stop using e‐cigarettes in Australia? A qualitative interview‐based study. Health Promotion Journal of Australia, 32, 358-366.
Barrington-Trimis, J. L., Berhane, K., Unger, J. B., Cruz, T. B., Huh, J., Leventhal, A. M., & McConnell, R. (2015). Psychosocial factors associated with adolescent electronic cigarette and cigarette use. Pediatrics, 136(2), 308-317.
Breland, A., Soule, E., Lopez, A., Ramôa, C., El‐Hellani, A., & Eissenberg, T. (2017). Electronic cigarettes: what are they and what do they do?. Annals of the New York Academy of Sciences, 1394(1), 5-30.
Browne, M., & Todd, D. G. (2018). Then and now: Consumption and dependence in e-cigarette users who formerly smoked cigarettes. Addictive behaviors, 76, 113-121.
Du, P., Fan, T., Yingst, J., Veldheer, S., Hrabovsky, S., Chen, C., & Foulds, J. (2019). Changes in e-cigarette use behaviors and dependence in long-term e-cigarette users. American journal of preventive medicine, 57(3), 374-383.
Erku, D. A., Gartner, C. E., Tengphakwaen, U., Morphett, K., & Steadman, K. J. (2019). Nicotine vaping product use, harm perception and policy support among pharmacy customers in Brisbane, Australia. Drug and Alcohol Review, 38(6), 703-711.
Jahnel, T., Ferguson, S. G., Partos, T., & Brose, L. S. (2020). Socioeconomic differences in the motivation to stop using e-cigarettes and attempts to do so. Addictive Behaviors Reports, 11, 100247.
Javed, S., Usmani, S., Sarfraz, Z., Sarfraz, A., Hanif, A., Firoz, A., ... & Ahmed, S. (2022). A scoping review of vaping, e-cigarettes and mental health impact: depression and suicidality. Journal of community hospital internal medicine perspectives, 12(3), 33.
Kinouani, S., Leflot, C., Vanderkam, P., Auriacombe, M., Langlois, E., & Tzourio, C. (2020). Motivations for using electronic cigarettes in young adults: A systematic review. Substance abuse, 41(3), 315-322.
La Barbera, F., & Ajzen, I. (2020). Control interactions in the theory of planned behavior: Rethinking the role of subjective norm. Europe's Journal of Psychology, 16(3), 401.
Lechner, W. V., Janssen, T., Kahler, C. W., Audrain-McGovern, J., & Leventhal, A. M. (2017). Bi-directional associations of electronic and combustible cigarette use onset patterns with depressive symptoms in adolescents. Preventive medicine, 96, 73-78.
Lindström, M., & Rosvall, M. (2018). Addictive behaviors, social and psychosocial factors, and electronic cigarette use among adolescents: a population-based study. Public Health, 155, 129-132.
Nabavi, R. T. (2012). Bandura’s social learning theory & social cognitive learning theory. Theory of Developmental Psychology, 1(1), 1-24.
O'Dell, L. E. (2009). A psychobiological framework of the substrates that mediate nicotine use during adolescence. Neuropharmacology, 56, 263-278.
Rocheleau, G. C., Vito, A. G., & Intravia, J. (2020). Peers, perceptions, and e-cigarettes: A social learning approach to explaining e-cigarette use among youth. Journal of drug issues, 50(4), 472-489.
Rubinstein, M. L., Delucchi, K., Benowitz, N. L., & Ramo, D. E. (2018). Adolescent exposure to toxic volatile organic chemicals from e-cigarettes. Pediatrics, 141(4).
Sansone, L., Milani, F., Fabrizi, R., Belli, M., Cristina, M., Zagà, V., ... & Russo, P. (2023). Nicotine: From discovery to biological effects. International Journal of Molecular Sciences, 24(19), 14570.
Shah, J., Mullen, M., & Lu, M. (2020). E-cigarette or vaping product use–associated lung injury: a case study and review of the literature. Journal of Radiology Nursing, 39(4), 305-308.
Temourian, A. A., Song, A. V., Halliday, D. M., Gonzalez, M., & Epperson, A. E. (2022). Why do smokers use e-cigarettes? A study on reasons among dual users. Preventive Medicine Reports, 29, 101924.
Wadsworth, E., Neale, J., McNeill, A., & Hitchman, S. C. (2016). How and why do smokers start using e-cigarettes? Qualitative study of vapers in London, UK. International Journal of Environmental Research and Public Health, 13(7), 661.
Wakefield, M., Haynes, A., Tabbakh, T., Scollo, M., & Durkin, S. (2023). Current vaping and current smoking in the Australian population aged 14+ years: February 2018-March 2023. Melbourne: Centre for Behavioural Research in Cancer, Cancer Council Victoria.
Wattick, R. A., Olfert, I. M., & Olfert, M. D. (2021). Psychosocial factors associated with E-cigarette use among young adults in a 4-year university in appalachia. Substance Use & Misuse, 56(8), 1182-1189.
Weinberger, A. H., Zhu, J., Barrington-Trimis, J. L., Wyka, K., & Goodwin, R. D. (2020). Cigarette use, e-cigarette use, and dual product use are higher among adults with serious psychological distress in the United States: 2014–2017. Nicotine and Tobacco Research, 22(10), 1875-1882.
Williams, L., Clements-Nolle, K., Lensch, T., & Yang, W. (2020). Exposure to adverse childhood experiences and early initiation of electronic vapor product use among middle school students in Nevada. Addictive Behaviors Reports, 11, 100266.
External links
- Quit Vaping, Australian Government
- New Supports to Quit Vaping and Smoking, Department of Health and Aged Care
