Triple-A syndrome

Triple A syndrome
Other names: Achalasia–addisonianism–alacrima syndrome or Allgrove syndrome[1]
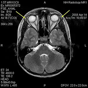
MRI of the brain of 12-year-old boy with triple-A syndrome showing hypoplastic lacrimal glands (yellow arrows.)

Triple-A syndrome or AAA syndrome, is a rare autosomal recessive congenital disorder. In most cases, there is no family history of it.[2] The syndrome was first identified by Jeremy Allgrove and colleagues in 1978, since then just over 100 cases have been reported.[3] The syndrome involves achalasia, addisonianism (adrenal insufficiency of primary type), and alacrima (insufficiency of tears). Alacrima is usually the earliest manifestation.[4] It is a progressive disorder that can take years to develop the full-blown clinical picture.[5]

Signs and symptoms

Oral exam shows severe caries.

Individuals affected by AAA have adrenal insufficiency/Addison's disease due to ACTH resistance, alacrima (absence of tear secretion), and achalasia (a failure of a ring of muscle fibers, such as a sphincter, to relax) of the lower esophageal sphincter at the cardia which delays food going to the stomach and causes dilation of the thoracic esophagus. There may also be signs of autonomic dysfunction with AAA, such as pupillary abnormalities, an abnormal reaction to intradermal histamine, abnormal sweating, orthostatic hypotension, and disturbances of the heart rate.[6] Hypoglycemia (low blood sugar) is often mentioned as an early sign.[5] The disorder has also been associated with mild mental retardation.[5]The syndrome is highly variable. Managed effectively, affected individuals can have a normal lifespan and bear children.

Cause

Triple-A syndrome is associated with mutations in the AAAS gene, which encodes a protein known as ALADIN (ALacrima Achalasia aDrenal Insufficiency Neurologic disorder).[7][8][9] In 2000, Huebner et al. mapped the syndrome to a 6 cM interval on human chromosome 12q13 near the type II keratin gene cluster.[10] Since inheritance and gene for the association is known, early diagnosis can allow genetic counseling.[4]

ALADIN protein is a component of the nuclear pore complex, situated toward its cytoplasmic side. Mutant ALADIN remains mislocalized in the cytoplasm[11] and causes selective failure of nuclear protein import and hypersensitivity to oxidative stress.[12] Mutant ALADIN also causes decreased nuclear import of aprataxin, a repair protein for DNA single-strand breaks, and DNA ligase I.[12] These decreases in DNA repair proteins may allow accumulation of DNA damages that trigger cell death.

Nucleoporin ALADIN participates in spindle assembly. ALADIN is employed in specific meiotic stages, including spindle assembly, and spindle positioning.[13] Female mice homozygously null for ALADIN are sterile.[13]

Diagnosis

Following features of achalasia cardia are seen. On plain x-ray an absence of fundal gas shadow, widened mediastinum and an air fluid level in mediastinum is also seen. The gold standard investigation is a 24 hours manometry of oesophagus. It shows non-relaxation of lower oesophageal sphincter, increased tone of oesophageal sphincter, atonic oesophagus. Bird-beak sign and rat-tail sign can be appreciated on barium swallow.[14][15][16]

Treatment

There is no definitive cure for this syndrome, because many of the mechanisms implicated have not yet been identified. The only possible treatments address only some of the symptoms. Artificial tear drops are used to remedy the absence of tear secretion, achalasia, if needed, can be treated with surgical intervention and corticosteroids, such as hydrocortisone, are prescribed to solve the adrenal insufficiency.[17]

