Atypical polypoid adenomyoma
| Atypical polypoid adenomyoma | |
|---|---|
![]() | |
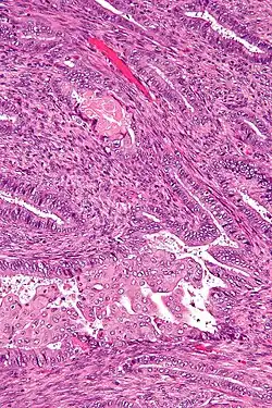
| Micrograph of an atypical polypoid adenomyoma. H&E stain. | |
| Specialty | Pathology |
Atypical polypoid adenomyoma (APA) is a rare benign tumour of the uterus.[1]
Pathology
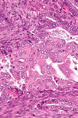
APAs are characterized by glands with abnormal shapes that: (1) often have squamous metaplasia, and (2) are surrounded by benign smooth muscle.[1] Nuclear atypia, if present, is mild.
The microscopic differential diagnosis includes endometrial carcinoma and endocervical adenocarcinoma.
-
Intermed. mag. -
Very high mag.
See also
References
