Tomography

Fig.1: Basic principle of tomography: superposition free tomographic cross sections S1 and S2 compared with the (not tomographic) projected image P
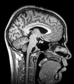
Median plane sagittal tomography of the head by magnetic resonance imaging

Tomography is imaging by sections or sectioning that uses any kind of penetrating wave. The method is used in radiology, archaeology, biology, atmospheric science, geophysics, oceanography, plasma physics, materials science, cosmochemistry, astrophysics, quantum information, and other areas of science. The word tomography is derived from Ancient Greek τόμος tomos, "slice, section" and γράφω graphō, "to write" or, in this context as well, "to describe." A device used in tomography is called a tomograph, while the image produced is a tomogram.

In many cases, the production of these images is based on the mathematical procedure tomographic reconstruction, such as X-ray computed tomography technically being produced from multiple projectional radiographs. Many different reconstruction algorithms exist. Most algorithms fall into one of two categories: filtered back projection (FBP) and iterative reconstruction (IR). These procedures give inexact results: they represent a compromise between accuracy and computation time required. FBP demands fewer computational resources, while IR generally produces fewer artifacts (errors in the reconstruction) at a higher computing cost.[1]

Although MRI (magnetic resonance imaging), optical coherence tomography and ultrasound are transmission methods, they typically do not require movement of the transmitter to acquire data from different directions. In MRI, both projections and higher spatial harmonics are sampled by applying spatially varying magnetic fields; no moving parts are necessary to generate an image. On the other hand, since ultrasound and optical coherence tomography uses time-of-flight to spatially encode the received signal, it is not strictly a tomographic method and does not require multiple image acquisitions.

Types of tomography

Name Source of data Abbreviation Year of introduction
Aerial tomography Electromagnetic radiation AT 2020
Array tomography[2] Correlative light and electron microscopy AT 2007
Atom probe tomography Atom probe APT 1986
Computed tomography imaging spectrometer[3] Visible light spectral imaging CTIS 2001
Computed tomography of chemiluminescence[4][5] Chemiluminescence Flames CTC 2009
Confocal microscopy (laser scanning confocal microscopy) Laser scanning confocal microscopy LSCM
Cryogenic electron tomography Cryogenic transmission electron microscopy CryoET
Electrical capacitance tomography Electrical capacitance ECT 1988[6]
Electrical capacitance volume tomography Electrical capacitance ECVT
Electrical resistivity tomography Electrical resistivity ERT
Electrical impedance tomography Electrical impedance EIT 1984
Atomic Mineral Resonance Tomography Atomic Mineral Resonance Frequency AMRT
Electron tomography[7] Transmission electron microscopy ET 1968[8][9]
Focal plane tomography X-ray 1930s
Functional magnetic resonance imaging Magnetic resonance fMRI 1992
Gamma-ray emission tomography ("Tomographic Gamma Scanning") Gamma ray TGS or ECT
Gamma-ray transmission tomography Gamma ray TCT
Hydraulic tomography fluid flow HT 2000
Infrared microtomographic imaging[10] Mid-infrared 2013
Laser Ablation Tomography Laser ablation & fluorescent microscopy LAT 2013
Magnetic induction tomography Magnetic induction MIT
Magnetic particle imaging Superparamagnetism MPI 2005
Magnetic resonance imaging or nuclear magnetic resonance tomography Nuclear magnetic moment MRI or MRT
Multi-source tomography[11][12] X-ray
Muon tomography Muon
Microwave tomography[13] Microwave
Neutron tomography Neutron
Neutron stimulated emission computed tomography
Ocean acoustic tomography Sonar OAT
Optical coherence tomography Interferometry OCT
Optical diffusion tomography Absorption of light ODT
Optical projection tomography Optical microscope OPT
Photoacoustic imaging in biomedicine Photoacoustic spectroscopy PAT
Photoemission orbital tomography Angle-resolved photoemission spectroscopy POT 2009[14]
Positron emission tomography Positron emission PET
Positron emission tomography - computed tomography Positron emission & X-ray PET-CT
Quantum tomography Quantum state QST
Single-photon emission computed tomography Gamma ray SPECT
Seismic tomography Seismic waves
Terahertz tomography Terahertz radiation THz-CT
Thermoacoustic imaging Photoacoustic spectroscopy TAT
Ultrasound-modulated optical tomography Ultrasound UOT
Ultrasound computer tomography Ultrasound USCT
Ultrasound transmission tomography Ultrasound
X-ray computed tomography X-ray CT, CAT scan 1971
X-ray microtomography[15] X-ray microCT
Zeeman-Doppler imaging Zeeman effect

Some recent advances rely on using simultaneously integrated physical phenomena, e.g. X-rays for both CT and angiography, combined CT/MRI and combined CT/PET.

Discrete tomography and Geometric tomography, on the other hand, are research areas that deal with the reconstruction of objects that are discrete (such as crystals) or homogeneous. They are concerned with reconstruction methods, and as such they are not restricted to any of the particular (experimental) tomography methods listed above.

