Low back pain

Low back pain
Other namesLower back pain, lumbago
Location of the lumbar region (pink) in relation to the human skeleton
Pronunciation
  • Lumbago /lʌmˈbɡ/
SpecialtyOrthopedics, rheumatology, rehabilitation medicine
Usual onset20 to 40 years of age[1]
Duration~65% get better in 6 weeks[2]
TypesAcute (less than 6 weeks), sub-chronic (6 to 12 weeks), chronic (more than 12 weeks)[3]
CausesUsually non-specific, occasionally significant underlying cause[1][4]
Diagnostic methodMedical imaging (if red flags)[5]
TreatmentContinued normal activity, non-medication based treatments, NSAIDs[2][6]
Frequency~25% in any given month[7][8]

Low back pain or lumbago is a common disorder involving the muscles, nerves, and bones of the back, in between the lower edge of the ribs and the lower fold of the buttocks. Pain can vary from a dull constant ache to a sudden sharp feeling.[4] Low back pain may be classified by duration as acute (pain lasting less than 6 weeks), sub-chronic (6 to 12 weeks), or chronic (more than 12 weeks).[3] The condition may be further classified by the underlying cause as either mechanical, non-mechanical, or referred pain.[5] The symptoms of low back pain usually improve within a few weeks from the time they start, with 40–90% of people recovered by six weeks.[2]

In most episodes of low back pain a specific underlying cause is not identified or even looked for, with the pain believed to be due to mechanical problems such as muscle or joint strain.[1][4] If the pain does not go away with conservative treatment or if it is accompanied by "red flags" such as unexplained weight loss, fever, or significant problems with feeling or movement, further testing may be needed to look for a serious underlying problem.[5] In most cases, imaging tools such as X-ray computed tomography are not useful or recommended for low back pain that lasts less than 6 weeks (with no red flags) and carry their own risks.[9] Despite this, the use of imaging in low back pain has increased.[10] Some low back pain is caused by damaged intervertebral discs, and the straight leg raise test is useful to identify this cause.[5] In those with chronic pain, the pain processing system may malfunction, causing large amounts of pain in response to non-serious events.[11] Chronic non-specific low back pain (CNSLBP) is a highly prevalent musculoskeletal condition that not only affects the body, but also a person's social and economic status. It would be greatly beneficial for people with CNSLBP to be screened for genetic issues, unhealthy lifestyles and habits, and psychosocial factors on top of musculoskeletal issues.[12] Chronic lower back pain is defined as back pain that lasts more than three months.[13]

The symptoms of low back pain usually improve within a few weeks from the time they start, with 40–90% of people recovered by six weeks.[2] Normal activity should be continued as much as the pain allows.[2] Initial management with non-medication based treatments is recommended.[6] Non–medication based treatments include superficial heat, massage, acupuncture, or spinal manipulation.[6] If these are not sufficiently effective, NSAIDs are recommended.[6][14] A number of other options are available for those who do not improve with usual treatment. Opioids may be useful if simple pain medications are not enough, but they are not generally recommended due to side effects,[15] including high rates of addiction, accidental overdose and death.[16] Surgery may be beneficial for those with disc-related chronic pain and disability or spinal stenosis.[17][18] No clear benefit of surgery has been found for other cases of non-specific low back pain.[17] Low back pain often affects mood, which may be improved by counseling or antidepressants.[19][20] Additionally, there are many alternative medicine therapies, but there is not enough evidence to recommend them confidently.[21] The evidence for chiropractic care[22] and spinal manipulation is mixed.[21][23][24][25]

Approximately 9–12% of people (632 million) have low back pain at any given point in time,[26] and nearly 25% report having it at some point over any one-month period.[7][8] About 40% of people have low back pain at some point in their lives,[7] with estimates as high as 80% among people in the developed world.[27] Low back pain is the greatest contributor to lost productivity, absenteeism, disability and early retirement worldwide.[26] Difficulty with low back pain most often begins between 20 and 40 years of age.[1] Women and older people have higher estimated rates of lower back pain and also higher disability estimates.[13] Low back pain is more common among people aged between 40 and 80 years, with the overall number of individuals affected expected to increase as the population ages.[7] According to the World Health Organization in 2023, lower back pain is the top medical condition world-wide from which the most number of people world-wide can benefit from improved rehabilitation.[13]

Signs and symptoms

In the common presentation of acute low back pain, pain develops after movements that involve lifting, twisting, or forward-bending. The symptoms may start soon after the movements or upon waking up the following morning. The description of the symptoms may range from tenderness at a particular point, to diffuse pain. It may or may not worsen with certain movements, such as raising a leg, or positions, such as sitting or standing. Pain radiating down the legs (known as sciatica) may be present. The first experience of acute low back pain is typically between the ages of 20 and 40. This is often a person's first reason to see a medical professional as an adult.[1] Recurrent episodes occur in more than half of people[28] with the repeated episodes being generally more painful than the first.[1]

Other problems may occur along with low back pain. Chronic low back pain is associated with sleep problems, including a greater amount of time needed to fall asleep, disturbances during sleep, a shorter duration of sleep, and less satisfaction with sleep.[29] In addition, a majority of those with chronic low back pain show symptoms of depression[19] or anxiety.[21]

Causes

A herniated disc as seen on MRI, one possible cause of low back pain

Low back pain is not a specific disease but rather a complaint that may be caused by a large number of underlying problems of varying levels of seriousness.[30] The majority of low back pain does not have a clear cause[1] but is believed to be the result of non-serious muscle or skeletal issues such as sprains or strains.[31] Obesity, smoking, weight gain during pregnancy, stress, poor physical condition, and poor sleeping position may also contribute to low back pain.[31] There is no consensus as to whether spinal posture or certain physical activities are causal factors.[32] A full list of possible causes includes many less common conditions.[5] Physical causes may include osteoarthritis, degeneration of the discs between the vertebrae or a spinal disc herniation, broken vertebra(e) (such as from osteoporosis) or, rarely, an infection or tumor of the spine.[33]

Women may have acute low back pain from medical conditions affecting the female reproductive system, including endometriosis, ovarian cysts, ovarian cancer, or uterine fibroids.[34] Nearly half of all pregnant women report pain in the low back during pregnancy, which is attributed to changes in posture and the relocation of the center of gravity, leading to strain on the musculoskeletal system, including muscles, ligaments, and joints.[35]

Low back pain can be broadly classified into four main categories:

Pathophysiology

Back structures

The lumbar region in regards to the rest of the spine
The five lumbar vertebrae define the lower back region.
The nerve and bone components of the vertebrae
The structures surrounding and supporting the vertebrae can be sources of low back pain.

The lumbar (or lower back) region is the area between the lower ribs and gluteal fold which includes five lumbar vertebrae (L1–L5) and the sacrum. In between these vertebrae are fibrocartilaginous discs, which act as cushions, preventing the vertebrae from rubbing together while at the same time protecting the spinal cord. Nerves come from and go to the spinal cord through specific openings between the vertebrae, receiving sensory input and sending messages to muscles. Stability of the spine is provided by the ligaments and muscles of the back and abdomen. Small joints called facet joints limit and direct the motion of the spine.[37]

The multifidus muscles run up and down along the back of the spine, and are important for keeping the spine straight and stable during many common movements such as sitting, walking and lifting.[11] A problem with these muscles is often found in someone with chronic low back pain, because the back pain causes the person to use the back muscles improperly in trying to avoid the pain.[38] The problem with the multifidus muscles continues even after the pain goes away, and is probably an important reason why the pain comes back.[38] Teaching people with chronic low back pain how to use these muscles is recommended as part of a recovery program.[38]

An intervertebral disc has a gelatinous core surrounded by a fibrous ring.[39] When in its normal, uninjured state, most of the disc is not served by either the circulatory or nervous systems – blood and nerves only run to the outside of the disc.[39] Specialized cells that can survive without direct blood supply are in the inside of the disc.[39] Over time, the discs lose flexibility and the ability to absorb physical forces.[30] This decreased ability to handle physical forces increases stresses on other parts of the spine, causing the ligaments of the spine to thicken and bony growths to develop on the vertebrae.[30] As a result, there is less space through which the spinal cord and nerve roots may pass.[30] When a disc degenerates as a result of injury or disease, the makeup of a disc changes: blood vessels and nerves may grow into its interior and/or herniated disc material can push directly on a nerve root.[39] Any of these changes may result in back pain.[39]

Pain sensation

Pain erupts in response to a stimulus that either damages or can potentially damage the body's tissues. There are four main stages: transduction, transmission, perception, and modulation.[11] The nerve cells that detect pain have cell bodies located in the dorsal root ganglia and fibers that transmit these signals to the spinal cord.[40] The process of pain sensation starts when the pain-causing event triggers the endings of appropriate sensory nerve cells. This type of cell converts the event into an electrical signal by transduction. Several different types of nerve fibers carry out the transmission of the electrical signal from the transducing cell to the posterior horn of spinal cord, from there to the brain stem, and then from the brain stem to the various parts of the brain such as the thalamus and the limbic system. In the brain, the pain signals are processed and given context in the process of pain perception. Through modulation, the brain can modify the sending of further nerve impulses by decreasing or increasing the release of neurotransmitters.[11]

Parts of the pain sensation and processing system may not function properly; creating the feeling of pain when no outside cause exists, signaling too much pain from a particular cause, or signaling pain from a normally non-painful event. Additionally, the pain modulation mechanisms may not function properly. These phenomena are involved in chronic pain.[11]

Diagnosis

As the structure of the low back is complex, the reporting of pain is subjective, and is affected by social factors, the diagnosis of low back pain is not straightforward.[5] While most low back pain is caused by muscle and joint problems, this cause must be separated from neurological problems, spinal tumors, fracture of the spine, and infections, among others.[3][1] The ICD 10 code for low back pain is M54.5.

