Twiddler's syndrome
| Twiddler's syndrome | |
|---|---|
![]() | |
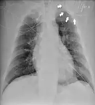
| Chest radiograph showing twiddler's syndrome. The leads of the automated external defibrillator are wrapped around the device and can't be seen in the ventricle. | |
| Specialty | Cardiology |
Twiddler's syndrome is a malfunction of a pacemaker due to manipulation of the device and the consequent dislodging of the leads from their intended location. As the leads move, they stop pacing the heart and can cause strange symptoms such as phrenic nerve stimulation resulting in abdominal pulsing or brachial plexus stimulation resulting in rhythmic arm twitching.[1] Twiddler's syndrome in patients with an implanted defibrilator may lead to inadequate, painful defibrillation-shocks.[2]
Signs and symptoms
Twiddler's syndrome presents with a range of symptoms, contingent on the extent of entanglement, the electrode's subsequent retraction, and the final location of the dislodged lead.[3] Leads that become more dislodged up can activate the ipsilateral phrenic nerves, which can result in hiccups, involuntary breathing spasms, or diaphragmatic contractions.[1][4] The brachial plexus is stimulated by additional coiling and withdrawal of the lead, which causes regular arm twitches.[5]
Causes
Patient "twiddling," or manipulation, of the pulse generator within its skin pocket results in the device's painless dislodgment; lead dislodgement follows, eventually leading to pacemaker malfunction.[1] There have also been reports of variations of this phenomenon resulting in the failure of implanted cardioverter-defibrillators and cardiac resynchronization therapy, which can be fatal.[6]
Risk factors
The condition's risk factors include being a woman, being obese, belonging to an older age group, having cognitive impairments, and having an implanted device that is smaller than its pocket.[7][4][8] A related increase in subcutaneous tissue laxity, especially in older patients, makes it easier for the device to become dislodged.[6][7] Furthermore, the newer devices' smaller sizes make it easy for them to rotate inside the skin pocket.[3]
Diagnosis
Given its speed and ability to provide a clear image of the lead coiling and device rotation, the chest X-ray is the most straightforward and important diagnostic tool for Twiddler's syndrome.[3]
Treatment
Repositioning the pulse generator, implanting a new lead, and uncoiling the lead are among the treatments for diagnosed cases.[4][8][5]
References
- 1 2 3 Bayliss C, Beanlands D.S., et al. (August 1968). "The pacemaker-twiddler's syndrome: a new complication of implantable transvenous pacemakers". Canadian Medical Association Journal. 99 (8): 371–373. PMC 1924435. PMID 4952398.
- ↑ Asbach, Stefan; Brunner, Michael; Zehender, Manfred; Bode, Christoph; Faber, Thomas S. (December 2005). "Multiple inappropriate defibrillator discharges due to Twiddler's syndrome". Wiener klinische Wochenschrift. 117 (23–24): 801. doi:10.1007/s00508-005-0480-2. ISSN 0043-5325. PMID 16437315. S2CID 21854403.
- 1 2 3 Salahuddin, Mohammad; Cader, Fathima Aaysha; Nasrin, Sahela; Chowdhury, Mashhud Zia (January 20, 2016). "The pacemaker-twiddler's syndrome: an infrequent cause of pacemaker failure". BMC Research Notes. 9 (1). Springer Science and Business Media LLC: 32. doi:10.1186/s13104-015-1818-0. ISSN 1756-0500. PMC 4721019. PMID 26790626.
- 1 2 3 Pande, Arindam; Kahali, Dhiman; Mandal, Saroj (2012). "A rare case of very early pacemaker Twiddler′s syndrome". Heart Views. 13 (3). Medknow: 114–115. doi:10.4103/1995-705x.102157. ISSN 1995-705X. PMC 3503355. PMID 23181182.
- 1 2 Nicholson, William J.; Tuohy, Kathryn A.; Tilkemeier, Peter (April 24, 2003). "Twiddler's Syndrome". New England Journal of Medicine. 348 (17). Massachusetts Medical Society: 1726–1727. doi:10.1056/nejm200304243481722. ISSN 0028-4793. PMID 12711756.
- 1 2 Sharifi, Mohsen; Inbar, Shmuel; Neckels, Brenda; Shook, Heather (March 2005). "Twiddling to the extreme: development of twiddler syndrome in an implanted cardioverter-defibrilllator". The Journal of Invasive Cardiology. 17 (3): 195–196. PMID 15867459.
- 1 2 Fahraeus, T (2003). "Early pacemaker twiddler syndrome". Europace. 5 (3). Oxford University Press (OUP): 279–281. doi:10.1016/s1099-5129(03)00032-1. ISSN 1099-5129. PMID 12842644.
- 1 2 Castillo, Ricardo; Cavusoglu, Erdal (2006). "Twiddler's Syndrome: An Interesting Cause of Pacemaker Failure". Cardiology. 105 (2). S. Karger AG: 119–121. doi:10.1159/000090213. ISSN 0008-6312. PMID 16357482. S2CID 30025246.
Further reading
- Furman, Seymour (1995). "Defibrillator Twiddler's syndrome". The Annals of Thoracic Surgery. 59 (2). Elsevier BV: 544–545. doi:10.1016/s0003-4975(95)81037-4. ISSN 0003-4975. PMID 7847991.
- Dursun, Ihsan; Yesildag, Osman; Soylu, Korhan; Yilmaz, Ozcan; Yasar, Erdogan; Meric, Murat (August 16, 2006). "Late pacemaker twiddler syndrome". Clinical Research in Cardiology. 95 (10). Springer Science and Business Media LLC: 547–549. doi:10.1007/s00392-006-0417-4. ISSN 1861-0684. PMID 16897147. S2CID 12847752.
