Vesicoureteral reflux
| Vesicoureteral reflux | |
|---|---|
| Other names: Vesicoureteric reflux | |
![]() | |
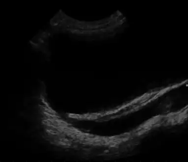
| Ultrasound image showing abnormal vesicoureteral junction and dilated distal ureter resulting in primary vesicoureteral reflux. | |
| Specialty | Urology |
| Symptoms | None, urinary tract infections[1] |
| Complications | Kidney problems, bedwetting[1] |
| Types | Grade 1 to 5[1] |
| Causes | Abnormal urethral valve, bladder outlet obstruction, neurogenic bladder[1] |
| Risk factors | Family history[1] |
| Diagnostic method | Ultrasound, voiding cystourethrogram[1] |
| Treatment | Close follow-up, antibiotics, surgery[1][2] |
| Frequency | 1% of people[2] |
Vesicoureteral reflux (VUR) is a condition in which urine flows backwards from the bladder to one or both ureters and sometimes to the kidneys.[1] While no symptoms may occur, it may result in urinary tract infections (UTI).[1] Complications may include kidney problems and it may be associated with bedwetting.[1]
Risk factors include a family history.[1] The underlying mechanism often involves the valve between the ureter and bladder not closing properly.[1] Other causes may include bladder outlet obstruction or a neurogenic bladder.[1] Diagnosis may involved an ultrasound or voiding cystourethrogram.[1]
As the condition may resolve as a child grows, close follow-up and rapid treatment of UTIs maybe recommended.[1][2] Long-term antibiotics may also be used to prevent infection.[2] Surgery or injections of bulking agents may be used in severe disease or for certain causes.[1][2]
VUR is estimated to affect about 1% of people.[2] It is more common in children who have a UTI and fever, affecting about a third of this group.[1] Young children are most commonly affected.[1] Girls are more commonly affected than boys.[1] The condition has been described since the 1st century.[3] Successful surgical repair was first carried out in 1952.[4]
Signs and symptoms
Most children with vesicoureteral reflux are asymptomatic. Vesicoureteral reflux may be diagnosed as a result of further evaluation of dilation of the kidney or ureters draining urine from the kidney while in utero as well as when a sibling has VUR (though routine testing in either circumstance is controversial). Reflux also increases risk of acute bladder and kidney infections, so testing for reflux may be performed after a child has one or more infections.
In infants, the signs and symptoms of a urinary tract infection may include only fever and lethargy, with poor appetite and sometimes foul-smelling urine, while older children typically present with discomfort or pain with urination and frequent urination.
Causes
In healthy individuals the ureters enter the urinary bladder obliquely and run submucosally for some distance. This, in addition to the ureter's muscular attachments, helps secure and support them posteriorly. Together these features produce a valvelike effect that occludes the ureteric opening during storage and voiding of urine. In people with VUR, failure of this mechanism occurs, with resultant backward (retrograde) flow of urine.
Primary
Insufficient submucosal length of the ureter relative to its diameter causes inadequacy of the valvular mechanism. This is precipitated by a congenital defect or lack of longitudinal muscle of the portion of the ureter within the bladder resulting in an ureterovesicular junction (UVJ) abnormality.
Secondary
In this category the ureters' valvular mechanism is initially intact and healthy but becomes overwhelmed by increased bladder pressures associated with obstruction, which distorts the ureterovesicular junction. The obstructions may be anatomical or functional. Secondary VUR can be further divided into anatomical and functional groups.
Anatomical
Posterior urethral valves; urethral or meatal stenosis. These causes are treated surgically when possible.
Functional
Bladder instability, neurogenic bladder and non-neurogenic bladder. Bladder infections may cause reflux due to the elevated pressures associated with inflammation.[5]
Resolution of functional VUR will usually occur if the precipitating cause is treated and resolved. Medical and/or surgical treatment may be indicated.