Classification

There are a number of ways to classify low back pain with no consensus that any one method is best.[5] There are three general types of low back pain by cause: mechanical back pain (including nonspecific musculoskeletal strains, herniated discs, compressed nerve roots, degenerative discs or joint disease, and broken vertebra), non-mechanical back pain (tumors, inflammatory conditions such as spondyloarthritis, and infections), and referred pain from internal organs (gallbladder disease, kidney stones, kidney infections, and aortic aneurysm, among others).[5] Mechanical or musculoskeletal problems underlie most cases (around 90% or more),[5][41] and of those, most (around 75%) do not have a specific cause identified, but are thought to be due to muscle strain or injury to ligaments.[5][41] Rarely, complaints of low back pain result from systemic or psychological problems, such as fibromyalgia and somatoform disorders.[41]

Low back pain may be classified based on the signs and symptoms. Diffuse pain that does not change in response to particular movements, and is localized to the lower back without radiating beyond the buttocks, is classified as nonspecific, the most common classification.[5] Pain that radiates down the leg below the knee, is located on one side (in the case of disc herniation), or is on both sides (in spinal stenosis), and changes in severity in response to certain positions or maneuvers is radicular, making up 7% of cases.[5] Pain that is accompanied by red flags such as trauma, fever, a history of cancer or significant muscle weakness may indicate a more serious underlying problem and is classified as needing urgent or specialized attention.[5]

The symptoms can also be classified by duration as acute, sub-chronic (also known as sub-acute), or chronic. The specific duration required to meet each of these is not universally agreed upon, but generally pain lasting less than six weeks is classified as acute, pain lasting six to twelve weeks is sub-chronic, and more than twelve weeks is chronic.[3] Management and prognosis may change based on the duration of symptoms.

Red flags

Red flags are warning signs that may indicate a more serious problem
Red flag[42] Possible cause[1]
Previous history of cancer Cancer
Unintentional weight loss
Loss of bladder or bowel control Cauda
equina
syndrome
Significant motor weakness
or sensory problems
Loss of sensation in the
buttocks (saddle anesthesia)
Significant trauma related to age Fracture
Chronic corticosteroid use
Osteoporosis
Severe pain after lumbar
surgery in past year
Infection
Fever
Urinary tract infection
Immunosuppression
Intravenous drug use

The presence of certain signs, termed red flags, indicate the need for further testing to look for more serious underlying problems, which may require immediate or specific treatment.[5][43] The presence of a red flag does not mean that there is a significant problem. It is only suggestive,[44][45] and most people with red flags have no serious underlying problem.[3][1] If no red flags are present, performing diagnostic imaging or laboratory testing in the first four weeks after the start of the symptoms has not been shown to be useful.[5]

The usefulness of many red flags is poorly supported by evidence.[46][44] The most useful for detecting a fracture are: older age, corticosteroid use, and significant trauma especially if it results in skin markings.[46] The best determinant of the presence of cancer is a history of the same.[46]

With other causes ruled out, people with non-specific low back pain are typically treated symptomatically, without exact determination of the cause.[3][1] Efforts to uncover factors that might complicate the diagnosis, such as depression, substance abuse, or an agenda concerning insurance payments may be helpful.[5]

Tests

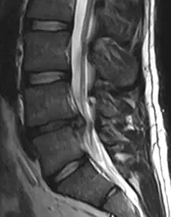
The straight leg raise test can detect pain originating from a herniated disc. When warranted, imaging such as MRI can provide clear detail about disc related causes of back pain (L4–L5 disc herniation shown).

Imaging is indicated when there are red flags, ongoing neurological symptoms that do not resolve, or ongoing or worsening pain.[5] In particular, early use of imaging (either MRI or CT) is recommended for suspected cancer, infection, or cauda equina syndrome.[5] MRI is slightly better than CT for identifying disc disease; the two technologies are equally useful for diagnosing spinal stenosis.[5] Only a few physical diagnostic tests are helpful.[5] The straight leg raise test is almost always positive in those with disc herniation,[5] and lumbar provocative discography may be useful to identify a specific disc causing pain in those with chronic high levels of low back pain.[47] Therapeutic procedures such as nerve blocks can also be used to determine a specific source of pain.[5] Some evidence supports the use of facet joint injections, transforminal epidural injections and sacroiliac injections as diagnostic tests.[5] Most other physical tests, such as evaluating for scoliosis, muscle weakness or wasting, and impaired reflexes, are of little use.[5]

Complaints of low back pain are one of the most common reasons people visit doctors.[48][49] For pain that has lasted only a few weeks, the pain is likely to subside on its own.[50] Thus, if a person's medical history and physical examination do not suggest a specific disease as the cause, medical societies advise against imaging tests such as X-rays, CT scans, and MRIs.[49] Individuals may want such tests but, unless red flags are present,[51][52] they are unnecessary health care.[48][50] Routine imaging increases costs, is associated with higher rates of surgery with no overall benefit,[53][54] and the radiation used may be harmful to one's health.[53] Fewer than 1% of imaging tests identify the cause of the problem.[48] Imaging may also detect harmless abnormalities, encouraging people to request further unnecessary testing or to worry.[48] Even so, MRI scans of the lumbar region increased by more than 300% among United States Medicare beneficiaries from 1994 to 2006.[10]

Prevention

Exercise is recommended when experiencing non-specific lower back pain (LBP). The most effective way to decrease pain intensity is by focusing on trunk, pelvic, and leg stretching. Relaxation and postural exercise are not effective in reducing the pain intensity.[55]

Exercise alone, or along with education, appears to be useful for preventing low back pain.[56][57] Exercise is also probably effective in preventing recurrences in those with pain that has lasted more than six weeks.[58] Assessing chronic low back pain, a 2007 review concluded that a firm mattress is less likely to alleviate pain compared to a medium-firm mattress,[59] while a 2020 review stated that studies have been inadequate to comment on mattress firmness.[60] There is little to no evidence that back belts are any more helpful in preventing low back pain than education about proper lifting techniques.[56][57] Shoe insoles do not help prevent low back pain.[56][61][57]

Studies have proven that interventions aimed to reduce pain and functional disability need to be accompanied by psychological interventions to improve a patient's motivation and attitude toward their recovery. Education about an injury and how it can effect a person's mental health is just as important as the physical rehabilitation. However, all of these interventions should occur in partnership with a structured therapeutic exercise program and assistance from a trained physical therapist.[12]

Management

Most people with acute or subacute low back pain improve over time no matter the treatment.[6] There is often improvement within the first month.[6] Although fear in those suffering from low back pain often leads to avoiding activity, this is found to lead to greater disability.[57] The recommendations include remaining active, avoiding activity that worsen the pain, and understanding self-care of the symptoms.[6] Management of low back pain depends on which of the three general categories is the cause: mechanical problems, non-mechanical problems, or referred pain.[62] For acute pain that is causing only mild to moderate problems, the goals are to restore normal function, return the individual to work, and minimize pain. The condition is normally not serious, resolves without much being done, and recovery is helped by attempting to return to normal activities as soon as possible within the limits of pain.[3] Providing individuals with coping skills through reassurance of these facts is useful in speeding recovery.[1]

For those with sub-chronic or chronic low back pain, multidisciplinary treatment programs may help.[63] For chronic lower back pain, initial management with non–medication based treatments is recommended[6] Non–medication based treatments include exercise, multidisciplinary rehabilitation, acupuncture, mindfulness-based stress reduction, tai chi, yoga, motor control exercise, and progressive relaxation.[6] If these are not sufficiently effective, NSAIDs are recommended.[6] Acetaminophen and systemic steroids are not recommended as both medications are not effective at improving pain outcomes in acute or subacute low back pain.[6]

Physical therapy stabilization exercises for lumbar spine and manual therapy have shown decrease in pain symptoms in patients. Manual therapy and stabilization effects have similar effects on low back pain which overweighs the effects of general exercises.[64] The most effective types of exercise to improve low back pain symptoms are core strengthening and mixed exercise types. An appropriate type of exercise recommended is an aerobic exercise program for 12 hours of exercise over a duration of 8 weeks.[65]

Distress due to low back pain contributes significantly to overall pain and disability experienced. Therefore, treatment strategies that aim to change beliefs and behaviours, such as cognitive-behavioural therapy can be of use.[57]

Access to care as recommended in medical guidelines varies considerably from the care that most people with low back pain receive globally. This is due to factors such as availability, access and payment models (e.g. insurance, health-care systems).[66]

Physical management

Management of acute low back pain

Increasing general physical activity has been recommended, but no clear relationship to pain, disability or returning to work occurred when used for treating an acute episode of pain.[58][67][68] For acute pain, low- to moderate-quality evidence supports walking.[69] Aerobic exercise, such as progressive walking, appears useful for subacute and acute low back pain, is strongly recommended for chronic low back pain, and is recommended after surgery.[60] Directional exercises, which try to limit low back pain, are recommended in sub-acute, chronic and radicular low back pain. These exercises only work if they are limiting low back pain.[60] Exercise programs that incorporate stretching only are not recommended for acute low back pain. Stretching, especially with limited range of motion, can impede future progression of treatment from strength exercises.[60] Yoga and Tai chi are not recommended for acute or subacute low back pain, but are recommended for chronic back pain.[60] A 2023 review of low-quality studies concluded that exercise therapy of six weeks or less for low back pain had no clinical benefit.[70]

Treatment according to the McKenzie method is somewhat effective for recurrent acute low back pain, but its benefit in the short term does not appear significant.[1] There is tentative evidence to support the use of heat therapy for acute and sub-chronic low back pain,[71] but little evidence for the use of either heat or cold therapy in chronic pain.[72] Weak evidence suggests that back belts might decrease the number of missed workdays, but there is nothing to suggest that they help with the pain.[73] Ultrasound and shock wave therapies do not appear effective and therefore are not recommended.[74][75] Lumbar traction lacks effectiveness as an intervention for radicular low back pain.[76] It is also unclear whether lumbar supports are an effective treatment intervention.[77]

Management of chronic low back pain

Physical therapy is effective in decreasing pain and improving physical function, trunk muscle strength, and the mental health for those with chronic low back pain.[78] It also improves long-term function[72] and appears to reduce recurrence rates for as long as six months after the completion of the program.[79] The observed treatment effect for exercise when compared to no treatment, usual care or placebo, improved pain (low‐certainty evidence), but improvements were small for functional limitations (moderate‐certainty evidence).[78] There is no evidence that one particular type of exercise therapy is more effective than another,[80][81] so the form of exercise used can be based on preference, availability and cost.

