Wernicke encephalopathy

Wernicke encephalopathy
Other names: Cerebral beriberi,[1] Wernicke's disease, Wernicke's encephalopathy[2]
Hypothalamus
SymptomsAbnormal movement of the eyes, poor coordination, confusion[3]
ComplicationsKorsakoff syndrome[3]
Usual onsetSudden[3]
CausesThiamine deficiency[3]
Risk factorsAlcohol use disorder, malnutrition[4]
Diagnostic methodBased on symptoms[3]
Differential diagnosisAlcohol withdrawal, electrolyte disorders, infection, drugs of abuse, head trauma[4]
TreatmentThiamine supplements[3]
Frequency2%[5]
Deaths15% without treatment[3]

Wernicke encephalopathy (WE) is a brain disorder that classically results in – abnormal movement of the eyes, poor coordination, and confusion.[3] Around 10% of people exhibit all three features, with confusion being the most common.[4][6] It is generally of sudden onset.[3] When people walk they usually have their feet apart and take small steps.[3]

It occurs due to thiamine deficiency.[3] Risk factors include alcohol use disorder and malnutrition, though genetics may also play a role.[3] Causes of malnutrition may include nausea and vomiting of pregnancy, eating disorders, or cancer.[4] Diagnosis is generally based on symptoms; though may be supported by measuring blood thiamine levels.[3][4] Without treatment about 80% of cases are complicated by Korsakoff syndrome, with its associated memory problems.[4] The combination is known as Wernicke–Korsakoff syndrome.[3]

Treatment is with thiamine supplementation, which can lead to improvement within days to weeks, though some are left with permanent problems.[4] Often a thiamine dose of 100 to 200 mg, one to three times per day, injected into a vein, for 3 to 5 days is used.[4] Low magnesium should be treated if present.[3] Without treatment about 15% of people die.[3]

Wernicke's occurs in around 2% of people; though up to 12.5% of people with alcohol use disorder and 10% of people with AIDS are affected.[5] The condition is believed to be underdiagnosed.[4] It was initially described in 1881 by Carl Wernicke.[4]

Signs and symptoms

The classic triad of symptoms found in Wernicke encephalopathy is:[7]

However, in actuality, only a small percentage of patients experience all three symptoms,[8] and the full triad occurs more frequently among those who have overused alcohol.

Also a much more diverse range of symptoms has been found in patients with this condition, including:

Although hypothermia is usually diagnosed with a body temperature of 35 °C / 95° Fahrenheit, or less, incipient cooling caused by deregulation in the central nervous system (CNS) needs to be monitored because it can promote the development of an infection.[14] The patient may report feeling cold, followed by mild chills, cold skin, moderate pallor, tachycardia, hypertension, tremor or piloerection. External warming techniques are advised to prevent hypothermia.

Among the frequently altered functions are the cardio circulatory. There may be tachycardia, dyspnea, chest pain, orthostatic hypotension, changes in heart rate and blood pressure.[25] The lack of thiamine sometimes affects other major energy consumers, the myocardium, and also patients may have developed cardiomegaly.[26] Heart failure with lactic acidosis syndrome has been observed.[27] Cardiac abnormalities are an aspect of the WE, which was not included in the traditional approach,[28][29] and are not classified as a separate disease. Infections have been pointed out as one of the most frequent triggers of death in WE.[29][30] Furthermore, infections are usually present in pediatric cases.[31][32]

In the last stage other symptoms may occur: hyperthermia, increased muscle tone, spastic paralysis, choreic dyskinesias and coma.

Because of the frequent involvement of heart, eyes and peripheral nervous system, several authors prefer to call it Wernicke disease rather than simply encephalopathy.[28][33]

Early symptoms are nonspecific,[34][35] and it has been stated that WE may present nonspecific findings.[36] In Wernicke Korsakoff's syndrome some single symptoms are present in about one-third.[37]

Korsakoff syndrome

Korsakoff syndrome, characterised by memory impairment, confabulation, confusion and personality changes, has a strong and recognised link with WE.[38][39] A very high percentage of patients with Wernicke–Korsakoff syndrome also have peripheral neuropathy, and many people who consume excess alcohol have this neuropathy without other neurologic signs or symptoms.[40] Korsakoff's occurs much more frequently in WE due to chronic alcoholism.[39] It is uncommon among those who do not consume excessive amounts of alcohol. Up to 80% of WE patients who misuse alcohol develop Korsakoff's syndrome.[36] In Korsakoff's, is usually observed atrophy of the thalamus and the mammillary bodies, and frontal lobe involvement.[36] In a study, half of Wernicke-Korsakoff cases had good recovery from the amnesic state, which may take from 2 months to 10 years.

