Pleomorphic lipoma
| Pleomorphic lipoma | |
|---|---|
![]() | |
| Pleomorphic lipoma | |
| Specialty | Oncology |
Pleomorphic lipomas, like spindle-cell lipomas, occur for the most part on the backs and necks of elderly men, and are characterized by floret giant cells with overlapping nuclei.[1]: 625
Signs and symptoms
Most cases of pleomorphic lipoma are seen in the subcutaneous tissue of the back, shoulder, and posterior neck.[2] Less commonly, it can also happen in odd places like the tongue,[3] vulva,[4] palm,[5] tonsillar fossa,[6] orbit,[7] and oral cavity.[8] The lesion usually presents as a subcutaneous lump that is circumscribed, like the common lipoma.[9]
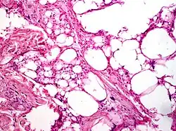
Diagnosis
Histologically, bland spindle mesenchymal cells and mature fat make up the majority of the tissue in pleomorphic lipoma. Furthermore, multinucleated large cells with radically positioned nuclei in a "floret-like" pattern are strewn among the spindle cells. The histological spectrum is rather diverse, ranging from a tumor that primarily consists of spindle cells with only a few fat cells to a tumor that resembles an average lipoma with few spindle cells. Cytologically, multinucleated large cells feature irregular, hyperchromatic, and considerably unusual nuclei, while spindle cells have single elongated hyperchromatic nuclei and inconspicuous nucleoli. The two cell types' mitoses are uncommon. Collagen bands that resemble ropes are sporadically spaced throughout the cellular components and are typically a crucial diagnostic indicator for pelomorphic lipoma.[10]
See also
References
- ^ James, William; Berger, Timothy; Elston, Dirk (2005). Andrews' Diseases of the Skin: Clinical Dermatology. (10th ed.). Saunders. ISBN 0-7216-2921-0.
- ^ BM, Shmookler; FM, Enzinger (1981). "Pleomorphic lipoma: a benign tumor simulating liposarcoma. A clinicopathologic analysis of 48 cases". Cancer. 47 (1): 126–133. doi:10.1002/1097-0142(19810101)47:1<126::aid-cncr2820470121>3.0.co;2-k. ISSN 0008-543X. PMID 7459800.
- ^ Atik, Esin; Usta, Ufuk; Aydin, N. Engin (2002). "Pleomorphic lipoma of the tongue". Otolaryngology–Head and Neck Surgery. 126 (4). Wiley: 430–431. doi:10.1067/mhn.2002.123919. ISSN 0194-5998. PMID 11997788.
- ^ Reis-Filho, Jorge S.; Milanezi, Fernanda; Soares, Maria F.; Fillus-Neto, José; Schmitt, Fernando C. (2002). "Intradermal spindle cell/pleomorphic lipoma of the vulva: case report and review of the literature". Journal of Cutaneous Pathology. 29 (1). Wiley: 59–62. doi:10.1034/j.1600-0560.2002.290112.x. ISSN 0303-6987. PMID 11841521.
- ^ Hayashi, T.; Tsuda, N.; Shimada, O.; Maeda, H. (1989). "[A pleomorphic lipoma of the palm--comparison to spindle cell lipoma]". Gan No Rinsho. Japan Journal of Cancer Clinics. 35 (3): 437–441. ISSN 0021-4949. PMID 2926990.
- ^ Singh, Nidhi; Dabral, Charul; Singh, P. A.; Singh, Mamta; Gupta, S. C.; Jain, Sachin (2003). "Pleomorphic lipoma of the tonsillar fossa--a case report". Indian Journal of Pathology & Microbiology. 46 (3): 476–477. ISSN 0377-4929. PMID 15025314.
- ^ Daniel, Claire S; Beaconsfield, Michele; Rose, Geoff E; Luthert, Phil J; Heathcote, J.Godfrey; Clark, Brian J (2003). "Pleomorphic lipoma of the orbit: A case series and review of literature". Ophthalmology. 110 (1). Elsevier BV: 101–105. doi:10.1016/s0161-6420(02)01450-1. ISSN 0161-6420. PMID 12511353.
- ^ Perrotti, V.; Rubini, C.; Fioroni, M.; Iezzi, G. (2006). "Pleomorphic lipoma of the oral cavity. Report of a case". Minerva Stomatologica. 55 (5): 321–325. ISSN 0026-4970. PMID 16688109.
- ^ Chinoy, RoshanF; Sakhadeo, Uma; Mundhe, Rajesh; DeSouza, MariaA (2015). "Pleomorphic lipoma: A gentle giant of pathology". Journal of Cytology. 32 (3). Medknow: 201–203. doi:10.4103/0970-9371.168904. ISSN 0970-9371. PMC 4687215. PMID 26729985.
- ^ Lin, Xu-Yong; Wang, Yan; Liu, Yang; Sun, Ying; Miao, Yuan; Zhang, Yong; Yu, Juan-Han; Wang, En-Hua (2012-11-13). "Pleomorphic lipoma lacking mature fat component in extensive myxoid stroma: a great diagnostic challenge". Diagnostic Pathology. 7 (1) 155. Springer Science and Business Media LLC. doi:10.1186/1746-1596-7-155. ISSN 1746-1596. PMC 3584920. PMID 23148444.
Further reading
- Diaz-Cascajo; Borghi; Weyers (2000). "Pleomorphic lipoma with pseudopapillary structures: a pleomorphic counterpart of pseudoangiomatous spindle cell lipoma". Histopathology. 36 (5). Wiley: 475–476. doi:10.1046/j.1365-2559.2000.0956h.x. ISSN 0309-0167. PMID 10792493.
- Thirumala, Seshadri; Desai, Mayuri; Kannan, Vaidehi (2000). "Diagnostic Pitfalls in Fine Needle Aspiration Cytology of Pleomorphic Lipoma". Acta Cytologica. 44 (4). S. Karger AG: 653–656. doi:10.1159/000328542. ISSN 1938-2650.