The Alexander technique appears useful for chronic back pain,[82] and there is some evidence to support small benefits from the use of yoga.[83][84] Motor control exercise, which involves guided movement and use of normal muscles during simple tasks building to more complex tasks, improves pain and function up to 20 weeks, but there was little difference compared to manual therapy and other forms of exercise.[85] Motor control exercise accompanied by manual therapy also produces similar reductions in pain intensity when compared to general strength and condition exercise training, yet only the latter improved muscle endurance and strength, while concurrently decreasing self-reported disability.[86] Aquatic therapy is recommended as an option in those with other preexisting conditions like extreme obesity, degenerative joint disease, or other conditions that limit progressive walking. Aquatic therapy is not recommended for people with no preexisting condition that limits their progressive walking.[60] There is low-to-moderate quality evidence that supports pilates in low back pain for the reduction of pain and disability,[60][87] although there is no conclusive evidence that pilates is better than any other form of exercise for low back pain.[87]

People with chronic low back pain receiving multidisciplinary biopsychosocial rehabilitation programs may have less pain and disability than those receiving typical care or physiotherapy.[88]

Peripheral nerve stimulation, a minimally-invasive procedure, may be useful in cases of chronic low back pain that do not respond to other measures, although the evidence supporting it is not conclusive, and it is not effective for pain that radiates into the leg.[89] Evidence for the use of shoe insoles as a treatment is inconclusive.[61] Transcutaneous electrical nerve stimulation has not been found to be effective in chronic low back pain.[90] There has been little research that supports the use of lumbar extension machines and thus they are not recommended.[60]

Medications

If initial management with non–medication based treatments is insufficient, medication may be recommended.[6] As pain medications are only somewhat effective, expectations regarding their benefit may differ from reality, and this can lead to decreased satisfaction.[19]

The medication typically prescribed first are acetaminophen (paracetamol), NSAIDs (though not aspirin), or skeletal muscle relaxants and these are enough for most people.[91][19][6][92] Benefits with NSAIDs is thought to be small,[93][94] but is more effective than Acetaminophen (paracetamol), which may be no more effective than placebo at improving pain, quality of life, or function.[95][96] For adults with both acute and chronic lower back pain, NSAIDs can also reduce disability.[91] NSAIDs however, carry a greater risk of side effects, including kidney failure, stomach ulcers and possibly heart problems, so it is used at the lowest effective dosage for the shortest possible time.[57] NSAIDs are available in several different classes; there is no evidence to support the use of COX-2 inhibitors over any other class of NSAIDs with respect to benefits.[93][19][97] With respect to safety naproxen may be best.[98] Muscle relaxants may be minimally beneficial.[19] Muscle relaxants and benzodiazepines are shown to have small benefits compared to placebo for pain relief for acute lower back pain, and a higher chance of improving physical function. However they also come with an increased risk of adverse events. For chronic back pain, there may be a benefit in regards to use of benzodiazepines, with muscle relaxants in this context showing low-certainty evidence for no adverse reaction compared to placebo.[91]

Systemic corticosteriods are sometimes suggested for low back pain and may have a small benefit in the short-term for radicular low back pain, however, the benefit for non-radicular back pain and the optimal dose and length of treatment is unclear.[99]

As of 2022, the CDC has released a guideline for prescribed opioid use in the management of chronic pain.[15] It states that opioid use is not the preferred treatment when managing chronic pain due to the excessive risks involved, including high risks of addiction, accidental overdose and death.[16]

In chronic back pain, there's high-certainty evidence that tapentadol offers a small reduction in pain compared to placebo, and moderate-certainty evidence for a small benefit from strong opioids in reducing both pain and disability. Tramadol also shows low to moderate-certainty evidence for small reductions in pain and disability, while buprenorphine has very low to low-certainty evidence for similar small benefits. Overall, opioid use is associated with a low-certainty increased risk of adverse events like nausea, headaches, constipation, and dizziness.[91] Specialist groups advise against general long-term use of opioids for chronic low back pain.[19][100] If the pain is not managed adequately, short-term use of opioids such as morphine may be suggested,[101][19] although low back pain outcomes are poorer in the long-term.[57] If prescribed, a person and their clinician should have a realistic plan to discontinue its use in the event that the risks outweigh the benefit.[102] These medications carry a risk of addiction, may have negative interactions with other drugs, and have a greater risk of side effects, including dizziness, nausea, and constipation.[19] Opioid treatment for chronic low back pain increases the risk for lifetime illicit drug use[103] and the effect of long-term use of opioids for lower back pain is unknown.[104] For older people with chronic pain, opioids may be used in those for whom NSAIDs present too great a risk, including those with diabetes, stomach or heart problems. They may also be useful for a select group of people with neuropathic pain.[105]

SNRI antidepressants may have small effects on chronic low back pain, but are associated with adverse effects. Evidence is lacking for the use of SSRIs and tricyclic antidepressants.[106][91] Although the antiseizure drugs gabapentin, pregabalin, and topiramate are sometimes used for chronic low back pain evidence does not support a benefit.[107] Systemic oral steroids have not been shown to be useful in low back pain.[1][19] Facet joint injections and steroid injections into the discs have not been found to be effective in those with persistent, non-radiating pain; however, they may be considered for those with persistent sciatic pain.[108] Epidural corticosteroid injections provide a slight and questionable short-term improvement in those with sciatica but are of no long-term benefit.[109] There are also concerns of potential side effects.[110]

Surgery

Surgery may be useful in those with a herniated disc that is causing significant pain radiating into the leg, significant leg weakness, bladder problems, or loss of bowel control.[17] It may also be useful in those with spinal stenosis.[18] In the absence of these issues, there is no clear evidence of a benefit from surgery.[17]

Discectomy (the partial removal of a disc that is causing leg pain) can provide pain relief sooner than nonsurgical treatments.[17] Discectomy has better outcomes at one year but not at four to ten years.[17] The less invasive microdiscectomy has not been shown to result in a different outcome than regular discectomy.[17] For most other conditions, there is not enough evidence to provide recommendations for surgical options.[17] The long-term effect surgery has on degenerative disc disease is not clear.[17] Less invasive surgical options have improved recovery times, but evidence regarding effectiveness is insufficient.[17]

For those with pain localized to the lower back due to disc degeneration, fair evidence supports spinal fusion as equal to intensive physical therapy and slightly better than low-intensity nonsurgical measures.[18] Fusion may be considered for those with low back pain from acquired displaced vertebra that does not improve with conservative treatment,[17] although only a few of those who have spinal fusion experience good results,[18] and there may be no clinically important difference between disk replacement and fusion surgery.[111] There are a number of different surgical procedures to achieve fusion, with no clear evidence of one being better than the others.[112] Adding spinal implant devices during fusion increases the risk but provides no added improvement in pain or function.[10] Spinal cord stimulation using implanted electrodes is not supported by evidence due to the potential risks and costs.[113]

Alternative medicine

It is unclear if alternative treatments are useful for non-chronic back pain.[114] Chiropractic care or spinal manipulation therapy (SMT) appear similarly effective to other recommended treatments.[115][116][24] National guidelines differ, with some not recommending SMT, some describing manipulation as optional, and others recommending a short course for those who do not improve with other treatments.[3] A 2017 review recommended SMT based on low-quality evidence.[6] There is insufficient evidence to recommend manipulation under anaesthesia, or medically assisted manipulation.[117] SMT does not provide significant benefits compared to motor control exercises.[118]

The evidence supporting acupuncture treatment for providing clinically beneficial acute and chronic pain relief is very weak.[119] When compared to a 'sham' treatment, no differences in pain relief or improvements in a person's quality of life were found.[119] There is very weak evidence that acupuncture may be better than no treatment at all for immediate relief.[119] A 2012 systematic review reported the findings that for people with chronic pain, acupuncture may improve pain a little more than no treatment and about the same as medications, but it does not help with disability.[120] This pain benefit is only present right after treatment and not at follow-up.[120] Acupuncture may be an option for those with chronic pain that does not respond to other treatments like conservative care and medications,[1][121] however this depends on patient preference, the cost, and on how accessible acupuncture is for the person.[119]

Massage therapy does not appear to provide much benefit for acute low back pain.[1] Massage therapy has been found to be more effective for acute low back pain than no treatment; the benefits were found to be limited to the short term[122] and there was no effect for improving function.[122] For chronic low back pain, massage therapy was better than no treatment for both pain and function, though only in the short-term.[122] The overall quality of the evidence was low and the authors had no confidence that massage therapy is an effective treatment for low back pain.[122] Massage therapy is recommended for selected people with subacute and chronic low back pain, but it should be paired with another form of treatment like aerobic or strength exercises. For acute or chronic radicular pain syndromes massage therapy is recommended only if low back pain is considered a symptom. Mechanical massage tools are not recommended for the treatment of any form of low back pain.[60]

Prolotherapy – the practice of injecting solutions into joints (or other areas) to cause inflammation and thereby stimulate the body's healing response – has not been found to be effective by itself, although it may be helpful when added to another therapy.[21]

Herbal medicines, as a whole, are poorly supported by evidence.[123] The herbal treatments Devil's claw and white willow may reduce the number of individuals reporting high levels of pain; however, for those taking pain relievers, this difference is not significant.[21] Capsicum, in the form of either a gel or a plaster cast, has been found to reduce pain and increase function.[21]

Behavioral therapy may be useful for chronic pain.[20] There are several types available, including operant conditioning, which uses reinforcement to reduce undesirable behaviors and increase desirable behaviors; cognitive behavioral therapy, which helps people identify and correct negative thinking and behavior; and respondent conditioning, which can modify an individual's physiological response to pain.[21] The benefit however is small.[124] Medical providers may develop an integrated program of behavioral therapies.[21] The evidence is inconclusive as to whether mindfulness-based stress reduction reduces chronic back pain intensity or associated disability, although it suggests that it may be useful in improving the acceptance of existing pain.[125][126]

Tentative evidence supports neuroreflexotherapy (NRT), in which small pieces of metal are placed just under the skin of the ear and back, for non-specific low back pain.[127][128][21] Multidisciplinary biopsychosocial rehabilitation (MBR), targeting physical and psychological aspects, may improve back pain but evidence is limited.[129] There is a lack of good quality evidence to support the use of radiofrequency denervation for pain relief.[130]

KT Tape has been found to be no different for management of chronic non-specific low back pain than other established pain management strategies.[131]

Education

There is strong evidence that education may improve low back pain, with a 2.5 hour educational session more effective than usual care for helping people return to work in the short- and long-term. This was more effective for people with acute rather than chronic back pain.[132] The benefit of training for preventing back pain in people who work manually with materials is not clear, however moderate quality evidence does not show a role in preventing back pain.[133]

Prognosis

Overall, the outcome for acute low back pain is positive. Pain and disability usually improve a great deal in the first six weeks, with complete recovery reported by 40 to 90%.[2] In those who still have symptoms after six weeks, improvement is generally slower with only small gains up to one year. At one year, pain and disability levels are low to minimal in most people. Distress, previous low back pain, and job satisfaction are predictors of long-term outcome after an episode of acute pain.[2] Certain psychological problems such as depression, or unhappiness due to loss of employment may prolong the episode of low back pain.[19] Following a first episode of back pain, recurrences occur in more than half of people.[28]