Risk factors

Wernicke encephalopathy has classically been thought of as a disease solely of people who drink excessive amounts of alcohol, but it is also found in the chronically undernourished, and in recent years had been discovered post bariatric surgery.[7][36] Without being exhaustive, the documented causes of Wernicke encephalopathy have included:

Pathophysiology

Thiamine deficiency and errors of thiamine metabolism are believed to be the primary cause of Wernicke encephalopathy. Thiamine, also called B1, helps to break down glucose. Specifically, it acts as an essential coenzyme to the TCA cycle and the pentose phosphate shunt. Thiamine is first metabolised to its more active form, thiamine diphosphate (TDP), before it is used. The body only has 2–3 weeks of thiamine reserves, which are readily exhausted without intake, or if depletion occurs rapidly, such as in chronic inflammatory states or in diabetes.[7][36] Thiamine is involved in:[36][45]

  1. Metabolism of carbohydrates, releasing energy.
  2. Production of neurotransmitters including glutamic acid and GABA.
  3. Lipid metabolism, necessary for myelin production.
  4. Amino acid modification. Probably linked to the production of taurine, of great cardiac importance.[46][47]

Neuropathology

The primary neurological-related injury caused by thiamine deficiency in WE is three-fold: oxidative damage, mitochondrial injury leading to apoptosis, and directly stimulating a pro-apoptotic pathway.[48] Thiamine deficiency affects both neurons and astrocytes, glial cells of the brain. Thiamine deficiency alters the glutamate uptake of astrocytes, through changes in the expression of astrocytic glutamate transporters EAAT1 and EAAT2, leading to excitotoxicity. Other changes include those to the GABA transporter subtype GAT-3, GFAP, glutamine synthetase, and the Aquaporin 4 channel.[49] Focal lactic acidosis also causes secondary oedema, oxidative stress, inflammation and white matter damage.[50]

Depending on the location of the brain lesion different symptoms are more frequent:

  • Brainstem tegmentum. - Ocular: pupillary changes. Extraocular muscle palsy; gaze palsy: nystagmus.
  • Hypothalamus. Medulla: dorsal nuc. of vagus. - Autonomic dysfunction: temperature; cardiocirculatory; respiratory.
  • Medulla: vestibular region. Cerebellum. - Ataxia.
  • Dorsomedial nuc. of thalamus. Mammillary bodies. - Amnestic syndrome for recent memory.

Mamillary lesion are characteristic-small petechial hemorrhages are found.

  • Diffuse cerebral dysfunction.- Altered cognition: global confusional state.
  • Brainstem: periaqueductal gray.- Reduction of consciousness[51]
  • Hypothalamic lesions may also affect the immune system, which is known in people who consume excessive amounts of alcohol, causing dysplasias and infections.

Pathological anatomy

Cerebellum

Despite its name, WE is not related to Wernicke's area, a region of the brain associated with speech and language interpretation.

In most, early lesions completely reversed with immediate and adequate supplementation.

Lesions are usually symmetrical in the periventricular region, diencephalon, the midbrain, hypothalamus, and cerebellar vermis. Brainstem lesions may include cranial nerve III, IV, VI and VIII nuclei, the medial thalamic nuclei, and the dorsal nucleus of the vagus nerve. Oedema may be found in the regions surrounding the third ventricle, and fourth ventricle, also appearing petechiae and small hemorrhages.[52] Chronic cases can present the atrophy of the mammillary bodies.[53]

Endothelial proliferation, hyperplasia of capillaries, demyelination and neuronal loss can also occur.

An altered blood–brain barrier may cause a perturbed response to certain drugs and foods.[54]

Diagnosis

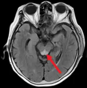
Magnetic resonance imaging shows characteristic Wernicke's encephalopathy with T2 signal hyper-intensity in the periaqueductal area (arrow).

