Seymour fracture
| Seymour fracture | |
|---|---|
![]() | |
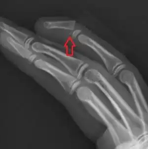
| Seymour fracture of the 4th finger distal phalanx | |
| Specialty | Plastic surgery |
A Seymour fracture is a type of distal phalanx fracture and mallet finger that may occur in children.[1] It is associated with a nail bed injury.[1] Complications may include the stopping of finger type growth and deformity of the nail.[2]
It is a type of fracture through the growth plate, specifically a Salter-Harris type I or II pattern.[1]
References
- ↑ 1.0 1.1 1.2 S, A. "Seymour fracture | Radiology Reference Article | Radiopaedia.org". Radiopaedia. Archived from the original on 27 September 2023. Retrieved 24 February 2024.
- ↑ "Distal Phalanx Fracture". fpnotebook.com. Archived from the original on 5 February 2023. Retrieved 24 February 2024.