For persistent low back pain, the short-term outcome is also positive, with improvement in the first six weeks but very little improvement after that. At one year, those with chronic low back pain usually continue to have moderate pain and disability.[2] People at higher risk of long-term disability include those with poor coping skills or with fear of activity (2.5 times more likely to have poor outcomes at one year),[134] those with a poor ability to cope with pain, functional impairments, poor general health, or a significant psychiatric or psychological component to the pain (Waddell's signs).[134]

Prognosis may be influenced by expectations, with those having positive expectations of recovery related to higher likelihood of returning to work and better recovery outcomes.[135]

Epidemiology

Low back pain that lasts at least one day and limits activity is a common complaint.[7] Globally, about 40% of people have low back pain at some point in their lives,[7] with estimates as high as 80% of people in the developed world.[27] Approximately 9 to 12% of people (632 million) have low back pain at any given point in time, which was calculated to 7460 per 100,000 globally in 2020.[26] Nearly one quarter (23.2%) report having it at some point over any one-month period.[7][8] Difficulty most often begins between 20 and 40 years of age.[1] However, low back pain becomes increasingly common with age, and is most common in the age group of 85.[26] Older adults more greatly affected by low back pain; they are more likely to lose mobility and independence and less likely to continue to participate in social and family activities.[26]

Women have higher rates of low back pain than men within all age groups, and this difference becomes more marked in older age groups (above 75 years).[26] In a 2012 review which found a higher rate in females than males, the reviewers thought this may be attributable to greater rates of pains due to osteoporosis, menstruation, and pregnancy among women, or possibly because women were more willing to report pain than men.[7] An estimated 70% of women experience back pain during pregnancy with the rate being higher the further along in pregnancy.[136]

Although the majority of low back pain has no specific underlying cause, workplace ergonomics, smoking and obesity are associated with low back pain in approximately 30% of cases.[26] Low levels of activity is also associated with low back pain.[57] Workplace ergonomics associated with low back pain include lifting, bending, vibration and physically demanding work, as well as prolonged sitting, standing and awkward postures.[26] Current smokers – and especially those who are adolescents – are more likely to have low back pain than former smokers, and former smokers are more likely to have low back pain than those who have never smoked.[137]

The overall number of individuals affected expected to increase with population growth and as the population ages,[26] with the largest increases expected in low- and middle-income countries.[57]

History

Harvey Williams Cushing, 1920s

Low back pain has been with humans since at least the Bronze Age. The oldest known surgical treatise – the Edwin Smith Papyrus, dating to about 1500 BCE – describes a diagnostic test and treatment for a vertebral sprain. Hippocrates (c. 460 BCEc. 370 BCE) was the first to use a term for sciatic pain and low back pain; Galen (active mid to late second century CE) described the concept in some detail. Physicians through the end of the first millennium recommended watchful waiting. Through the Medieval period, folk medicine practitioners provided treatments for back pain based on the belief that it was caused by spirits.[138]

At the start of the 20th century, physicians thought low back pain was caused by inflammation of or damage to the nerves,[138] with neuralgia and neuritis frequently mentioned by them in the medical literature of the time.[139] The popularity of such proposed causes decreased during the 20th century.[139] In the early 20th century, American neurosurgeon Harvey Williams Cushing increased the acceptance of surgical treatments for low back pain.[17] In the 1920s and 1930s, new theories of the cause arose, with physicians proposing a combination of nervous system and psychological disorders such as nerve weakness (neurasthenia) and female hysteria.[138] Muscular rheumatism (now called fibromyalgia) was also cited with increasing frequency.[139]

Emerging technologies such as X-rays gave physicians new diagnostic tools, revealing the intervertebral disc as a source for back pain in some cases. In 1938, orthopedic surgeon Joseph S. Barr reported on cases of disc-related sciatica improved or cured with back surgery.[139] As a result of this work, in the 1940s, the vertebral disc model of low back pain took over,[138] dominating the literature through the 1980s, aiding further by the rise of new imaging technologies such as CT and MRI.[139] The discussion subsided as research showed disc problems to be a relatively uncommon cause of the pain. Since then, physicians have come to realize that it is unlikely that a specific cause for low back pain can be identified in many cases and question the need to find one at all as most of the time symptoms resolve within 6 to 12 weeks regardless of treatment.[138]

Society and culture

Low back pain results in large economic costs. In the United States, it is the most common type of pain in adults, responsible for a large number of missed work days, and is the most common musculoskeletal complaint seen in the emergency department.[30] In 1998, it was estimated to be responsible for $90 billion in annual health care costs, with 5% of individuals incurring most (75%) of the costs.[30] Between 1990 and 2001 there was a more than twofold increase in spinal fusion surgeries in the US, despite the fact that there were no changes to the indications for surgery or new evidence of greater usefulness.[10] Further costs occur in the form of lost income and productivity, with low back pain responsible for 40% of all missed work days in the United States.[140] Low back pain causes disability in a larger percentage of the workforce in Canada, Great Britain, the Netherlands and Sweden than in the US or Germany.[140] In the United States, low back pain is highest of Years Lived With Disability (YLDs) rank, rate, and percentage change for the 25 leading causes of disability and injury, between 1990 and 2016.[141]

Workers who experience acute low back pain as a result of a work injury may be asked by their employers to have x-rays.[142] As in other cases, testing is not indicated unless red flags are present.[142] An employer's concern about legal liability is not a medical indication and should not be used to justify medical testing when it is not indicated.[142] There should be no legal reason for encouraging people to have tests which a health care provider determines are not indicated.[142]

Research

Total disc replacement is an experimental option,[39] but no significant evidence supports its use over lumbar fusion.[17] Researchers are investigating the possibility of growing new intervertebral structures through the use of injected human growth factors, implanted substances, cell therapy, and tissue engineering.[39]