Synchrotron X-ray tomographic microscopy

A new technique called synchrotron X-ray tomographic microscopy (SRXTM) allows for detailed three-dimensional scanning of fossils.[16][17]

The construction of third-generation synchrotron sources combined with the tremendous improvement of detector technology, data storage and processing capabilities since the 1990s has led to a boost of high-end synchrotron tomography in materials research with a wide range of different applications, e.g. the visualization and quantitative analysis of differently absorbing phases, microporosities, cracks, precipitates or grains in a specimen. Synchrotron radiation is created by accelerating free particles in high vacuum. By the laws of electrodynamics this acceleration leads to the emission of electromagnetic radiation (Jackson, 1975). Linear particle acceleration is one possibility, but apart from the very high electric fields one would need it is more practical to hold the charged particles on a closed trajectory in order to obtain a source of continuous radiation. Magnetic fields are used to force the particles onto the desired orbit and prevent them from flying in a straight line. The radial acceleration associated with the change of direction then generates radiation.[18]

Volume rendering

Multiple X-ray computed tomographs (with quantitative mineral density calibration) stacked to form a 3D model

Volume rendering is a set of techniques used to display a 2D projection of a 3D discretely sampled data set, typically a 3D scalar field. A typical 3D data set is a group of 2D slice images acquired, for example, by a CT, MRI, or MicroCT scanner. These are usually acquired in a regular pattern (e.g., one slice every millimeter) and usually have a regular number of image pixels in a regular pattern. This is an example of a regular volumetric grid, with each volume element, or voxel represented by a single value that is obtained by sampling the immediate area surrounding the voxel.

To render a 2D projection of the 3D data set, one first needs to define a camera in space relative to the volume. Also, one needs to define the opacity and color of every voxel. This is usually defined using an RGBA (for red, green, blue, alpha) transfer function that defines the RGBA value for every possible voxel value.

For example, a volume may be viewed by extracting isosurfaces (surfaces of equal values) from the volume and rendering them as polygonal meshes or by rendering the volume directly as a block of data. The marching cubes algorithm is a common technique for extracting an isosurface from volume data. Direct volume rendering is a computationally intensive task that may be performed in several ways.

History

Focal plane tomography was developed in the 1930s by the radiologist Alessandro Vallebona, and proved useful in reducing the problem of superimposition of structures in projectional radiography.

In a 1953 article in the medical journal Chest, B. Pollak of the Fort William Sanatorium described the use of planography, another term for tomography.[19]

Focal plane tomography remained the conventional form of tomography until being largely replaced by mainly computed tomography in the late 1970s.[20] Focal plane tomography uses the fact that the focal plane appears sharper, while structures in other planes appear blurred. By moving an X-ray source and the film in opposite directions during the exposure, and modifying the direction and extent of the movement, operators can select different focal planes which contain the structures of interest.