See also

References

  1. Online Mendelian Inheritance in Man (OMIM): 231550
  2. Dusek, Tina; Korsic, Marta; Koehler, Katrin; Perkovic, Zdravko; Huebner, Angela; Korsic, Mirko (2006). "A Novel AAAS Gene Mutation (p.R194X) in a Patient with Triple A Syndrome". Hormone Research. 65 (4): 171–176. doi:10.1159/000092003. PMID 16543750. S2CID 36128858.
  3. M, Gazarian; Ct, Cowell; M, Bonney; Wg, Grigor (January 1995). "The "4A" Syndrome: Adrenocortical Insufficiency Associated With Achalasia, Alacrima, Autonomic and Other Neurological Abnormalities". European Journal of Pediatrics. 154 (1): 18–23. doi:10.1007/BF01972967. PMID 7895750. S2CID 8904441.
  4. 4.0 4.1 Bharadia, Lalit; Kalla, Mukesh; Sharma, S K; Charan, Rohit; Gupta, J B; Khan, Firoz (2005). "Triple A Syndrome". Indian Journal of Gastroenterology. 24 (5): 217–8. PMID 16361769.
  5. 5.0 5.1 5.2 Prpic, I.; Huebner, A.; Persic, M.; Handschugg, K.; Pavletic, M. (2003). "Triple A syndrome: genotype-phenotype assessment". Clinical Genetics. 63 (5): 414–417. doi:10.1034/j.1399-0004.2003.00070.x. PMID 12752575. S2CID 19250948.
  6. Brooks, B.P.; Kleta, R.; Stuart, C.; Tuchman, M.; Jeong, A.; Stergiopoulos, S.G.; Bei, T.; Bjornson, B.; Russell, L.; Chanoine, J-P.; Tsagarakis, S.; Kalsner, LR.; Stratakis, CA. (2005). "Genotype heterogeneity and clinical phenotype in triple A syndrome". Clinical Genetics. 68 (3): 215–221. doi:10.1111/j.1399-0004.2005.00482.x. PMID 16098009. S2CID 20404052.
  7. Huebner, Angela; Kaindl, A.M.; Knobeloch, K.P.; Petzold, H.; Mann, P.; Koehler, K. (2004). "The Triple A Syndrome Is Due to Mutations in Aladin, a Novel Member of the Nuclear Pore Complex". Endocrine Research. 30 (4): 891–899. doi:10.1081/ERC-200044138. PMID 15666842. S2CID 31047487.
  8. Salmaggi A, Zirilli L, Pantaleoni C, et al. (2008). "Late-onset triple A syndrome: a risk of overlooked or delayed diagnosis and management". Horm. Res. 70 (6): 364–372. doi:10.1159/000161867. PMID 18953174. S2CID 8097415. Archived from the original on 2019-05-18. Retrieved 2022-01-08.
  9. "Triple A Syndrome". Genetics Home Reference. February 2010. Archived from the original on 18 September 2020. Retrieved 10 May 2020.
  10. Huebner A, Yoon SJ, Ozkinay F, et al. (Nov 2000). "Triple A syndrome--clinical aspects and molecular genetics". Endocr. Res. 26 (4): 751–759. doi:10.3109/07435800009048596. PMID 11196451. S2CID 42579320.
  11. M, Krumbholz; K, Koehler; A, Huebner (April 2006). "Cellular Localization of 17 Natural Mutant Variants of ALADIN Protein in Triple A Syndrome - Shedding Light on an Unexpected Splice Mutation". Biochemistry and Cell Biology. 84 (2): 243–9. doi:10.1139/o05-198. PMID 16609705.
  12. 12.0 12.1 Hirano M, Furiya Y, Asai H, Yasui A, Ueno S (February 2006). "ALADINI482S causes selective failure of nuclear protein import and hypersensitivity to oxidative stress in triple A syndrome". Proc. Natl. Acad. Sci. U.S.A. 103 (7): 2298–303. Bibcode:2006PNAS..103.2298H. doi:10.1073/pnas.0505598103. PMC 1413683. PMID 16467144.
  13. 13.0 13.1 Carvalhal S, Stevense M, Koehler K, Naumann R, Huebner A, Jessberger R, Griffis ER (September 2017). "ALADIN is required for the production of fertile mouse oocytes". Mol. Biol. Cell. 28 (19): 2470–2478. doi:10.1091/mbc.E16-03-0158. PMC 5597320. PMID 28768824.
  14. Wallace, I. R.; Hunter, S. J. (1 August 2012). "AAA syndrome--adrenal insufficiency, alacrima and achalasia". QJM. 105 (8): 803–804. doi:10.1093/qjmed/hcr145. PMID 21865313.
  15. Gaiani, Federica; Gismondi, Pierpacifico; Minelli, Roberta; Casadio, Giovanni; de’Angelis, Nicola; Fornaroli, Fabiola; de’Angelis, Gian Luigi; Manfredi, Marco (29 May 2020). "Case report of a familial triple: a syndrome and review of the literature". Medicine. 99 (22): e20474. doi:10.1097/MD.0000000000020474. PMID 32481456.
  16. Yadav, Prakarti; Kumar, Deepak; Bohra, Gopal K; Garg, Mahendra K (2020). "Triple A syndrome (Allgrove syndrome) – A journey from clinical symptoms to a syndrome". Journal of Family Medicine and Primary Care. 9 (5): 2531–2534. doi:10.4103/jfmpc.jfmpc_237_20. PMC 7380807. PMID 32754538.
  17. Nicolino, Marc (April 2013). "Triple A syndrome". Orphanet. Archived from the original on 13 June 2021. Retrieved 31 August 2020.

External links

Classification
External resources