Diagnosis

The following procedures may be used to diagnose VUR:
- Cystography
- Fluoroscopic voiding cystourethrogram (VCUG)
- Abdominal ultrasound
- Technetium-99m Dimercaptosuccunic Acid (DMSA) Scintigraphy
An abdominal ultrasound might suggest the presence of VUR if ureteral dilatation is present; however, in many circumstances of VUR of low to moderate, even high severity, the sonogram may be completely normal, thus providing insufficient utility as a single diagnostic test in the evaluation of children suspected of having VUR, such as those presenting with prenatal hydronephrosis or urinary tract infection (UTI).[6]
VCUG is the method of choice for grading and initial workup, while RNC is preferred for subsequent evaluations as there is less exposure to radiation. A high index of suspicion should be attached to any case where a child presents with a urinary tract infection, and anatomical causes should be excluded. A VCUG and abdominal ultrasound should be performed in these cases
DMSA scintigraphy is used for the evaluation of the paranchymal damage, which is seen as cortical scars. After the first febrile UTI, the diagnostic role of an initial scintigraphy for detecting the damage before the VCUG was investigated and it was suggested that VCUG can be omitted in children who has no cortical scars and urinary tract dilatation.[7][8]
Early diagnosis in children is crucial as studies have shown that the children with VUR who present with a UTI and associated acute pyelonephritis are more likely to develop permanent renal cortical scarring than those children without VUR, with an odds ratio of 2.8.[9] Thus VUR not only increases the frequency of UTI's, but also the risk of damage to upper urinary structures and end-stage renal disease.[10]
Severity
- Grade I – reflux into non-dilated ureter
- Grade II – reflux into the renal pelvis and calyces without dilatation
- Grade III – mild/moderate dilatation of the ureter, renal pelvis and calyces with minimal blunting of the fornices
- Grade IV – dilation of the renal pelvis and calyces with moderate ureteral tortuosity
- Grade V – gross dilatation of the ureter, pelvis and calyces; ureteral tortuosity; loss of papillary impressions
The younger the patient and the lower the grade at presentation the higher the chance of spontaneous resolution. Approximately 85% of grade I & II VUR cases will resolve spontaneously. Approximately 50% of grade III cases and a lower percentage of higher grades will also resolve spontaneously.
Treatment
The goal of treatment is to minimize infections, as it is infections that cause renal scarring and not the vesicoureteral reflux.[11] Minimizing infections is primarily done by prophylactic antibiotics in newborns and infants who are not potty trained. However, in children who are older, physicians and parents should focus on bowel and bladder management. Children who hold their bladder or who are constipated have a greater number of infections than children who void on a regular schedule. When medical management fails to prevent recurrent urinary tract infections, or if the kidneys show progressive renal scarring then surgical interventions may be necessary. Medical management is recommended in children with Grade I-III VUR as most cases will resolve spontaneously. A trial of medical treatment is indicated in patients with Grade IV VUR especially in younger patients or those with unilateral disease. Of the patients with Grade V VUR only infants are trialled on a medical approach before surgery is indicated, in older patients surgery is the only option.
Medical treatment
Medical treatment entails low dose antibiotic prophylaxis until resolution of VUR occurs. Antibiotics are administered nightly at half the normal therapeutic dose. The specific antibiotics used differ with the age of the patient and include:
- Amoxicillin or ampicillin – infants younger than 6 weeks
- Trimethoprim-sulfamethoxazole (co-trimoxazole) – 6 weeks to 2 months
After 2 months the following antibiotics are suitable:
- Nitrofurantoin {5–7 mg/kg/24hrs}
- Nalidixic acid
- Bactrim
- Trimethoprim
- Cephalosporins
Urine cultures are performed 3 monthly to exclude breakthrough infection. Annual radiological investigations are likewise indicated. Good perineal hygiene, and timed and double voiding are also important aspects of medical treatment. Bladder dysfunction is treated with the administration of anticholinergics.
Endoscopic injection
Endoscopic injection involves applying a gel around the ureteral opening to create a valve function and stop urine from flowing back up the ureter. The gel consists of two types of sugar-based molecules called dextranomer and hyaluronic acid.
Surgery
A surgical approach is necessary in cases where a breakthrough infection results despite prophylaxis, or there is non-compliance with the prophylaxis. Similarly if the VUR is severe (Grade IV & V), there are pyelonephritic changes or congenital abnormalities. Other reasons necessitating surgical intervention are failure of renal growth, formation of new scars, renal deterioration and VUR in girls approaching puberty.
There are four types of surgical procedure available for the treatment of VUR: endoscopic (STING/HIT procedures); laparoscopic; robotic-assisted laparoscopic; and open procedures (Cohen procedure, Leadbetter-Politano procedure, Lich-Gregoir technique). Laparoscopic and robotic-assisted laparoscopic procedures are often imitation of classical open procedures in laparoscopic or robotic-assisted laparoscopic environments.[12]
Surveillance
The American Urological Association recommends ongoing monitoring of children with VUR until the abnormality resolves or is no longer significant. The recommendations are for yearly evaluation of blood pressure, height, weight, analysis of the urine, and kidney ultrasound.[9]
Epidemiology
It has been estimated that VUR is present in 1% of the population.[2] Younger children are more prone to VUR because of the relative shortness of the submucosal ureters. This susceptibility decreases with age as the length of the ureters increases as the children grow. In children under the age of 1 year with a urinary tract infection, 70% will have VUR. This number decreases to 15% by the age of 12. Although VUR is more common in males antenatally, in later life there is a definite female preponderance with 85% of cases being female.
