The Zebrafish in Toxicology/Ovary
- an interactive version of this book is available here
- back to Table of Contents - The Zebrafish in Toxicology
Reproduction - Ovary
Normal Histology
ovary location, general structure
| The ovary [O] is a paired organ, located bilaterally between the abdominal wall and the swim bladder [SB]. At the level of this section, the ovary is further bounded by the liver [L] and intestines [I]. Part of the pancreas [P] is located in the anterior peritoneal cavity, between gut, liver and swim bladder.
(Note that this is a juvenile specimen with a previtellogenic ovary.) |
|
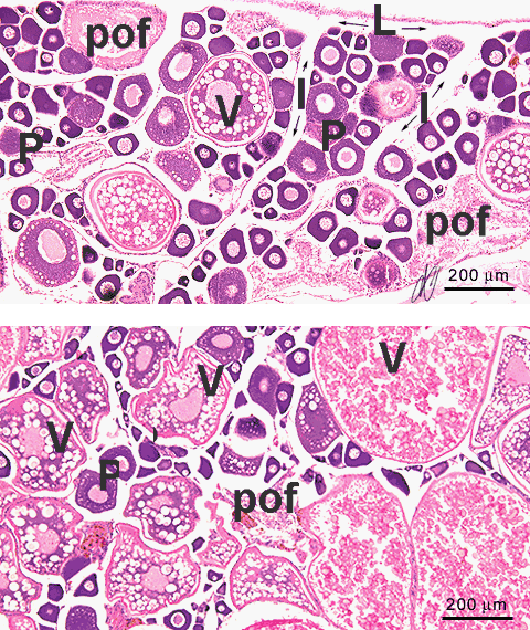
| Two specimen of normal adult zebrafish ovaries, in different stages of the spawning cycle. The upper specimen shows a high ratio of previtellogenic oocytes [P], suggestive for an early postspawning stage, whereas the lower specimen contains predominantly vitellogenic oocytes [V], indicating an intermediate stage. The postspawning condition of the upper specimen is further indicated by the high ratio of postovulatory follicles [pof]. Note, that the upper image shows a lobulated structure, with interlobular spaces [I] that communicate with the lateral oviduct [L]. Thus, the interlobular spaces give way to ovulated oocytes. |
|
|
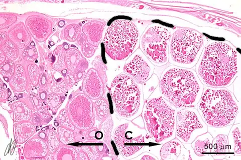
In a further (prespawning) stage shown here, mature oocytes have ovulated and are collected in the caudal oviduct [C enclosed by dotted line]. This image is suggestive of a prespawning stage. |
|


