Page:Popular Science Monthly Volume 60.djvu/146
thermopile, the galvanometer shows a slowly falling temperature till we reach 1380° C, when solidification takes place. The changes which now go on take place in solid metal. After a time the temperature again falls until we reach 680°, when there is an evolution of heat; had the steel been free from carbon there would have been evolution of heat at 895° and again at 766°. Now throughout the cooling molecular changes are going on in the steel. By quenching the steel suddenly at any given temperature we can check the change and examine microscopically the structure of the steel at the temperature at which it was checked.
In the figure, with the exception of specimen No. 6, the metal has not been heated above 1050°, over 300° below its melting point.
![]() | ||
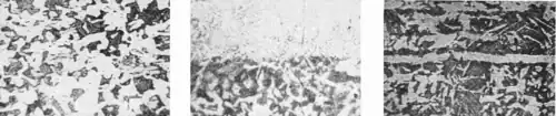
| Section of Good Rail. | Section of Bad Rail, showing Surface to which Fracture was Due. | Section of Rail after Rolling. |
At temperatures between about 900° and 1100° the carbon exists in the form of carbide of iron dissolved in the iron, at a temperature of 890° the iron which can exist in different forms as an allotropic substance passes from the γ form to the β form, and in this form cannot dissolve more than .9 per cent, of carbon as carbide. Thus at this temperature a large proportion of the carbon passes out of the solution. At 680° the remainder of the carbide falls out of the solution as lamina.
Thus the following temperatures must be noted: 1380°, melting point; 1050°, highest point reached by specimen; 890°, .6 per cent, of carbon deposited; 680°, rest of carbide deposited.
To turn now to the details of the photo, the center piece is the cemented steel as it comes from the furnace after the usual treatment.
These slides are sufficient to call attention to the changes which occur in solid iron, changes whose importance is now beginning to be realized. On viewing them it is a natural question to ask how all the other properties of iron related to its structure; can we by special treatment produce a steel more suited to the shipbuilder, the railway engineer or the dynamo maker than any he now possesses?
These marked effects are connected with variations in the condition of the carbon in the iron; can equally or possibly more marked changes be produced by the introduction of some other elements? Guillaume's