Diagnosis of Wernicke encephalopathy or disease is made clinically.[42][55] Caine et al. in 1997 established criteria that Wernicke encephalopathy can be diagnosed in any patient with just two or more of the main symptoms noted above.[56] The sensitivity of the diagnosis by the classic triad was 23% but increased to 85% taking two or more of the four classic features. This criteria is challenged because all the cases he studied were people who drank excessive amounts of alcohol. Some consider it sufficient to suspect the presence of the disease with only one of the principal symptoms.[57] Some British hospital protocols suspect WE with any one of these symptoms: confusion, decreased consciousness level (or unconsciousness, stupor or coma), memory loss, ataxia or unsteadiness, ophthalmoplegia or nystagmus, and unexplained hypotension with hypothermia. The presence of only one sign should be sufficient for treatment.[58]

As a much more diverse range of symptoms has been found frequently in patients it is necessary to search for new diagnostic criteria, however Wernicke encephalopathy remains a clinically-diagnosed condition. Neither the MR, nor serum measurements related to thiamine are sufficient diagnostic markers in all cases. However, as described by Zuccoli et al. in several papers the involvement of the cranial nerve nuclei and central gray matter on MRI, is very specific to WE in the appropriate clinical setting.[53] Non-recovery upon supplementation with thiamine is inconclusive.

The sensitivity of MR was 53% and the specificity was 93%. The reversible cytotoxic edema was considered the most characteristic lesion of WE. The location of the lesions were more frequently atypical among people who drank appropriate amounts of alcohol, while typical contrast enhancement in the thalamus and the mammillary bodies was observed frequently associated with alcohol misuse.[53] These abnormalities may include:[7]

There appears to be very little value for CT scans.[42]

Thiamine can be measured using an erythrocyte transketolase activity assay,[42] or by activation by measurement of in vitro thiamine diphosphate levels.[42] Normal thiamine levels do not necessarily rule out the presence of WE,[42] as this may be a patient with difficulties in intracellular transport.

Prevention

There are hospital protocols for prevention, supplementing with thiamine in the presence of: history of alcohol misuse or related seizures, requirement for IV glucose, signs of malnutrition, poor diet, recent diarrhea or vomiting, peripheral neuropathy, intercurrent illness, delirium tremens or treatment for DTs, and others.[58][60] Some experts advise parenteral thiamine should be given to all at-risk patients in the Emergency Department.[42]

In the clinical diagnosis should be remembered that early symptoms are nonspecific,[34][35] and it has been stated that WE may present nonspecific findings.[36] There is consensus to provide water-soluble vitamins and minerals after gastric operations.

In some countries certain foods have been supplemented with thiamine, and have reduced WE cases. Improvement is difficult to quantify because they applied several different actions. Avoiding or moderating alcohol consumption and having adequate nutrition reduces one of the main risk factors in developing Wernicke-Korsakoff syndrome.

Treatment

Most symptoms will improve quickly if deficiencies are treated early. Memory disorder may be permanent.[61]

In patients suspected of WE, thiamine treatment should be started immediately.[36] Blood should be immediately taken to test for thiamine, other vitamins and minerals levels. Following this an immediate intravenous or intramuscular dose of thiamine should be administered[33] two or three times daily. Thiamine administration is usually continued until clinical improvement ceases.

Considering the diversity of possible causes and several surprising symptomatologic presentations, and because there is low assumed risk of toxicity of thiamine, because the therapeutic response is often dramatic from the first day, some qualified authors indicate parenteral thiamine if WE is suspected, both as a resource for diagnosis and treatment.[42] The diagnosis is highly supported by the response to parenteral thiamine, but is not sufficient to be excluded by the lack of it.[62] Parenteral thiamine administration is associated with a very small risk of anaphylaxis.

People who consume excessive amounts of alcohol may have poor dietary intakes of several vitamins, and impaired thiamine absorption, metabolism, and storage; they may thus require higher doses.[34]

If glucose is given, such as in people with an alcohol use disorder who are also hypoglycaemic, thiamine must be given concurrently. If this is not done, the glucose will rapidly consume the remaining thiamine reserves, exacerbating this condition.[36]

The observation of edema in MR, and also the finding of inflation and macrophages in necropsied tissues,[52] has led to successful administration of antiinflammatories.[63][64]

Other nutritional abnormalities should also be looked for, as they may be exacerbating the disease.[30][65] In particular, magnesium, a cofactor of transketolase which may induce or aggravate the disease.[36]

Other supplements may also be needed, including: cobalamin, ascorbic acid, folic acid, nicotinamide, zinc,[66][67] phosphorus (dicalcium phosphate)[68] and in some cases taurine, especially suitable when there cardiocirculatory impairment.[69][70] Patient-guided nutrition is suggested. In patients with Wernicke-Korsakoff syndrome, even higher doses of parenteral thiamine are recommended. Concurrent toxic effects of alcohol should also be considered.[39][68]

Epidemiology

Epidemiology of WE[71]

There are no conclusive statistical studies, all figures are based on partial studies.