References

  1. ^ a b c d e f g h i j k l m n o p q Casazza BA (February 2012). "Diagnosis and treatment of acute low back pain". American Family Physician. 85 (4): 343–350. PMID 22335313.
  2. ^ a b c d e f g h da C Menezes Costa L, Maher CG, Hancock MJ, McAuley JH, Herbert RD, Costa LO (August 2012). "The prognosis of acute and persistent low-back pain: a meta-analysis". CMAJ. 184 (11): E613 – E624. doi:10.1503/cmaj.111271. PMC 3414626. PMID 22586331.
  3. ^ a b c d e f g h Koes BW, van Tulder M, Lin CW, Macedo LG, McAuley J, Maher C (December 2010). "An updated overview of clinical guidelines for the management of non-specific low back pain in primary care". European Spine Journal. 19 (12): 2075–2094. doi:10.1007/s00586-010-1502-y. PMC 2997201. PMID 20602122.
  4. ^ a b c "Low Back Pain Fact Sheet". National Institute of Neurological Disorders and Stroke. 3 November 2015. Archived from the original on 4 March 2016. Retrieved 5 March 2016.
  5. ^ a b c d e f g h i j k l m n o p q r s t u v w x Manusov EG (September 2012). "Evaluation and diagnosis of low back pain". Primary Care. 39 (3): 471–479. doi:10.1016/j.pop.2012.06.003. PMID 22958556.
  6. ^ a b c d e f g h i j k l m n Qaseem A, Wilt TJ, McLean RM, Forciea MA, Denberg TD, Barry MJ, et al. (April 2017). "Noninvasive Treatments for Acute, Subacute, and Chronic Low Back Pain: A Clinical Practice Guideline From the American College of Physicians". Annals of Internal Medicine. 166 (7): 514–530. doi:10.7326/M16-2367. PMID 28192789.
  7. ^ a b c d e f g h Hoy D, Bain C, Williams G, March L, Brooks P, Blyth F, et al. (June 2012). "A systematic review of the global prevalence of low back pain". Arthritis and Rheumatism. 64 (6): 2028–2037. doi:10.1002/art.34347. PMID 22231424.
  8. ^ a b c Vos T, Flaxman AD, Naghavi M, Lozano R, Michaud C, Ezzati M, et al. (December 2012). "Years lived with disability (YLDs) for 1160 sequelae of 289 diseases and injuries 1990-2010: a systematic analysis for the Global Burden of Disease Study 2010". Lancet. 380 (9859): 2163–2196. doi:10.1016/S0140-6736(12)61729-2. PMC 6350784. PMID 23245607.
  9. ^ American Academy of Family Physicians, Choosing Wisely (2023). "Imaging for Low Back Pain". aafp.org. Retrieved 21 July 2023.
  10. ^ a b c d Deyo RA, Mirza SK, Turner JA, Martin BI (2009). "Overtreating chronic back pain: time to back off?". Journal of the American Board of Family Medicine. 22 (1): 62–68. doi:10.3122/jabfm.2009.01.080102. PMC 2729142. PMID 19124635.
  11. ^ a b c d e Salzberg L (September 2012). "The physiology of low back pain". Primary Care. 39 (3): 487–498. doi:10.1016/j.pop.2012.06.014. PMID 22958558.
  12. ^ a b Herrero P, Val P, Lapuente-Hernández D, Cuenca-Zaldívar JN, Calvo S, Gómez-Trullén EM (20 February 2024). "Effects of Lifestyle Interventions on the Improvement of Chronic Non-Specific Low Back Pain: A Systematic Review and Network Meta-Analysis". Healthcare. 12 (5): 505. doi:10.3390/healthcare12050505. ISSN 2227-9032. PMC 10931043. PMID 38470617.
  13. ^ a b c WHO guideline for non-surgical management of chronic primary low back pain in adults in primary and community care settings. World Health Organization. 2023. ISBN 978-92-4-008178-9.
  14. ^ Cashin AG, Wand BM, O'Connell NE, Lee H, Rizzo RR, Bagg MK, O'Hagan E, Maher CG, Furlan AD, van Tulder MW, McAuley JH (4 April 2023). "Pharmacological treatments for low back pain in adults: an overview of Cochrane Reviews". The Cochrane Database of Systematic Reviews. 2023 (4): CD013815. doi:10.1002/14651858.CD013815.pub2. ISSN 1469-493X. PMC 10072849. PMID 37014979.
  15. ^ a b Dowell D, Ragan KR, Jones CM, Baldwin GT, Chou R (November 2022). "CDC Clinical Practice Guideline for Prescribing Opioids for Pain – United States, 2022". MMWR. Recommendations and Reports. 71 (3): 1–95. doi:10.15585/mmwr.rr7103a1. PMC 9639433. PMID 36327391.
  16. ^ a b Deyo RA, Von Korff M, Duhrkoop D (January 2015). "Opioids for low back pain". BMJ. 350 (jan05 10): g6380. doi:10.1136/bmj.g6380. PMC 6882374. PMID 25561513.
  17. ^ a b c d e f g h i j k l m Manusov EG (September 2012). "Surgical treatment of low back pain". Primary Care. 39 (3): 525–531. doi:10.1016/j.pop.2012.06.010. PMID 22958562.
  18. ^ a b c d Chou R, Baisden J, Carragee EJ, Resnick DK, Shaffer WO, Loeser JD (May 2009). "Surgery for low back pain: a review of the evidence for an American Pain Society Clinical Practice Guideline". Spine. 34 (10): 1094–1109. doi:10.1097/BRS.0b013e3181a105fc. PMID 19363455. S2CID 1504909.
  19. ^ a b c d e f g h i j k Miller SM (September 2012). "Low back pain: pharmacologic management". Primary Care. 39 (3): 499–510. doi:10.1016/j.pop.2012.06.005. PMID 22958559.
  20. ^ a b Henschke N, Ostelo RW, van Tulder MW, Vlaeyen JW, Morley S, Assendelft WJ, Main CJ (July 2010). "Behavioural treatment for chronic low-back pain". The Cochrane Database of Systematic Reviews. 2011 (7): CD002014. doi:10.1002/14651858.CD002014.pub3. PMC 7065591. PMID 20614428.
  21. ^ a b c d e f g h i Marlowe D (September 2012). "Complementary and alternative medicine treatments for low back pain". Primary Care. 39 (3): 533–546. doi:10.1016/j.pop.2012.06.008. PMID 22958563.
  22. ^ Walker BF, French SD, Grant W, Green S (February 2011). "A Cochrane review of combined chiropractic interventions for low-back pain". Spine. 36 (3): 230–242. doi:10.1097/BRS.0b013e318202ac73. PMID 21248591. S2CID 26310171.
  23. ^ Dagenais S, Gay RE, Tricco AC, Freeman MD, Mayer JM (October 2010). "NASS Contemporary Concepts in Spine Care: spinal manipulation therapy for acute low back pain". The Spine Journal. 10 (10): 918–940. doi:10.1016/j.spinee.2010.07.389. PMID 20869008.
  24. ^ a b Rubinstein SM, van Middelkoop M, Assendelft WJ, de Boer MR, van Tulder MW (February 2011). Rubinstein SM (ed.). "Spinal manipulative therapy for chronic low-back pain". The Cochrane Database of Systematic Reviews. 2013 (2): CD008112. doi:10.1002/14651858.CD008112.pub2. hdl:1887/117578. PMC 12009663. PMID 21328304.
  25. ^ Rubinstein SM, Terwee CB, Assendelft WJ, de Boer MR, van Tulder MW (September 2012). "Spinal manipulative therapy for acute low-back pain". The Cochrane Database of Systematic Reviews. 9 (9): CD008880. doi:10.1002/14651858.CD008880.pub2. hdl:1871/48563. PMC 6885055. PMID 22972127.
  26. ^ a b c d e f g h i Ferreira ML, de Luca K, Haile LM, Steinmetz JD, Culbreth GT, Cross M, et al. (GBD 2021 Low Back Pain Collaborators) (June 2023). "Global, regional, and national burden of low back pain, 1990-2020, its attributable risk factors, and projections to 2050: a systematic analysis of the Global Burden of Disease Study 2021". The Lancet. Rheumatology. 5 (6): e316 – e329. doi:10.1016/S2665-9913(23)00098-X. PMC 10234592. PMID 37273833.
  27. ^ a b Vinod Malhotra, Yao, Fun-Sun F., Fontes, Manuel da Costa (2011). Yao and Artusio's Anesthesiology: Problem-Oriented Patient Management. Hagerstwon, MD: Lippincott Williams & Wilkins. pp. Chapter 49. ISBN 978-1-4511-0265-9. Archived from the original on 8 September 2017.
  28. ^ a b Stanton TR, Latimer J, Maher CG, Hancock MJ (April 2010). "How do we define the condition 'recurrent low back pain'? A systematic review". European Spine Journal. 19 (4): 533–539. doi:10.1007/s00586-009-1214-3. PMC 2899839. PMID 19921522.
  29. ^ Kelly GA, Blake C, Power CK, O'keeffe D, Fullen BM (February 2011). "The association between chronic low back pain and sleep: a systematic review". The Clinical Journal of Pain. 27 (2): 169–181. doi:10.1097/AJP.0b013e3181f3bdd5. PMID 20842008. S2CID 19569862.
  30. ^ a b c d e f Borczuk P (July 2013). "An evidence-based approach to the evaluation and treatment of low back pain in the emergency department". Emergency Medicine Practice. 15 (7): 1–23, Quiz 23–24. PMID 24044786. Archived from the original on 14 August 2013.
  31. ^ a b "Low Back Pain Fact Sheet". National Institute of Neurological Disorders and Stroke. National Institute of Health. Archived from the original on 19 July 2013. Retrieved 12 July 2013.
  32. ^ Swain CT, Pan F, Owen PJ, Schmidt H, Belavy DL (March 2020). "No consensus on causality of spine postures or physical exposure and low back pain: A systematic review of systematic reviews". Journal of Biomechanics. 102: 109312. doi:10.1016/j.jbiomech.2019.08.006. PMID 31451200. S2CID 201756091.
  33. ^ "Fast Facts About Back Pain". National Institute of Arthritis and Musculoskeletal and Skin Diseases. National Institute of Health. September 2009. Archived from the original on 5 June 2013. Retrieved 10 June 2013.
  34. ^ "Low back pain – acute". U.S. Department of Health and Human Services – National Institutes of Health. Archived from the original on 1 April 2013. Retrieved 1 April 2013.
  35. ^ Majchrzycki M, Mrozikiewicz PM, Kocur P, Bartkowiak-Wieczorek J, Hoffmann M, Stryła W, et al. (November 2010). "[Low back pain in pregnant women]". Ginekologia Polska (in Polish). 81 (11): 851–855. PMID 21365902.
  36. ^ Lane DR, Takhar SS (August 2011). "Diagnosis and management of urinary tract infection and pyelonephritis". Emergency Medicine Clinics of North America. 29 (3): 539–552. doi:10.1016/j.emc.2011.04.001. PMID 21782073.
  37. ^ Floyd, R., & Thompson, Clem. (2008). Manual of structural kinesiology. New York: McGraw-Hill Humanities/Social Sciences/Languages.
  38. ^ a b c Freeman MD, Woodham MA, Woodham AW (February 2010). "The role of the lumbar multifidus in chronic low back pain: a review". PM & R. 2 (2): 142–6, quiz 1 p following 167. doi:10.1016/j.pmrj.2009.11.006. PMID 20193941. S2CID 22246810.
  39. ^ a b c d e f g Hughes SP, Freemont AJ, Hukins DW, McGregor AH, Roberts S (October 2012). "The pathogenesis of degeneration of the intervertebral disc and emerging therapies in the management of back pain" (PDF). The Journal of Bone and Joint Surgery. British Volume. 94 (10): 1298–1304. doi:10.1302/0301-620X.94B10.28986. PMID 23015552. Archived from the original (PDF) on 4 October 2013. Retrieved 25 June 2013.