See also

References

  1. ^ Herman, Gabor T. (2009). Fundamentals of Computerized Tomography: Image Reconstruction from Projections (2nd ed.). Dordrecht: Springer. ISBN 978-1-84628-723-7.
  2. ^ Micheva, Kristina D.; Smith, Stephen J (July 2007). "Array Tomography: A New Tool for Imaging the Molecular Architecture and Ultrastructure of Neural Circuits". Neuron. 55 (1): 25–36. doi:10.1016/j.neuron.2007.06.014. PMC 2080672. PMID 17610815.
  3. ^ Ford, Bridget K.; Volin, Curtis E.; Murphy, Sean M.; Lynch, Ronald M.; Descour, Michael R. (February 2001). "Computed Tomography-Based Spectral Imaging For Fluorescence Microscopy". Biophysical Journal. 80 (2): 986–993. Bibcode:2001BpJ....80..986F. doi:10.1016/S0006-3495(01)76077-8. PMC 1301296. PMID 11159465.
  4. ^ Floyd, J.; Geipel, P.; Kempf, A.M. (February 2011). "Computed Tomography of Chemiluminescence (CTC): Instantaneous 3D measurements and Phantom studies of a turbulent opposed jet flame". Combustion and Flame. 158 (2): 376–391. doi:10.1016/j.combustflame.2010.09.006.
  5. ^ Mohri, K; Görs, S; Schöler, J; Rittler, A; Dreier, T; Schulz, C; Kempf, A (10 September 2017). "Instantaneous 3D imaging of highly turbulent flames using computed tomography of chemiluminescence". Applied Optics. 56 (26): 7385–7395. Bibcode:2017ApOpt..56.7385M. doi:10.1364/AO.56.007385. PMID 29048060.
  6. ^ Huang, S M; Plaskowski, A; Xie, C G; Beck, M S (1988). "Capacitance-based tomographic flow imaging system". Electronics Letters. 24 (7): 418–19. Bibcode:1988ElL....24..418H. doi:10.1049/el:19880283.
  7. ^ Van Aarle, W.; Palenstijn, WJ.; De Beenhouwer, J; Alantzis, T; Bals, S; Batenburg, J; Sijbers, J (2015). "The ASTRA Toolbox: a platform for advanced algorithm development in electron tomography". Ultramicroscopy. 157: 35–47. doi:10.1016/j.ultramic.2015.05.002. hdl:10067/1278340151162165141.
  8. ^ Crowther, R. A.; DeRosier, D. J.; Klug, A.; S, F. R. (1970-06-23). "The reconstruction of a three-dimensional structure from projections and its application to electron microscopy". Proc. R. Soc. Lond. A. 317 (1530): 319–340. Bibcode:1970RSPSA.317..319C. doi:10.1098/rspa.1970.0119. ISSN 0080-4630. S2CID 122980366.
  9. ^ Electron tomography: methods for three-dimensional visualization of structures in the cell (2nd ed.). New York: Springer. 2006. pp. 3. ISBN 9780387690087. OCLC 262685610.
  10. ^ Martin, Michael C; Dabat-Blondeau, Charlotte; Unger, Miriam; Sedlmair, Julia; Parkinson, Dilworth Y; Bechtel, Hans A; Illman, Barbara; Castro, Jonathan M; Keiluweit, Marco; Buschke, David; Ogle, Brenda; Nasse, Michael J; Hirschmugl, Carol J (September 2013). "3D spectral imaging with synchrotron Fourier transform infrared spectro-microtomography". Nature Methods. 10 (9): 861–864. doi:10.1038/nmeth.2596. PMID 23913258. S2CID 9900276.
  11. ^ Cramer, A., Hecla, J., Wu, D. et al. Stationary Computed Tomography for Space and other Resource-constrained Environments. Sci Rep 8, 14195 (2018). [1]
  12. ^ V. B. Neculaes, P. M. Edic, M. Frontera, A. Caiafa, G. Wang and B. De Man, "Multisource X-Ray and CT: Lessons Learned and Future Outlook," in IEEE Access, vol. 2, pp. 1568–1585, 2014, doi: 10.1109/ACCESS.2014.2363949.[2]
  13. ^ Ahadi, Mojtaba; Isa, Maryam; Saripan, M. Iqbal; Hasan, W. Z. W. (December 2015). "Three dimensions localization of tumors in confocal microwave imaging for breast cancer detection" (PDF). Microwave and Optical Technology Letters. 57 (12): 2917–2929. doi:10.1002/mop.29470. S2CID 122576324.
  14. ^ Puschnig, P.; Berkebile, S.; Fleming, A. J.; Koller, G.; Emtsev, K.; Seyller, T.; Riley, J. D.; Ambrosch-Draxl, C.; Netzer, F. P.; Ramsey, M. G. (30 October 2009). "Reconstruction of Molecular Orbital Densities from Photoemission Data". Science. 326 (5953): 702–706. Bibcode:2009Sci...326..702P. doi:10.1126/science.1176105. PMID 19745118. S2CID 5476218.
  15. ^ Van Aarle, W.; Palenstijn, WJ.; Cant, J; Janssens, E; Bleichrodt, F; Dabravolski, A; De Beenhouwer, J; Batenburg, J; Sijbers, J (February 2016). "Fast and Flexible X-ray Tomography Using the ASTRA Toolbox". Optics Express. 24 (22): 25129–25147. doi:10.1364/OE.24.025129. hdl:10067/1392160151162165141.
  16. ^ Donoghue, PC; Bengtson, S; Dong, XP; Gostling, NJ; Huldtgren, T; Cunningham, JA; Yin, C; Yue, Z; Peng, F; Stampanoni, M (10 August 2006). "Synchrotron X-ray tomographic microscopy of fossil embryos". Nature. 442 (7103): 680–3. Bibcode:2006Natur.442..680D. doi:10.1038/nature04890. PMID 16900198. S2CID 4411929.
  17. ^ "Contributors to Volume 21". Metals, Microbes, and Minerals - the Biogeochemical Side of Life. De Gruyter. 2021. pp. xix–xxii. doi:10.1515/9783110589771-004. ISBN 9783110588903. S2CID 243434346.
  18. ^ Banhart, John, ed. Advanced Tomographic Methods in Materials Research and Engineering. Monographs on the Physics and Chemistry of Materials. Oxford; New York: Oxford University Press, 2008.
  19. ^ Pollak, B. (December 1953). "Experiences with Planography". Chest. 24 (6): 663–669. doi:10.1378/chest.24.6.663. ISSN 0012-3692. PMID 13107564. Archived from the original on 2013-04-14. Retrieved July 10, 2011.
  20. ^ Littleton, J.T. "Conventional Tomography" (PDF). A History of the Radiological Sciences. American Roentgen Ray Society. Retrieved 29 November 2014.