Wernicke's lesions were observed in 0.8 to 2.8% of the general population autopsies, and 12.5% of people with an alcohol use disorder. This figure increases to 35% of such individuals if including cerebellar damage due to lack of thiamine.[72]

Most autopsy cases were from people with an alcohol use disorder. Autopsy series were performed in hospitals on the material available which is unlikely to be representative of the entire population. Considering the slight affectations, previous to the generation of observable lesions at necropsy, the percentage should be higher. There is evidence to indicate that Wernicke encephalopathy is underdiagnosed.[8][73] For example, in one 1986 study, 80% of cases were diagnosed postmortem.[8] Is estimated that only 5–14% of patients with WE are diagnosed in life.[74]

In a series of autopsy studies held in Recife, Brazil, it was found that only 7 out of 36 had consumed excessive amounts of alcohol, and only a small minority had malnutrition.[75] In a reviewed of 53 published case reports from 2001 to 2011, the relationship with alcohol was also about 20% (10 out of 53 cases).[7]

WE is more likely to occur in males than females.[36] Among the minority who are diagnosed, mortality can reach 17%.[28] The main factors triggering death are thought to be infections and liver dysfunctions.[28]

History

WE was first identified in 1881 by the German neurologist Carl Wernicke, although the link with thiamine was not identified until the 1930s. A similar presentation of this disease was described by the Russian psychiatrist Sergei Korsakoff in a series of articles published 1887–1891.[7]

Children

  • Infants and children. No one present clinical triad : infections, heart diseases, etc.[31]
  • In children. infection on 22/36 cases, etc.[76]
  • Difficulties in diagnosing, pediatric statistics.[76]
  • Secondary microcephaly: poor transport of thiamine pyrophosphate.[77]