  40. ^ Patel NB (2010). "Chapter 3: Physiology of Pain". In Kopf A, Patel NB (eds.). Guide to Pain Management in Low-Resource Settings. Archived from the original on 5 October 2013. Retrieved 26 May 2017.
  41. ^ a b c Cohen SP, Argoff CE, Carragee EJ (December 2008). "Management of low back pain". BMJ. 337: a2718. doi:10.1136/bmj.a2718. PMID 19103627. S2CID 78716905.
  42. ^ Davis PC, Wippold II FJ, Cornelius RS, et al. (2011). American College of Radiology ACR Appropriateness Criteria – Low Back Pain (PDF) (Report). Archived from the original (PDF) on 22 December 2012.
  43. ^ North American Spine Society (February 2013), "Five Things Physicians and Patients Should Question", Choosing Wisely: an initiative of the ABIM Foundation, North American Spine Society, retrieved 25 March 2013, which cites
  44. ^ a b Williams CM, Henschke N, Maher CG, van Tulder MW, Koes BW, Macaskill P, Irwig L (28 November 2023). "Red flags to screen for vertebral fracture in patients presenting with low-back pain". The Cochrane Database of Systematic Reviews. 11 (11): CD008643. doi:10.1002/14651858.CD008643.pub3. ISSN 1469-493X. PMC 10683370. PMID 38014846.
  45. ^ Henschke N, Maher CG, Ostelo RW, de Vet HC, Macaskill P, Irwig L (February 2013). "Red flags to screen for malignancy in patients with low-back pain". The Cochrane Database of Systematic Reviews. 2013 (2): CD008686. doi:10.1002/14651858.CD008686.pub2. PMC 10631455. PMID 23450586.
  46. ^ a b c Downie A, Williams CM, Henschke N, Hancock MJ, Ostelo RW, de Vet HC, et al. (December 2013). "Red flags to screen for malignancy and fracture in patients with low back pain: systematic review". BMJ. 347 (dec11 1): f7095. doi:10.1136/bmj.f7095. PMC 3898572. PMID 24335669.
  47. ^ Manchikanti L, Glaser SE, Wolfer L, Derby R, Cohen SP (2009). "Systematic review of lumbar discography as a diagnostic test for chronic low back pain". Pain Physician. 12 (3): 541–559. doi:10.36076/ppj.2009/12/541. PMID 19461822.
  48. ^ a b c d "Use of imaging studies for low back pain: percentage of members with a primary diagnosis of low back pain who did not have an imaging study (plain x-ray, MRI, CT scan) within 28 days of the diagnosis". 2013. Archived from the original on 4 October 2013. Retrieved 11 June 2013.
  49. ^ a b American Academy of Family Physicians, "Ten Things Physicians and Patients Should Question", Choosing Wisely: an initiative of the ABIM Foundation, American Academy of Family Physicians, archived from the original on 10 February 2013, retrieved 5 September 2012
  50. ^ a b American College of Physicians, "Five Things Physicians and Patients Should Question", Choosing Wisely: an initiative of the ABIM Foundation, American College of Physicians, archived from the original on 1 September 2013, retrieved 5 September 2013
  51. ^ Chou R, Fu R, Carrino JA, Deyo RA (February 2009). "Imaging strategies for low-back pain: systematic review and meta-analysis". Lancet. 373 (9662): 463–472. doi:10.1016/S0140-6736(09)60172-0. PMID 19200918. S2CID 31602395.
  52. ^ Crownover BK, Bepko JL (April 2013). "Appropriate and safe use of diagnostic imaging". American Family Physician. 87 (7): 494–501. PMID 23547591.
  53. ^ a b Chou R, Qaseem A, Owens DK, Shekelle P, et al. (Clinical Guidelines Committee of the American College of Physicians) (February 2011). "Diagnostic imaging for low back pain: advice for high-value health care from the American College of Physicians". Annals of Internal Medicine. 154 (3): 181–189. doi:10.7326/0003-4819-154-3-201102010-00008. PMID 21282698. S2CID 1326352.
  54. ^ Flynn TW, Smith B, Chou R (November 2011). "Appropriate use of diagnostic imaging in low back pain: a reminder that unnecessary imaging may do as much harm as good". The Journal of Orthopaedic and Sports Physical Therapy. 41 (11): 838–846. doi:10.2519/jospt.2011.3618. PMID 21642763. S2CID 207399397.
  55. ^ Quentin C, Bagheri R, Ugbolue UC, Coudeyre E, Pélissier C, Descatha A, Menini T, Bouillon-Minois JB, Dutheil F (10 August 2021). "Effect of Home Exercise Training in Patients with Nonspecific Low-Back Pain: A Systematic Review and Meta-Analysis". International Journal of Environmental Research and Public Health. 18 (16): 8430. doi:10.3390/ijerph18168430. ISSN 1660-4601. PMC 8391468. PMID 34444189.
  56. ^ a b c Steffens D, Maher CG, Pereira LS, Stevens ML, Oliveira VC, Chapple M, et al. (February 2016). "Prevention of Low Back Pain: A Systematic Review and Meta-analysis". JAMA Internal Medicine. 176 (2): 199–208. doi:10.1001/jamainternmed.2015.7431. PMID 26752509.
  57. ^ a b c d e f g h i Hartvigsen J, Hancock MJ, Kongsted A, Louw Q, Ferreira ML, Genevay S, Hoy D, Karppinen J, Pransky G, Sieper J, Smeets RJ, Underwood M, Buchbinder R, Hartvigsen J, Cherkin D (June 2018). "What low back pain is and why we need to pay attention". The Lancet. 391 (10137): 2356–2367. doi:10.1016/s0140-6736(18)30480-x. hdl:1871.1/79cd95b7-4b74-4c5a-bf1f-adf61bcc71f5. ISSN 0140-6736. PMID 29573870. S2CID 4354991.
  58. ^ a b Choi BK, Verbeek JH, Tam WW, Jiang JY (January 2010). Choi BK (ed.). "Exercises for prevention of recurrences of low-back pain". The Cochrane Database of Systematic Reviews. 2010 (1): CD006555. doi:10.1002/14651858.CD006555.pub2. PMC 8078403. PMID 20091596.
  59. ^ Chou R, Qaseem A, Snow V, Casey D, Cross JT, Shekelle P, Owens DK, et al. (Clinical Efficacy Assessment Subcommittee of the American College of Physicians, American College of Physicians, American Pain Society Low Back Pain Guidelines Panel) (October 2007). "Diagnosis and treatment of low back pain: a joint clinical practice guideline from the American College of Physicians and the American Pain Society". Annals of Internal Medicine. 147 (7): 478–491. doi:10.7326/0003-4819-147-7-200710020-00006. PMID 17909209.
  60. ^ a b c d e f g h i Hegmann KT, Travis R, Andersson GB, et al. (March 2020). "Non-Invasive and Minimally Invasive Management of Low Back Disorders". Journal of Occupational and Environmental Medicine. 62 (3): e111 – e138. doi:10.1097/JOM.0000000000001812. PMID 31977923.
  61. ^ a b Sahar T, Cohen MJ, Uval-Ne'eman V, Kandel L, Odebiyi DO, Lev I, et al. (April 2009). "Insoles for prevention and treatment of back pain: a systematic review within the framework of the Cochrane Collaboration Back Review Group". Spine. 34 (9): 924–933. doi:10.1097/BRS.0b013e31819f29be. PMID 19359999. S2CID 22162952.
  62. ^ Sprouse R (September 2012). "Treatment: current treatment recommendations for acute and chronic undifferentiated low back pain". Primary Care. 39 (3): 481–486. doi:10.1016/j.pop.2012.06.004. PMID 22958557.
  63. ^ Momsen AM, Rasmussen JO, Nielsen CV, Iversen MD, Lund H (November 2012). "Multidisciplinary team care in rehabilitation: an overview of reviews". Journal of Rehabilitation Medicine. 44 (11): 901–912. doi:10.2340/16501977-1040. PMID 23026978.
  64. ^ Gomes-Neto M, Lopes JM, Conceição CS, Araujo A, Brasileiro A, Sousa C, et al. (January 2017). "Stabilization exercise compared to general exercises or manual therapy for the management of low back pain: A systematic review and meta-analysis". Physical Therapy in Sport. 23: 136–142. doi:10.1016/j.ptsp.2016.08.004. PMID 27707631.
  65. ^ Hayden JA, Ellis J, Ogilvie R, Malmivaara A, van Tulder MW (28 September 2021). Cochrane Back and Neck Group (ed.). "Exercise therapy for chronic low back pain". Cochrane Database of Systematic Reviews. 2021 (10): CD009790. doi:10.1002/14651858.CD009790.pub2. PMC 8477273. PMID 34580864.
  66. ^ Foster NE, Anema JR, Cherkin D, Chou R, Cohen SP, Gross DP, Ferreira PH, Fritz JM, Koes BW, Peul W, Turner JA, Maher CG, Buchbinder R, Hartvigsen J, Cherkin D (2018). "Prevention and treatment of low back pain: evidence, challenges, and promising directions". The Lancet. 391 (10137): 2368–2383. doi:10.1016/s0140-6736(18)30489-6. ISSN 0140-6736. PMID 29573872. S2CID 205989057.
  67. ^ Hendrick P, Milosavljevic S, Hale L, Hurley DA, McDonough S, Ryan B, Baxter GD (March 2011). "The relationship between physical activity and low back pain outcomes: a systematic review of observational studies". European Spine Journal. 20 (3): 464–474. doi:10.1007/s00586-010-1616-2. PMC 3048226. PMID 21053026.
  68. ^ Schaafsma FG, Whelan K, van der Beek AJ, van der Es-Lambeek LC, Ojajärvi A, Verbeek JH (August 2013). "Physical conditioning as part of a return to work strategy to reduce sickness absence for workers with back pain". The Cochrane Database of Systematic Reviews. 2013 (8): CD001822. doi:10.1002/14651858.CD001822.pub3. PMC 7074637. PMID 23990391.
  69. ^ Hendrick P, Te Wake AM, Tikkisetty AS, Wulff L, Yap C, Milosavljevic S (October 2010). "The effectiveness of walking as an intervention for low back pain: a systematic review". European Spine Journal. 19 (10): 1613–1620. doi:10.1007/s00586-010-1412-z. PMC 2989236. PMID 20414688.
  70. ^ IJzelenberg W, Oosterhuis T, Hayden JA, Koes BW, van Tulder MW, Rubinstein SM, de Zoete A (30 August 2023). Cochrane Back and Neck Group (ed.). "Exercise therapy for treatment of acute non-specific low back pain". Cochrane Database of Systematic Reviews. 2023 (8). doi:10.1002/14651858.CD009365.pub2. PMC 10467021. PMID 37646368.
  71. ^ French SD, Cameron M, Walker BF, Reggars JW, Esterman AJ (January 2006). "Superficial heat or cold for low back pain". The Cochrane Database of Systematic Reviews. 2011 (1): CD004750. doi:10.1002/14651858.CD004750.pub2. PMC 8846312. PMID 16437495.
  72. ^ a b van Middelkoop M, Rubinstein SM, Kuijpers T, Verhagen AP, Ostelo R, Koes BW, van Tulder MW (January 2011). "A systematic review on the effectiveness of physical and rehabilitation interventions for chronic non-specific low back pain". European Spine Journal. 20 (1): 19–39. doi:10.1007/s00586-010-1518-3. PMC 3036018. PMID 20640863.
