Adenocarcinoma

Adenocarcinoma
Histopathology of typical features of adenocarcinoma on H&E stain, but in reality the visual features vary substantially, both by subtypes of adenocarcinoma as well as between individual cases.
SpecialtyOncology, Pathology
Micrograph showing typical features of adenocarcinoma on cytopathology (Pap stain). Vacuoles are more prominent in mucinous tumors but can be seen in serous tumors as well.

Adenocarcinoma[1] (/ˌædɪnkɑːrsɪˈnmə/; plural adenocarcinomas or adenocarcinomata /ˌædɪnkɑːrsɪˈnmətə/; AC) (Greek ἀδήν (adḗn) "gland", Greek "karkínos", "cancer") is a type of cancerous tumor that can occur in several parts of the body. It is defined as neoplasia of epithelial tissue that has glandular origin, glandular characteristics, or both. Adenocarcinomas are part of the larger grouping of carcinomas, but are also sometimes called by more precise terms omitting the word, where these exist. Thus invasive ductal carcinoma, the most common form of breast cancer, is adenocarcinoma but does not use the term in its name—however, esophageal adenocarcinoma does to distinguish it from the other common type of esophageal cancer, esophageal squamous cell carcinoma. Several of the most common forms of cancer are adenocarcinomas, and the various sorts of adenocarcinoma vary greatly in all their aspects, so that few useful generalizations can be made about them.

In the most specific usage, the glandular origin or traits are exocrine; endocrine gland tumors, such as a VIPoma, an insulinoma, or a pheochromocytoma, are typically not referred to as adenocarcinomas but rather are often called neuroendocrine tumors. Epithelial tissue sometimes includes, but is not limited to, the surface layer of skin, glands, and a variety of other tissue that lines the cavities and organs of the body. Epithelial tissue can be derived embryologically from any of the germ layers (ectoderm, endoderm, or mesoderm). To be classified as adenocarcinoma, the cells do not necessarily need to be part of a gland, as long as they have secretory properties. Adenocarcinoma is the malignant counterpart to adenoma, which is the benign form of such tumors. Sometimes adenomas transform into adenocarcinomas, but most do not.

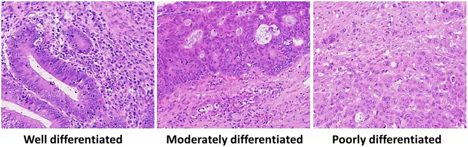
Well-differentiated adenocarcinomas tend to resemble the glandular tissue that they are derived from, while poorly differentiated adenocarcinomas may not. By staining the cells from a biopsy, a pathologist can determine whether the tumor is an adenocarcinoma or some other type of cancer. Adenocarcinomas can arise in many tissues of the body owing to the ubiquitous nature of glands within the body, and, more fundamentally, to the potency of epithelial cells. While each gland may not be secreting the same substance, as long as there is an exocrine function to the cell, it is considered glandular and its malignant form is therefore named adenocarcinoma.

Histopathology

Many seborrheic keratoses on back of person with Leser–Trélat sign due to colon cancer

Examples of cancers where adenocarcinomas are a common form:

Breast

Most breast cancers start in the ducts or lobules, and are adenocarcinomas. The three most common histopathological types collectively represent approximately three-quarters of breast cancers:

Colon

The vast majority of colorectal cancers are adenocarcinomas. This is because the colon has numerous glands. Normal colonic glands tend to be simple and tubular in appearance with a mixture of mucus-secreting goblet cells and water-absorbing cells. These glands secrete mucus into the lumen of the colon to lubricate the feces as they pass towards the rectum.[7]

When these glands undergo a number of changes at the genetic level, they proceed in a predictable manner as they move from benign to an invasive, malignant colon cancer. In their research paper "Lessons from Hereditary Colorectal Cancer", Vogelstein, et al., suggested that colon cells lose the APC tumor suppressor gene and become a small polyp. Next, they suggested that k-Ras becomes activated and the polyp becomes a small, benign adenoma. The adenoma, lacking the "carcinoma" attached to the end of it, suggests that it is a benign version of the malignant adenocarcinoma. The gastroenterologist uses a colonoscopy to find and remove these adenomas and polyps to prevent them from continuing to acquire genetic changes that will lead to an invasive adenocarcinoma. Vogelstein et al. went on to suggest that loss of the DCC gene and of p53 result in a malignant adenocarcinoma.[8]

Lung

Pie chart showing incidence of adenocarcinoma of the lung (shown in yellow) as compared to other lung cancer types, with fractions of non-smokers versus smokers shown for each type[9]