References

  1. "Wernicke encephalopathy (Concept Id: C0043121) - MedGen - NCBI". www.ncbi.nlm.nih.gov. Archived from the original on 2024-01-18. Retrieved 2024-06-22.
  2. "MeSH Browser". meshb.nlm.nih.gov. Archived from the original on 2021-07-09. Retrieved 2021-04-17.
  3. 3.00 3.01 3.02 3.03 3.04 3.05 3.06 3.07 3.08 3.09 3.10 3.11 3.12 3.13 3.14 3.15 "Wernicke Encephalopathy - Special Subjects". Merck Manuals Professional Edition. Archived from the original on 21 March 2022. Retrieved 21 March 2022.
  4. 4.00 4.01 4.02 4.03 4.04 4.05 4.06 4.07 4.08 4.09 Sinha, S; Kataria, A; Kolla, BP; Thusius, N; Loukianova, LL (June 2019). "Wernicke Encephalopathy-Clinical Pearls". Mayo Clinic proceedings. 94 (6): 1065–1072. doi:10.1016/j.mayocp.2019.02.018. PMID 31171116.
  5. 5.0 5.1 Isenberg-Grzeda E, Kutner HE, Nicolson SE (2012). "Wernicke-Korsakoff-syndrome: under-recognized and under-treated". Psychosomatics. 53 (6): 507–16. doi:10.1016/j.psym.2012.04.008. PMID 23157990.
  6. Cook CC (2000). "Prevention and treatment of Wernicke-Korsakoff syndrome". Alcohol and Alcoholism. 35 (Supplement 1): 19–20. doi:10.1093/alcalc/35.Supplement_1.19. PMID 11304070. Archived from the original on 2021-09-23. Retrieved 2021-04-17.
  7. 7.00 7.01 7.02 7.03 7.04 7.05 7.06 7.07 7.08 7.09 Lough ME (June 2012). "Wernicke's encephalopathy: expanding the diagnostic toolbox". Neuropsychology Review. 22 (2): 181–94. doi:10.1007/s11065-012-9200-7. PMID 22577001.
  8. 8.0 8.1 8.2 8.3 Harper, CG; Giles, M; Finlay-Jones, R (April 1986). "Clinical signs in the Wernicke-Korsakoff complex: a retrospective analysis of 131 cases diagnosed at necropsy". Journal of Neurology, Neurosurgery, and Psychiatry. 49 (4): 341–5. doi:10.1136/jnnp.49.4.341. PMC 1028756. PMID 3701343.
  9. Mumford, C. J. (1989). "Papilloedema delaying diagnosis of Wernicke's encephalopathy in a comatose patient". Postgraduate Medical Journal. 65 (764): 371–3. doi:10.1136/pgmj.65.764.371. PMC 2429353. PMID 2608577.
  10. Chitra S, Lath KV (May 2012). "Wernicke's encephalopathy with visual loss in a patient with hyperemesis gravidarum". The Journal of the Association of Physicians of India. 60: 53–6. PMID 23029727.
  11. 11.0 11.1 Truswell AS (June 2000). "Australian experience with the Wernicke-Korsakoff syndrome". Addiction. 95 (6): 829–32. doi:10.1046/j.1360-0443.2000.9568291.x. PMID 10946433.
  12. Flabeau O, Foubert-Samier A, Meissner W, Tison F (August 2008). "Hearing and seeing: Unusual early signs of Wernicke encephalopathy". Neurology. 71 (9): 694. doi:10.1212/01.wnl.0000324599.66359.b1. PMID 18725598.
  13. Jethava A, Dasanu CA (2012). "Acute Wernicke encephalopathy and sensorineural hearing loss complicating bariatric surgery". Connecticut Medicine. 76 (10): 603–5. PMID 23243762.
  14. 14.0 14.1 14.2 Tratado de Neurología, Codina Puiggros, pág. 823 y 824. ed.1994.
  15. Meierkord H, Boon P, Engelsen B, et al. (March 2010). "EFNS guideline on the management of status epilepticus in adults". European Journal of Neurology. 17 (3): 348–55. doi:10.1111/j.1468-1331.2009.02917.x. PMID 20050893.
  16. Kondo, K.; Fujiwara, M.; Murase, M.; Kodera, Y.; Akiyama, S.; Ito, K.; Takagi, H. (1996). "Severe Acute Metabolic Acidosis and Wernicke's Encephalopathy Following Chemotherapy with 5-Fluorouracil and Cisplatin: Case Report and Review of the Literature". Japanese Journal of Clinical Oncology. 26 (4): 234–6. doi:10.1093/oxfordjournals.jjco.a023220. PMID 8765181.
  17. Becker JT, Furman JM, Panisset M, Smith C (1990). "Characteristics of the memory loss of a patient with Wernicke-Korsakoff's syndrome without alcoholism". Neuropsychologia. 28 (2): 171–9. doi:10.1016/0028-3932(90)90099-A. PMID 2314572.
  18. Zhang G, Ding H, Chen H, et al. (January 2013). "Thiamine nutritional status and depressive symptoms are inversely associated among older Chinese adults". Journal of Nutrition. 143 (1): 53–8. doi:10.3945/jn.112.167007. PMC 3521461. PMID 23173173.
