Strumal carcinoid
| Strumal carcinoid | |
|---|---|
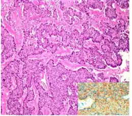
![]() | |
| Micrograph of a strumal carcinoid. H&E stain. | |
The strumal carcinoid is a type of monodermal teratoma with histomorphologic features of (1) the thyroid gland and (2) a neuroendocrine tumour (carcinoid).[1][2]

See also
References
- ↑ Gorin I, Sastre-Garau X (June 2008). "Strumal carcinoid tumor of the ovary". Journal of Clinical Oncology. 26 (16): 2780–2781. doi:10.1200/JCO.2008.16.1620. PMID 18509188.
- ↑ Tamsen A, Mazur MT (February 1992). "Ovarian strumal carcinoid in association with multiple endocrine neoplasia, type IIA". Archives of Pathology & Laboratory Medicine. 116 (2): 200–203. PMID 1346363.
External links
| Classification |
|
|---|---|
| External resources |
Template:Oncology-stub