Nearly 40% of lung cancers are adenocarcinomas, which usually originate in peripheral lung tissue.[10] Most cases of adenocarcinoma are associated with smoking; however, among people who have smoked fewer than 100 cigarettes in their lifetimes ("never-smokers"),[11] adenocarcinoma is the most common form of lung cancer.[12] A subtype of adenocarcinoma, the bronchioloalveolar carcinoma, is more common in female never-smokers, and may have a better long-term survival.[13]

This cancer usually is seen peripherally in the lungs, as opposed to small cell lung cancer and squamous cell lung cancer, which both tend to be more centrally located.[14][15]

Other

See also

References

  1. ^ From adeno-, "gland" and karkin(o)-, "cancerous" and -oma, "tumor".
  2. ^ World Cancer Report 2014. World Health Organization. 2014. pp. Chapter 5.3. ISBN 978-92-832-0429-9.
  3. ^ Bond-Smith G, Banga N, Hammond TM, Imber CJ (May 2012). "Pancreatic adenocarcinoma". BMJ. 344: e2476. doi:10.1136/bmj.e2476. PMID 22592847. S2CID 206894869.
  4. ^ World Cancer Report 2014. World Health Organization. 2014. pp. 473–474. ISBN 978-92-832-0429-9.
  5. ^ Burkitt MD, Duckworth CA, Williams JM, Pritchard DM (February 2017). "Helicobacter pylori-induced gastric pathology: insights from in vivo and ex vivo models". Disease Models & Mechanisms. 10 (2): 89–104. doi:10.1242/dmm.027649. PMC 5312008. PMID 28151409.
  6. ^ a b c Percentage values are from United States statistics 2004. Subtype specific incidences are taken from Table 6 (invasive) and Table 3 (in situ) from Eheman CR, Shaw KM, Ryerson AB, Miller JW, Ajani UA, White MC (June 2009). "The changing incidence of in situ and invasive ductal and lobular breast carcinomas: United States, 1999-2004". Cancer Epidemiology, Biomarkers & Prevention. 18 (6): 1763–1769. doi:10.1158/1055-9965.EPI-08-1082. PMID 19454615.. These are divided by total breast cancer incidence (211,300 invasive and 55,700 in situ cases) as reported from Breast Cancer Facts & Figures 2003–2004 "Breast Cancer Facts & Figures 2003-2004". Archived from the original on 2009-04-15. Retrieved 2010-06-15.
  7. ^ Heath JE, Young B, Wheater PR, Lowe JN, Stevens A (2006). Wheater's Functional histology: a text and colour atlas (5th ed.). Edinburgh: Churchill Livingstone Elsevier. p. 283. ISBN 978-0-443-06850-8.
  8. ^ Kinzler KW, Vogelstein B (October 1996). "Lessons from hereditary colorectal cancer". Cell. 87 (2): 159–170. doi:10.1016/S0092-8674(00)81333-1. PMID 8861899. S2CID 18032613.
  9. ^ Smokers defined as current or former smoker of more than 1 year of duration. See image page in Commons for percentages in numbers. Reference:
  10. ^ Lu C, Onn A, Vaporciyan AA, Chang JY, Glisson BS, Komaki R, Wistuba II, Roth JA, Herberst RS (2010). "78: Cancer of the Lung". Holland-Frei Cancer Medicine (8th ed.). People's Medical Publishing House. ISBN 978-1-60795-014-1.
  11. ^ Horn L, Pao W, Johnson DH (2012). "Chapter 89". In Longo DL, Kasper DL, Jameson JL, Fauci AS, Hauser SL, Loscalzo J (eds.). Harrison's Principles of Internal Medicine (18th ed.). McGraw-Hill. ISBN 978-0-07-174889-6.
  12. ^ Subramanian J, Govindan R (February 2007). "Lung cancer in never smokers: a review". Journal of Clinical Oncology. 25 (5): 561–570. doi:10.1200/JCO.2006.06.8015. PMID 17290066.
  13. ^ Raz DJ, He B, Rosell R, Jablons DM (March 2006). "Bronchioloalveolar carcinoma: a review". Clinical Lung Cancer. 7 (5): 313–322. doi:10.3816/CLC.2006.n.012. PMID 16640802.
  14. ^ Mitchell RS, Kumar V, Abbas AK, Fausto N (2007). "Chapter 13, box on morphology of adenocarcinoma". Robbins Basic Pathology. Philadelphia: Saunders. ISBN 978-1-4160-2973-1. 8th edition.
  15. ^ Travis WD, Travis LB, Devesa SS (January 1995). "Lung cancer". Cancer. 75 (1 Suppl): 191–202. doi:10.1002/1097-0142(19950101)75:1+<191::AID-CNCR2820751307>3.0.CO;2-Y. PMID 8000996. S2CID 34718856.