  19. Worden RW, Allen HM (2006). "Wernicke's encephalopathy after gastric bypass that masqueraded as acute psychosis: a case report". Current Surgery. 63 (2): 114–6. doi:10.1016/j.cursur.2005.06.004. PMID 16520112.
  20. Jiang W, Gagliardi JP, Raj YP, Silvertooth EJ, Christopher EJ, Krishnan KR (January 2006). "Acute psychotic disorder after gastric bypass surgery: differential diagnosis and treatment". American Journal of Psychiatry. 163 (1): 15–9. doi:10.1176/appi.ajp.163.1.15. PMID 16390883.
  21. Lindberg MC, Oyler RA (April 1990). "Wernicke's encephalopathy". American Family Physician. 41 (4): 1205–9. PMID 2181837.
  22. Mann MW, Degos JD (1987). "L'hypothermie dans l'encéphalopathie de Wernicke" [Hypothermia in Wernicke's encephalopathy]. Revue Neurologique (in français). 143 (10): 684–6. PMID 3423584. INIST:7514445.
  23. Rohkamm, Reinhard (2004). Color Atlas of Neurology. ISBN 978-1-58890-191-0.
  24. Biller José. The Interface of Neurology and Internal Medicine. 2008. Lippincott Williams & Wilkins Ed.
  25. Rohkamm, Reinhard (2004). "Hemodynamic abnormalities". Color Atlas of Neurology. p. 148. ISBN 978-1-58890-191-0. Archived from the original on 2021-09-23. Retrieved 2021-04-17.
  26. Ishiko T, Taguchi T, Takeguchi M, Saito H, Nanri K (September 2009). "Wernicke脳症,亜急性連合性脊髄変性症,衝心脚気をきたしたビタミンB1,B12,葉酸欠乏症の1例" [Case of Wernicke's encephalopathy and subacute combined degeneration of the spinal cord due to vitamin deficiency showing changes in the bilateral corpus striatum and cardiac arrest due to beriberi heart disease]. Brain and Nerve (in 日本語). 61 (9): 1069–73. PMID 19803406. Archived from the original on 2019-12-10. Retrieved 2021-04-17.
  27. Harper C, Fornes P, Duyckaerts C, Lecomte D, Hauw JJ (March 1995). "An international perspective on the prevalence of the Wernicke-Korsakoff syndrome". Metabolic Brain Disease. 10 (1): 17–24. doi:10.1007/BF01991779. PMID 7596325.
  28. 28.0 28.1 28.2 28.3 Ropper A, Brown R. Princ. of Neurology, Adams & Victor. 8º ed. McGraw Hill 2007.
  29. 29.0 29.1 Zarranz, Juan J. (2007). Neurologia. (4a ed. ed.). Madrid, España: Harcourt Brace De Espana Sa. pp. 821 (Spanish.). ISBN 8480862289.
  30. 30.0 30.1 Brown, Allan H. Ropper, Robert H. (2007). Principios de neurología de Adams y Victor (8a ed.). México: McGraw-Hill. pp. 1132 (Spanish.). ISBN 978-9701057070.{{cite book}}: CS1 maint: multiple names: authors list (link)
  31. 31.0 31.1 Vasconcelos, M. M.; Silva, K. P.; Vidal, G.; Silva, A. F.; Domingues, R. C.; Berditchevsky, C. R. (1999). "Early diagnosis of pediatric Wernicke's encephalopathy". Pediatric Neurology. 20 (4): 289–294. doi:10.1016/s0887-8994(98)00153-2. PMID 10328278.
  32. Fattal-Valevski A, Kesler A, Sela BA, et al. (February 2005). "Outbreak of life-threatening thiamine deficiency in infants in Israel caused by a defective soy-based formula". Pediatrics. 115 (2): e233–8. doi:10.1542/peds.2004-1255. PMID 15687431.
  33. 33.0 33.1 Harrison’s Neurology in Clinical Medicine, 2º Edition, ISBN 978-0-07-174123-1
  34. 34.0 34.1 34.2 Mc.Phee & Papadakis. Current Medical Diagnosis & Treatment 2009, Forty-Eighth Edition.Lange.The McGraw-Hill Companies, Inc
  35. 35.0 35.1 Merk Manuals.http://www.merckmanuals.com/professional/nutritional_disorders/vitamin_deficiency_dependency_and_toxicity/thiamin.html?qt=wernicke%20encephalopathy&alt=sh Archived 2013-09-21 at the Wayback Machine
  36. 36.00 36.01 36.02 36.03 36.04 36.05 36.06 36.07 36.08 36.09 36.10 36.11 36.12 36.13 36.14 Sechi G, Serra A (May 2007). "Wernicke's encephalopathy: new clinical settings and recent advances in diagnosis and management". Lancet Neurology. 6 (5): 442–55. doi:10.1016/S1474-4422(07)70104-7. PMID 17434099.
  37. Wernicke Korsakoff’s syndrome. Page 48.http://www.alcohol.gov.au/internet/alcohol/publishing.nsf/Content/2C3FC9166082567DCA257260007F81F8/$File/alcprobguide.pdf Archived 2014-02-14 at the Wayback Machine
  38. Sullivan EV, Fama R (June 2012). "Wernicke's encephalopathy and Korsakoff's syndrome revisited". Neuropsychology Review. 22 (2): 69–71. doi:10.1007/s11065-012-9205-2. PMC 4723427. PMID 22588370.