History
As early as the time of Graeco-Roman physician and anatomist Galen described the urinary tract and noted that there were specific mechanisms to prevent the reflux of urine.[13]
References
- ↑ 1.00 1.01 1.02 1.03 1.04 1.05 1.06 1.07 1.08 1.09 1.10 1.11 1.12 1.13 1.14 1.15 1.16 1.17 1.18 "Vesicoureteral Reflux (VUR) | NIDDK". National Institute of Diabetes and Digestive and Kidney Diseases. Archived from the original on 16 January 2021. Retrieved 24 January 2021.
- ↑ 2.0 2.1 2.2 2.3 2.4 2.5 2.6 Miyakita, Hideshi; Hayashi, Yutaro; Mitsui, Takahiko; Okawada, Manabu; Kinoshita, Yoshiaki; Kimata, Takahisa; Koikawa, Yasuhiro; Sakai, Kiyohide; Satoh, Hiroyuki; Tokunaga, Masatoshi; Naitoh, Yasuyuki (2020-04-01). "Guidelines for the medical management of pediatric vesicoureteral reflux". International Journal of Urology. doi:10.1111/iju.14223. ISSN 1442-2042. PMID 32239562.
- ↑ Geavlete, Petrisor Aurelian (2016). Endoscopic Diagnosis and Treatment in Urinary Bladder Pathology: Handbook of Endourology. Academic Press. p. 307. ISBN 978-0-12-803862-8. Archived from the original on 2021-08-27. Retrieved 2021-01-24.
- ↑ The Kelalis-King-Belman Textbook of Clinical Pediatric Urology. CRC Press. 2006. p. 673. ISBN 978-1-4665-9754-9. Archived from the original on 2021-08-27. Retrieved 2021-01-24.
- ↑ Institute of Urology & Nephrology, London, UK, The cellular basis of bladder instability Archived 2012-03-05 at the Wayback Machine UJUS 2009, Retrieved 4-20-2010
- ↑ Wongbencharat, Kunruedi; Tongpenyai, Yothi; Na-rungsri, Kunyalak (2016-03-01). "Renal ultrasound and DMSA screening for high-grade vesicoureteral reflux". Pediatrics International. 58 (3): 214–218. doi:10.1111/ped.12803. ISSN 1442-200X. PMID 26275163.
- ↑ Zhang, Xin; Xu, Hong; Zhou, Lijun; Cao, Qi; Shen, Qian; Sun, Li; Fang, Xiaoyan; Guo, Wei; Zhai, Yihui (2014-01-01). "Accuracy of Early DMSA Scan for VUR in Young Children With Febrile UTI". Pediatrics. 133 (1): e30 – e38. doi:10.1542/peds.2012-2650. ISSN 0031-4005. PMID 24366989. Archived from the original on 2018-10-07. Retrieved 2017-01-29.
- ↑ Sheu, Ji-Nan; Wu, Kang-Hsi; Chen, Shan-Ming; Tsai, Jeng-Dau; Chao, Yu-Hua; Lue, Ko-Huang (2013). "Acute 99mTc DMSA Scan Predicts Dilating Vesicoureteral Reflux in Young Children With a First Febrile Urinary Tract Infection". Clinical Nuclear Medicine. 38 (3): 163–168. doi:10.1097/rlu.0b013e318279f112. PMID 23354031.
- ↑ 9.0 9.1 Peters CA, Skoog SJ, Arant BS, Copp HL, Elder JS, Hudson RG, Khoury AE, Lorenzo AJ, Pohl HG, Shapiro E, Snodgrass WT, Diaz M (September 2010). "Summary of the AUA Guideline on Management of Primary Vesicoureteral Reflux in Children". The Journal of Urology. 184 (3): 1134–44. doi:10.1016/j.juro.2010.05.065. PMID 20650499.
- ↑ Brakeman, Paul (2008-07-21). "Vesicoureteral Reflux, Reflux Nephropathy, and End-Stage Renal Disease". Advances in Urology. 2008: 508949. doi:10.1155/2008/508949. ISSN 1687-6369. PMC 2478704. PMID 18670633.
{{cite journal}}: CS1 maint: unflagged free DOI (link) - ↑ Tekgül, S; Riedmiller, H; Hoebeke, P; Kočvara, R; Nijman, RJ; Radmayr, C; Stein, R; Dogan, HS; European Association of, Urology (September 2012). "EAU guidelines on vesicoureteral reflux in children". European Urology. 62 (3): 534–42. doi:10.1016/j.eururo.2012.05.059. PMID 22698573.
- ↑ Akhavan, Ardavan; Avery, Daniel; Lendvay, Thomas S. (2014). "Robot-assisted extravesical ureteral reimplantation: Outcomes and conclusions from 78 ureters". Journal of Pediatric Urology. 10 (5): 864–868. doi:10.1016/j.jpurol.2014.01.028. PMID 24642080.
- ↑ Nahon, I; Waddington, G; Dorey, G; Adams, R (2011). "The history of urologic surgery: from reeds to robotics". Urologic nursing. 31 (3): 173–80. PMID 21805756.
External links
| Classification | |
|---|---|
| External resources |