  73. ^ Guild DG (September 2012). "Mechanical therapy for low back pain". Primary Care. 39 (3): 511–516. doi:10.1016/j.pop.2012.06.006. PMID 22958560.
  74. ^ Ebadi S, Henschke N, Forogh B, Nakhostin Ansari N, van Tulder MW, Babaei-Ghazani A, Fallah E (July 2020). "Therapeutic ultrasound for chronic low back pain". The Cochrane Database of Systematic Reviews. 2020 (7): CD009169. doi:10.1002/14651858.CD009169.pub3. PMC 7390505. PMID 32623724.
  75. ^ National Institute for Health and Care Excellence (2016). Low back pain and sciatica in over 16s: assessment and management. Manchester: National Institute for Health and Care Excellence (NICE). ISBN 978-1-4731-2186-7. OCLC 1198756858.
  76. ^ Chou R, Deyo R, Friedly J, Skelly A, Hashimoto R, Weimer M, et al. (2016). Noninvasive Treatments for Low Back Pain. AHRQ Comparative Effectiveness Reviews. Rockville (MD): Agency for Healthcare Research and Quality (US). PMID 26985522.
  77. ^ van Duijvenbode IC, Jellema P, van Poppel MN, van Tulder MW (April 2008). "Lumbar supports for prevention and treatment of low back pain". The Cochrane Database of Systematic Reviews. 2008 (2): CD001823. doi:10.1002/14651858.cd001823.pub3. PMC 7046130. PMID 18425875.
  78. ^ a b Hayden JA, Ellis J, Ogilvie R, Malmivaara A, van Tulder MW (September 2021). "Exercise therapy for chronic low back pain". The Cochrane Database of Systematic Reviews. 9 (10): CD009790. doi:10.1002/14651858.cd009790.pub2. PMC 8477273. PMID 34580864.
  79. ^ Smith C, Grimmer-Somers K (June 2010). "The treatment effect of exercise programmes for chronic low back pain". Journal of Evaluation in Clinical Practice. 16 (3): 484–491. doi:10.1111/j.1365-2753.2009.01174.x. PMID 20438611.
  80. ^ van Middelkoop M, Rubinstein SM, Verhagen AP, Ostelo RW, Koes BW, van Tulder MW (April 2010). "Exercise therapy for chronic nonspecific low-back pain". Best Practice & Research. Clinical Rheumatology. 24 (2): 193–204. doi:10.1016/j.berh.2010.01.002. PMID 20227641.
  81. ^ Wewege MA, Booth J, Parmenter BJ (25 October 2018). "Aerobic vs. resistance exercise for chronic non-specific low back pain: A systematic review and meta-analysis". Journal of Back and Musculoskeletal Rehabilitation. 31 (5): 889–899. doi:10.3233/BMR-170920. PMID 29889056. S2CID 47013227.
  82. ^ Woodman JP, Moore NR (January 2012). "Evidence for the effectiveness of Alexander Technique lessons in medical and health-related conditions: a systematic review". International Journal of Clinical Practice. 66 (1): 98–112. doi:10.1111/j.1742-1241.2011.02817.x. PMID 22171910. S2CID 7579458.
  83. ^ Posadzki P, Ernst E (September 2011). "Yoga for low back pain: a systematic review of randomized clinical trials". Clinical Rheumatology. 30 (9): 1257–1262. doi:10.1007/s10067-011-1764-8. PMID 21590293. S2CID 17095187.
  84. ^ Wieland LS, Skoetz N, Pilkington K, Harbin S, Vempati R, Berman BM (November 2022). "Yoga for chronic non-specific low back pain". The Cochrane Database of Systematic Reviews. 2022 (11): CD010671. doi:10.1002/14651858.CD010671.pub3. PMC 9673466. PMID 36398843. S2CID 253627174.
  85. ^ Saragiotto BT, Maher CG, Yamato TP, Costa LO, Menezes Costa LC, Ostelo RW, Macedo LG (January 2016). "Motor control exercise for chronic non-specific low-back pain". The Cochrane Database of Systematic Reviews. 2016 (1): CD012004. doi:10.1002/14651858.cd012004. PMC 8761501. PMID 26742533.
  86. ^ Tagliaferri SD, Miller CT, Ford JJ, Hahne AJ, Main LC, Rantalainen T, et al. (June 2020). "Randomized Trial of General Strength and Conditioning Versus Motor Control and Manual Therapy for Chronic Low Back Pain on Physical and Self-Report Outcomes". Journal of Clinical Medicine. 9 (6): 1726. doi:10.3390/jcm9061726. PMC 7355598. PMID 32503243.
  87. ^ a b Yamato TP, Maher CG, Saragiotto BT, Hancock MJ, Ostelo RW, Cabral CM, et al. (Cochrane Back and Neck Group) (July 2015). "Pilates for low back pain". The Cochrane Database of Systematic Reviews. 2015 (7): CD010265. doi:10.1002/14651858.CD010265.pub2. PMC 8078578. PMID 26133923.
  88. ^ Kamper SJ, Apeldoorn AT, Chiarotto A, Smeets RJ, Ostelo RW, Guzman J, van Tulder MW (September 2014). "Multidisciplinary biopsychosocial rehabilitation for chronic low back pain". The Cochrane Database of Systematic Reviews. 2014 (9): CD000963. doi:10.1002/14651858.cd000963.pub3. PMC 10945502. PMID 25180773.
  89. ^ Nizard J, Raoul S, Nguyen JP, Lefaucheur JP (October 2012). "Invasive stimulation therapies for the treatment of refractory pain". Discovery Medicine. 14 (77): 237–246. PMID 23114579.
  90. ^ Dubinsky RM, Miyasaki J (January 2010). "Assessment: efficacy of transcutaneous electric nerve stimulation in the treatment of pain in neurologic disorders (an evidence-based review): report of the Therapeutics and Technology Assessment Subcommittee of the American Academy of Neurology". Neurology. 74 (2): 173–176. doi:10.1212/WNL.0b013e3181c918fc. PMID 20042705.
  91. ^ a b c d e Cashin AG, Wand BM, O'Connell N, Lee H, Rizzi RR, Bagga MK, O'Hagan E, Maher CG, Furlan AD, Tulder MW, McAuley JH (April 2023). "Pharmacological treatments for low back pain in adults: an overview of Cochrane Reviews". The Cochrane Database of Systematic Reviews. 4 (4): CD013815. doi:10.1002/14651858.CD012230. PMC 6353046. PMID 37014979.
  92. ^ "Acute low back pain without radiculopathy". English.prescrire.org. October 2019. Retrieved 15 November 2019.
  93. ^ a b Machado GC, Maher CG, Ferreira PH, Day RO, Pinheiro MB, Ferreira ML (July 2017). "Non-steroidal anti-inflammatory drugs for spinal pain: a systematic review and meta-analysis". Annals of the Rheumatic Diseases. 76 (7): 1269–1278. doi:10.1136/annrheumdis-2016-210597. PMID 28153830. S2CID 22850331.
  94. ^ van der Gaag WH, Roelofs PD, Enthoven WT, van Tulder MW, Koes BW (April 2020). "Non-steroidal anti-inflammatory drugs for acute low back pain". The Cochrane Database of Systematic Reviews. 2020 (4): CD013581. doi:10.1002/14651858.CD013581. PMC 7161726. PMID 32297973.
  95. ^ Saragiotto BT, Machado GC, Ferreira ML, Pinheiro MB, Abdel Shaheed C, Maher CG (June 2016). "Paracetamol for low back pain". The Cochrane Database of Systematic Reviews. 2019 (6): CD012230. doi:10.1002/14651858.CD012230. PMC 6353046. PMID 27271789.
  96. ^ Machado GC, Maher CG, Ferreira PH, Pinheiro MB, Lin CW, Day RO, et al. (March 2015). "Efficacy and safety of paracetamol for spinal pain and osteoarthritis: systematic review and meta-analysis of randomised placebo controlled trials". BMJ. 350: h1225. doi:10.1136/bmj.h1225. PMC 4381278. PMID 25828856.
  97. ^ Enthoven WT, Roelofs PD, Deyo RA, van Tulder MW, Koes BW (February 2016). "Non-steroidal anti-inflammatory drugs for chronic low back pain". The Cochrane Database of Systematic Reviews. 2 (8): CD012087. doi:10.1002/14651858.CD012087. PMC 7104791. PMID 26863524.
  98. ^ Bhala N, Emberson J, Merhi A, Abramson S, Arber N, Baron JA, et al. (Coxib and traditional NSAID Trialists' (CNT) Collaboration)) (August 2013). "Vascular and upper gastrointestinal effects of non-steroidal anti-inflammatory drugs: meta-analyses of individual participant data from randomised trials". Lancet. 382 (9894): 769–779. doi:10.1016/S0140-6736(13)60900-9. PMC 3778977. PMID 23726390.
  99. ^ Chou R, Pinto RZ, Fu R, Lowe RA, Henschke N, McAuley JH, Dana T (October 2022). "Systemic corticosteroids for radicular and non-radicular low back pain". The Cochrane Database of Systematic Reviews. 2022 (10): CD012450. doi:10.1002/14651858.CD012450.pub2. PMC 9585990. PMID 36269125.
  100. ^ Franklin GM (September 2014). "Opioids for chronic noncancer pain: a position paper of the American Academy of Neurology". Neurology. 83 (14): 1277–1284. doi:10.1212/WNL.0000000000000839. PMID 25267983.
  101. ^ Chaparro LE, Furlan AD, Deshpande A, Mailis-Gagnon A, Atlas S, Turk DC (April 2014). "Opioids compared with placebo or other treatments for chronic low back pain: an update of the Cochrane Review". Spine. 39 (7): 556–563. doi:10.1097/BRS.0000000000000249. PMID 24480962. S2CID 25356400.
  102. ^ Dowell D, Haegerich TM, Chou R (March 2016). "CDC Guideline for Prescribing Opioids for Chronic Pain – United States, 2016". MMWR. Recommendations and Reports. 65 (1): 1–49. doi:10.15585/mmwr.rr6501e1. PMC 6390846. PMID 26987082.
  103. ^ Shmagel A, Krebs E, Ensrud K, Foley R (September 2016). "Illicit Substance Use in US Adults With Chronic Low Back Pain". Spine. 41 (17): 1372–1377. doi:10.1097/brs.0000000000001702. PMC 5002230. PMID 27438382.
  104. ^ Abdel Shaheed C, Maher CG, Williams KA, Day R, McLachlan AJ (July 2016). "Efficacy, Tolerability, and Dose-Dependent Effects of Opioid Analgesics for Low Back Pain: A Systematic Review and Meta-analysis". JAMA Internal Medicine. 176 (7): 958–968. doi:10.1001/jamainternmed.2016.1251. PMID 27213267. S2CID 29903177.
  105. ^ de Leon-Casasola OA (March 2013). "Opioids for chronic pain: new evidence, new strategies, safe prescribing". The American Journal of Medicine. 126 (3 Suppl 1): S3-11. doi:10.1016/j.amjmed.2012.11.011. PMID 23414718.
  106. ^ Ferraro MC, Urquhart DM, Ferreira GE, Wewege MA, Shaheed CA, Traeger AC, Hoving JL, Visser EJ, McAuley JH, Cashin AG (March 2025). "Antidepressants for low back pain and spine-related leg pain". The Cochrane Database of Systematic Reviews. 2025 (3): CD001703. doi:10.1002/14651858.CD001703.pub4. PMC 11890917. PMID 40058767.
  107. ^ Enke O, New HA, New CH, Mathieson S, McLachlan AJ, Latimer J, et al. (July 2018). "Anticonvulsants in the treatment of low back pain and lumbar radicular pain: a systematic review and meta-analysis". CMAJ. 190 (26): E786 – E793. doi:10.1503/cmaj.171333. PMC 6028270. PMID 29970367.
  108. ^ Chou R, Loeser JD, Owens DK, Rosenquist RW, Atlas SJ, Baisden J, et al. (American Pain Society Low Back Pain Guideline Pane) (May 2009). "Interventional therapies, surgery, and interdisciplinary rehabilitation for low back pain: an evidence-based clinical practice guideline from the American Pain Society". Spine. 34 (10): 1066–1077. doi:10.1097/BRS.0b013e3181a1390d. PMID 19363457. S2CID 10658374.