  39. 39.0 39.1 39.2 Thomson AD, Guerrini I, Marshall EJ (June 2012). "The evolution and treatment of Korsakoff's syndrome: out of sight, out of mind?". Neuropsychology Review. 22 (2): 81–92. doi:10.1007/s11065-012-9196-z. PMC 3545191. PMID 22569770.
  40. Goldman: Cecil Medicine, Chapter 443, 2007, 23rd ed. Saunders, Elsevier.
  41. 41.0 41.1 41.2 41.3 41.4 MedlinePlus Encyclopedia: Wernicke-Korsakoff syndrome
  42. 42.00 42.01 42.02 42.03 42.04 42.05 42.06 42.07 42.08 42.09 42.10 42.11 Galvin R, Bråthen G, Ivashynka A, Hillbom M, Tanasescu R, Leone MA (December 2010). "EFNS guidelines for diagnosis, therapy and prevention of Wernicke encephalopathy". European Journal of Neurology. 17 (12): 1408–18. doi:10.1111/j.1468-1331.2010.03153.x. PMID 20642790.
  43. L Ng Kv; Nguyễn LT (April 2013). "The role of thiamine in HIV infection". International Journal of Infectious Diseases. 17 (4): e221–7. doi:10.1016/j.ijid.2012.11.019. PMID 23274124.
  44. Rosen A, van Kuilenburg A, Assmann B, Kuhlen M, Borkhardt A (May 2011). "Severe encephalopathy, lactic acidosis, vegetative instability and neuropathy with 5-Fluorouracil treatment - pyrimidine degradation defect or beriberi?". Case Reports in Oncology. 4 (2): 371–6. doi:10.1159/000328803. PMC 3177792. PMID 21941485.
  45. Martin PR, Singleton CK, Hiller-Sturmhöfel S (2003). "The role of thiamine deficiency in alcoholic brain disease". Alcohol Research & Health. 27 (2): 134–42. PMC 6668887. PMID 15303623.
  46. Soukoulis V, Dihu JB, Sole M, et al. (October 2009). "Micronutrient deficiencies an unmet need in heart failure". Journal of the American College of Cardiology. 54 (18): 1660–73. doi:10.1016/j.jacc.2009.08.012. PMID 19850206.
  47. Lee JH, Jarreau T, Prasad A, Lavie C, O'Keefe J, Ventura H (2011). "Nutritional assessment in heart failure patients". Congestive Heart Failure. 17 (4): 199–203. doi:10.1111/j.1751-7133.2011.00239.x. PMID 21790970.
  48. Hirsch JA, Parrott J (2012). "New considerations on the neuromodulatory role of thiamine". Pharmacology. 89 (1–2): 111–6. doi:10.1159/000336339. PMID 22398704.
  49. Hazell AS (2009). "Astrocytes are a major target in thiamine deficiency and Wernicke's encephalopathy". Neurochemistry International. 55 (1–3): 129–35. doi:10.1016/j.neuint.2009.02.020. PMID 19428817.
  50. Hazell AS, Todd KG, Butterworth RF (June 1998). "Mechanisms of neuronal cell death in Wernicke's encephalopathy". Metabolic Brain Disease. 13 (2): 97–122. doi:10.1023/A:1020657129593. PMID 9699919.
  51. Haberland, Catherine. Clinical neuropathology : text and color atlas / 2007 by Demos Medical Publishing/ page 200 / ISBN 978-1-888799-97-2
  52. 52.0 52.1 James S. Nelson, Hernando Mena & S. Schochet, Principles and Practice of Neuropathology, page 193, edited University of Hawaii,
  53. 53.0 53.1 53.2 Zuccoli G, Pipitone N (February 2009). "Neuroimaging findings in acute Wernicke's encephalopathy: review of the literature". American Journal of Roentgenology. 192 (2): 501–8. doi:10.2214/AJR.07.3959. PMID 19155417.
  54. Cernicchiaro, Luis. Enfermedad de Wernicke. Monitoring of an acute case for twelve years. http://enfermedad-de-wernicke.weebly.com/ Archived 2013-05-22 at the Wayback Machine
  55. Rabow, edited by Stephen J. McPhee, Maxine A. Papadakis; associate editor, Michael W. (2011-09-12). Current medical diagnosis & treatment 2012 (51st ed.). New York: McGraw-Hill Medical. ISBN 978-0-07-176372-1. {{cite book}}: |first= has generic name (help)CS1 maint: multiple names: authors list (link)
  56. Caine, D; Halliday, G M; Kril, J J; Harper, C G (1 January 1997). "Operational criteria for the classification of chronic alcoholics: identification of Wernicke's encephalopathy". Journal of Neurology, Neurosurgery, and Psychiatry. 62 (1): 51–60. doi:10.1136/jnnp.62.1.51. PMC 486695. PMID 9010400.
  57. Cook CC (2000). "Prevention and treatment of Wernicke-Korsakoff syndrome". Alcohol and Alcoholism. 35 (Supplement 1): 19–20. doi:10.1093/alcalc/35.Supplement_1.19. PMID 11304070. Archived from the original on 2021-09-23. Retrieved 2021-04-17.