  109. ^ Pinto RZ, Maher CG, Ferreira ML, Hancock M, Oliveira VC, McLachlan AJ, et al. (December 2012). "Epidural corticosteroid injections in the management of sciatica: a systematic review and meta-analysis". Annals of Internal Medicine. 157 (12): 865–877. doi:10.7326/0003-4819-157-12-201212180-00564. PMID 23362516. S2CID 21203011.
  110. ^ "Epidural Corticosteroid Injection: Drug Safety Communication – Risk of Rare But Serious Neurologic Problems". FDA. 23 April 2014. Archived from the original on 24 April 2014. Retrieved 24 April 2014.
  111. ^ Jacobs W, Van der Gaag NA, Tuschel A, de Kleuver M, Peul W, Verbout AJ, Oner FC (September 2012). "Total disc replacement for chronic back pain in the presence of disc degeneration". The Cochrane Database of Systematic Reviews (9): CD008326. doi:10.1002/14651858.CD008326.pub2. hdl:1871/48560. PMID 22972118.
  112. ^ Lee CS, Hwang CJ, Lee DH, Kim YT, Lee HS (March 2011). "Fusion rates of instrumented lumbar spinal arthrodesis according to surgical approach: a systematic review of randomized trials". Clinics in Orthopedic Surgery. 3 (1): 39–47. doi:10.4055/cios.2011.3.1.39. PMC 3042168. PMID 21369477.
  113. ^ Traeger AC, Gilbert SE, Harris IA, Maher CG (7 March 2023). Cochrane Back and Neck Group (ed.). "Spinal cord stimulation for low back pain". Cochrane Database of Systematic Reviews. 2023 (8): CD014789. doi:10.1002/14651858.CD014789.pub2. PMC 9990744. PMID 36878313.
  114. ^ Rothberg S, Friedman BW (January 2017). "Complementary therapies in addition to medication for patients with nonchronic, nonradicular low back pain: a systematic review". The American Journal of Emergency Medicine. 35 (1): 55–61. doi:10.1016/j.ajem.2016.10.001. PMID 27751598. S2CID 34520820.
  115. ^ Rubinstein SM, de Zoete A, van Middelkoop M, Assendelft WJ, de Boer MR, van Tulder MW (March 2019). "Benefits and harms of spinal manipulative therapy for the treatment of chronic low back pain: systematic review and meta-analysis of randomised controlled trials". BMJ. 364: l689. doi:10.1136/bmj.l689. PMC 6396088. PMID 30867144.
  116. ^ Rubinstein SM, Terwee CB, Assendelft WJ, de Boer MR, van Tulder MW, et al. (Cochrane Back and Neck Group) (September 2012). "Spinal manipulative therapy for acute low-back pain". The Cochrane Database of Systematic Reviews. 2012 (9): CD008880. doi:10.1002/14651858.CD008880.pub2. PMC 6885055. PMID 22972127.
  117. ^ Dagenais S, Mayer J, Wooley JR, Haldeman S (2008). "Evidence-informed management of chronic low back pain with medicine-assisted manipulation". The Spine Journal. 8 (1): 142–149. doi:10.1016/j.spinee.2007.09.010. PMID 18164462.
  118. ^ Macedo LG, Saragiotto BT, Yamato TP, Costa LO, Menezes Costa LC, Ostelo RW, Maher CG (February 2016). "Motor control exercise for acute non-specific low back pain". The Cochrane Database of Systematic Reviews. 2016 (2): CD012085. doi:10.1002/14651858.cd012085. PMC 8734597. PMID 26863390.
  119. ^ a b c d Mu J, Furlan AD, Lam WY, Hsu MY, Ning Z, Lao L (December 2020). "Acupuncture for chronic nonspecific low back pain". The Cochrane Database of Systematic Reviews. 2020 (12): CD013814. doi:10.1002/14651858.CD013814. PMC 8095030. PMID 33306198.
  120. ^ a b Furlan AD, Yazdi F, Tsertsvadze A, Gross A, Van Tulder M, Santaguida L, et al. (2012). "A systematic review and meta-analysis of efficacy, cost-effectiveness, and safety of selected complementary and alternative medicine for neck and low-back pain". Evidence-Based Complementary and Alternative Medicine. 2012: 953139. doi:10.1155/2012/953139. PMC 3236015. PMID 22203884.
  121. ^ Lin CW, Haas M, Maher CG, Machado LA, van Tulder MW (July 2011). "Cost-effectiveness of guideline-endorsed treatments for low back pain: a systematic review". European Spine Journal. 20 (7): 1024–1038. doi:10.1007/s00586-010-1676-3. PMC 3176706. PMID 21229367.
  122. ^ a b c d Furlan AD, Giraldo M, Baskwill A, Irvin E, Imamura M (September 2015). "Massage for low-back pain". The Cochrane Database of Systematic Reviews. 2015 (9): CD001929. doi:10.1002/14651858.CD001929.pub3. PMC 8734598. PMID 26329399.
  123. ^ Gagnier JJ, Oltean H, van Tulder MW, Berman BM, Bombardier C, Robbins CB (January 2016). "Herbal Medicine for Low Back Pain: A Cochrane Review". Spine. 41 (2): 116–133. doi:10.1097/brs.0000000000001310. PMID 26630428. S2CID 42119774.
  124. ^ Cherkin DC, Herman PM (April 2018). "Cognitive and Mind-Body Therapies for Chronic Low Back Pain and Neck Pain: Effectiveness and Value". JAMA Internal Medicine. 178 (4): 556–557. doi:10.1001/jamainternmed.2018.0113. PMID 29507946. S2CID 3680364.
  125. ^ Cramer H, Haller H, Lauche R, Dobos G (September 2012). "Mindfulness-based stress reduction for low back pain. A systematic review". BMC Complementary and Alternative Medicine. 12: 162. doi:10.1186/1472-6882-12-162. PMC 3520871. PMID 23009599.
  126. ^ Anheyer D, Haller H, Barth J, Lauche R, Dobos G, Cramer H (June 2017). "Mindfulness-Based Stress Reduction for Treating Low Back Pain: A Systematic Review and Meta-analysis". Annals of Internal Medicine. 166 (11): 799–807. doi:10.7326/M16-1997. PMID 28437793. S2CID 1157568.
  127. ^ Urrútia G, Burton AK, Morral A, Bonfill X, Zanoli G (19 April 2004). "Neuroreflexotherapy for non-specific low-back pain". The Cochrane Database of Systematic Reviews. 2011 (2): CD003009. doi:10.1002/14651858.cd003009.pub2. PMC 8992702. PMID 15106186.
  128. ^ Urrútia G, Burton K, Morral A, Bonfill X, Zanoli G (March 2005). "Neuroreflexotherapy for nonspecific low back pain: a systematic review". Spine. 30 (6): E148 – E153. doi:10.1097/01.brs.0000155575.85223.14. PMID 15770167. S2CID 31140257.
  129. ^ Marin TJ, Van Eerd D, Irvin E, Couban R, Koes BW, Malmivaara A, et al. (June 2017). "Multidisciplinary biopsychosocial rehabilitation for subacute low back pain". The Cochrane Database of Systematic Reviews. 2017 (6): CD002193. doi:10.1002/14651858.cd002193.pub2. PMC 6481490. PMID 28656659.
  130. ^ Maas ET, Ostelo RW, Niemisto L, Jousimaa J, Hurri H, Malmivaara A, van Tulder MW (October 2015). "Radiofrequency denervation for chronic low back pain". The Cochrane Database of Systematic Reviews. 2015 (10): CD008572. doi:10.1002/14651858.cd008572.pub2. PMC 8782593. PMID 26495910.
  131. ^ Luz Júnior MA, Almeida MO, Santos RS, Civile VT, Costa LO (January 2019). "Effectiveness of Kinesio Taping in Patients With Chronic Nonspecific Low Back Pain: A Systematic Review With Meta-analysis". Spine. 44 (1): 68–78. doi:10.1097/BRS.0000000000002756. PMID 29952880. S2CID 49486200.
  132. ^ Engers A, Jellema P, Wensing M, van der Windt DA, Grol R, van Tulder MW (January 2008). "Individual patient education for low back pain". The Cochrane Database of Systematic Reviews. 2008 (1): CD004057. doi:10.1002/14651858.cd004057.pub3. hdl:2066/69744. PMC 6999124. PMID 18254037.
  133. ^ Verbeek JH, Martimo KP, Karppinen J, Kuijer PP, Viikari-Juntura E, Takala EP (June 2011). "Manual material handling advice and assistive devices for preventing and treating back pain in workers". The Cochrane Database of Systematic Reviews (6): CD005958. doi:10.1002/14651858.CD005958.pub3. PMID 21678349.
  134. ^ a b Chou R, Shekelle P (April 2010). "Will this patient develop persistent disabling low back pain?". JAMA. 303 (13): 1295–1302. doi:10.1001/jama.2010.344. PMID 20371789.
  135. ^ Hayden JA, Wilson MN, Riley RD, Iles R, Pincus T, Ogilvie R (November 2019). "Individual recovery expectations and prognosis of outcomes in non-specific low back pain: prognostic factor review". The Cochrane Database of Systematic Reviews. 2019 (11). doi:10.1002/14651858.cd011284.pub2. PMC 6877336. PMID 31765487.
  136. ^ Cunningham F (2009). Williams Obstetrics (23 ed.). McGraw Hill Professional. p. 210. ISBN 978-0-07-170285-0. Archived from the original on 8 September 2017.
  137. ^ Shiri R, Karppinen J, Leino-Arjas P, Solovieva S, Viikari-Juntura E (January 2010). "The association between smoking and low back pain: a meta-analysis". The American Journal of Medicine. 123 (1): 87.e7–87.35. doi:10.1016/j.amjmed.2009.05.028. PMID 20102998.
  138. ^ a b c d e Maharty DC (September 2012). "The history of lower back pain: a look "back" through the centuries". Primary Care. 39 (3): 463–470. doi:10.1016/j.pop.2012.06.002. PMID 22958555.
  139. ^ a b c d e Lutz GK, Butzlaff M, Schultz-Venrath U (August 2003). "Looking back on back pain: trial and error of diagnoses in the 20th century". Spine. 28 (16): 1899–1905. doi:10.1097/01.BRS.0000083365.41261.CF. PMID 12923482. S2CID 25083375.
  140. ^ a b Manchikanti L, Singh V, Datta S, Cohen SP, Hirsch JA (2009). "Comprehensive review of epidemiology, scope, and impact of spinal pain". Pain Physician. 12 (4): E35 – E70. doi:10.36076/ppj.2009/12/E35. PMID 19668291.
  141. ^ Mokdad AH, Ballestros K, Echko M, Glenn S, Olsen HE, Mullany E, et al. (April 2018). "The State of US Health, 1990-2016: Burden of Diseases, Injuries, and Risk Factors Among US States". JAMA. 319 (14): 1444–1472. doi:10.1001/jama.2018.0158. PMC 5933332. PMID 29634829.
  142. ^ a b c d American College of Occupational and Environmental Medicine (February 2014), "Five Things Physicians and Patients Should Question", Choosing Wisely: an initiative of the ABIM Foundation, American College of Occupational and Environmental Medicine, archived from the original on 11 September 2014, retrieved 24 February 2014, which cites
    • Talmage J, Belcourt R, Galper J, et al. (2011). "Low back disorders". In Hegmann KT (ed.). Occupational medicine practice guidelines: evaluation and management of common health problems and functional recovery in workers (3rd ed.). Elk Grove Village, IL: American College of Occupational and Environmental Medicine. pp. 336, 373, 376–77. ISBN 978-0-615-45227-2.