  58. 58.0 58.1 EAST KENT HOSPITALS NHS. TRUST PROTOCOL For: The management of the alcohol withdrawal syndrome and Wernicke encephalopathy.
  59. Hegde, AN; Mohan, S; Lath, N; Lim, CC (2011). "Differential diagnosis for bilateral abnormalities of the basal ganglia and thalamus". Radiographics. 31 (1): 5–30. doi:10.1148/rg.311105041. PMID 21257930. Archived from the original on 2021-09-23. Retrieved 2021-04-17.
  60. Guy´s and St. Thomas Hospitals http://www.guysandstthomas.nhs.uk/resources/our-services/acute-medicine-gi-surgery/elderly-care/alcohol-withdrawal-syndrome.pdf Archived 2015-07-09 at the Wayback Machine Doncaster and Bassetlaw Hospitals http://www.alcohollearningcentre.org.uk/_library/17__Doncaster_Guidelines_For_The_Management_Of_Patients_with_Alcohol_Misuse_In_The_Acute_General_Hospital_Setting.pdf Archived 2013-09-21 at the Wayback Machine
  61. Goldman: Cecil Medicine, chapter 443, 23rd ed. 2007. Saunders, Elsevier.
  62. Thomson, Cook et al. 2008
  63. Iwamoto Y, Okuda B, Miyata Y, Tachibana H, Sugita M (June 1994). "[Beneficial effect of steroid pulse therapy on Wernicke-Korsakoff syndrome due to hyperemesis gravidarum]". Rinsho Shinkeigaku. 34 (6): 599–601. PMID 7955722.
  64. Warot P, Lesage R, Dupuys P (Feb 1962). "[Corticotherapy of the severe forms of the Gayet-Wernicke encephalopathy]". Lille Medical. 7: 123–4. PMID 14005025.{{cite journal}}: CS1 maint: multiple names: authors list (link)
  65. Zarranz, Juan J. (2007). Neurologia (4a ed.). Madrid, España: Harcourt Brace De Espana Sa. pp. 821 (Spanish.). ISBN 978-8480862288.
  66. Harrison, Medicina Interna, pág. 2462 ed.2002
  67. Kelley, Medicina Interna, pág. 621, 974 ed.1990
  68. 68.0 68.1 Thomson AD, Cook CC, Touquet R, Henry JA (2002). "The Royal College of Physicians report on alcohol: guidelines for managing Wernicke's encephalopathy in the accident and Emergency Department". Alcohol and Alcoholism. 37 (6): 513–21. doi:10.1093/alcalc/37.6.513. PMID 12414541.
  69. Lourenço R, Camilo ME (2002). "Taurine: a conditionally essential amino acid in humans? An overview in health and disease" (PDF). Nutrición Hospitalaria. 17 (6): 262–70. PMID 12514918. Archived (PDF) from the original on 2021-03-09. Retrieved 2021-04-17.
  70. Iwamoto Y, Okuda B, Miyata Y, Tachibana H, Sugita M (June 1994). "[Beneficial effect of steroid pulse therapy on Wernicke-Korsakoff syndrome due to hyperemesis gravidarum]". Rinsho Shinkeigaku (in 日本語). 34 (6): 599–601. PMID 7955722.
  71. Kohnke, Sara; Meek, Claire L. (January 2021). "Don't seek, don't find: The diagnostic challenge of Wernicke's encephalopathy". Annals of Clinical Biochemistry. 58 (1): 38–46. doi:10.1177/0004563220939604. ISSN 1758-1001.
  72. Torvik A, Lindboe CF, Rodge S. Brain lesions in alcoholics. A neuropathological study with clinical correlations. J Neurol Sci 1982; 56: 233-48.
  73. Harper, C (March 1979). "Wernicke's encephalopathy: a more common disease than realised. A neuropathological study of 51 cases". Journal of Neurology, Neurosurgery, and Psychiatry. 42 (3): 226–31. doi:10.1136/jnnp.42.3.226. PMC 490724. PMID 438830.
  74. Torviket al., 1982; Blansjaar and Van Dijk, 1992
  75. Lana-Peixoto MA, Dos Santos EC, Pittella JE (September 1992). "Coma and death in unrecognized Wernicke's encephalopathy. An autopsy study". Arquivos de Neuro-Psiquiatria. 50 (3): 329–33. doi:10.1590/S0004-282X1992000300012. PMID 1308411.
  76. 76.0 76.1 Xin, Y.; Wan, D. H.; Chu, Q.; Li, A. M.; Gao, X. J. (2011). "Severe sepsis as an initial presentation in children with Wernicke' s encephalopathy: Report of a case and literature review". Zhonghua Er Ke Za Zhi. 49 (8): 612–616. PMID 22093426.
  77. Passemard, S.; Kaindl, A. M.; Verloes, A. (2013). "Microcephaly". Pediatric Neurology Part I. Handbook of Clinical Neurology. Vol. 111. pp. 129–141. doi:10.1016/B978-0-444-52891-9.00013-0. ISBN 9780444528919. PMID 23622158.

External links

Classification