Ross procedure
| Ross procedure | |
|---|---|
| Other names: Pulmonary autograft, switch procedure, double-switch Ross procedure | |
![]() | |
| Ross Procedure | |
| Specialty | Cardiac surgery |
| Types | Subcoronary method, root replacement technique[1] |
Ross procedure, also known as pulmonary autograft, is a type of aortic valve replacement to treat severe aortic valve disease, usually in children and young adults with a bicuspid aortic valve.[2] It involves removing the diseased aortic valve, situated at the exit of the left side of the heart (where the aorta begins), and replacing it with the person's own healthy pulmonary valve (autograft), removed from the exit of the heart's right side (where the pulmonary artery begins).[4] To reconstruct the right sided exit, a pulmonary valve from a cadaver (homograft), or a stentless xenograft, is used to replace the removed pulmonary valve.[2][lower-alpha 1] Compared to a mechanical valve replacement, it avoids the requirement for thinning the blood, has favourable blood flow dynamics, allows growth of the valve with growth of the child and has less risk of endocarditis.[2]
The procedure is not performed in Marfan syndrome, if the pulmonary valve is diseased, or if there are immune problems like lupus.[3] Other contraindications include severe coronary artery disease and severe mitral valve disease.[3] Due to a higher chance of dysfunction of the autograft, it may not always be safe to perform in rheumatic valve disease, or if there is an abnormal dilated aortic root.[6] Complications include endocarditis, degeneration of the valves, aortic dissection, hemorrhage and venous thromboembolism, among others.[2][1] It risks having a disease of two valves instead of one.[7]
The procedure requires technical expertise.[4] It can be performed using the traditional subcoronary method or more commonly the root replacement technique, which requires re-implanting the coronary arteries.[8][9]
After the operation, good blood pressure control prevents early dilatation of the new aortic root and allows the pulmonary autograft, now in the aortic position, to settle in its new environment.[10] It may need further surgery at a later date.[7] Complications occur in 3% to 5% of cases, with early death rate almost negligible in very experienced centres.[3] 80% to 90% of cases survive 10 years.[3] As of 2014, the Ross procedure comprises less than 1% of all aortic valve replacements in North America.[2]
The procedure was first performed by Donald Ross in 1967, using the subcoronary method.[8][11] The root replacement method was introduced in the early 1970s.[8] It was continued and modified by others including Magdi Yacoub, who used fresh valves from hearts taken from transplant recipients.[11] Data relating to the procedure is held in the Ross registry.[12]
Medical uses
.svg.png)
Several adaptations of the Ross procedure have evolved, but the principle is essentially the same; to replace a diseased aortic valve with the person's own pulmonary valve (autograft), and replace the person's own pulmonary valve with a pulmonary valve from a cadaver (homograft) or a stentless xenograft.[2][4] It is an alternative to a mechanical valve replacement, particularly in children and young adults.[7] It avoids the need for thinning the blood, has favourable blood flow dynamics and the valve grows as the person grows.[7]
The most common reason for performing the Ross procedure in children and young adults is for bicuspid aortic valve.[2]
Contra-indications
It is not performed in Marfan syndrome, if pulmonary valve disease, or if immune problems like lupus.[3] Other contraindications include severe coronary artery disease and severe mitral valve disease.[3] Due to a higher chance of dysfunction of the autograft, it may not always be safe to perform in rheumatic valve disease, or if a dysplastic dilated aortic root.[6]
Risks
The procedure requires technical expertise, and risks converting a single-valve disease into double-valve disease.[4] Further surgery may be required at a later date.[7] Complications include endocarditis, degeneration of the valves, aortic dissection, haemorrhage and venous thromboembolism, among others.[2][1]
-
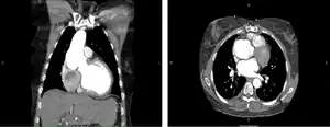
CT of the chest. Coronal (left) and axial (right) views demonstrating pathologic dilatation of the aortic root and ascending aorta. On the axial image, a dissection plane is noted in the aortic root. -
Degeneration of pulmonary autograft and aortic dissection extending into the non-coronary sinus.
Technique
Before the operation, preparations include transthoracic echocardiography and measurements of the ascending aorta and the pulmonary valve.[10] Under general anaesthesia, the chest is cut open in the midline.[3] The heart and aorta are exposed before the heart is temporarily stopped and its function taken over cardiopulmonary bypass.[3] Subsequent steps include removing the diseased aortic valve and mobilizing the coronary arteries, followed by harvesting and preparing the person's own healthy pulmonary valve, before implanting it within the left ventricular outflow tract, the exit of the left side of the heart (where the aorta begins).[2][10] Then the coronary artery is reimplanted, before the pulmonary homograft is implanted in the right ventricular outflow tract, the exit of the heart's right side (where the pulmonary artery begins).[2][10] The pulmonary autograft is joined with the ascending aorta.[2][10]
Pulmonary valve replacement
Cryopreserved pulmonary homografts were most often used for a long time until the introduction of decellularized homografts.[1]
Variations
If the left sided outflow root needs to be enlarged to fit the pulmonary autograft, the procedure is called Ross-Konno.[3] An alternative to a pulmonary homograft is the stentless xenograft roots such as the Freestyle Porcine Aortic Root by Medtronic.[1][13] An external Dacron graft can be used to reinforce the pulmonary autograft.[1]
-
Open Heart Surgery Incision -
Ross technique -
Ross technique: subcoronary method -
Pulmonary autograft with no reinforcement and reinforced with bioresorbable prosthesis
Recovery
After the operation, good blood pressure control prevents early dilatation of the new aortic root and allows the pulmonary autograft, now in the aortic position, to settle in its new environment.[10] Aftercare includes regular echocardiography and lifelong endocarditis prophylaxis.[2]
Epidemiology
Complications occur in 3% to 5% of cases with one to 3% chance of early death. The death rate is almost negligible in very experienced centres. 80% to 90% of cases survive 10 years, and 70% to 80% may live up to 20 years.[3] Aortic valve replacement is a common valve surgical procedure, with around 85,000 procedures performed every year in the United States, mostly in the elderly.[14] As of 2014, the Ross procedure comprises less than 1% of all aortic valve replacements in North America.[2]
History
Replacing a diseased aortic valve with an aortic valve from a cadaver was first performed by Donald Ross in England in June 1962, and shortly after in July 1962 by Brian Barratt-Boyes in Auckland, New Zealand; both independent of each other.[11][15] In 1966 Ross put an aortic homograft in the pulmonary position.[16] In 1967 he took the normal pulmonary valve of a person with severe aortic valve disease, and placed it in the aortic position where the diseased aortic valve was removed.[11] It was also adapted for mitral valve replacements.[17] To reconstruct the missing pulmonary outflow tract, a homograft stored and sterilised from a cadaver was used to replace the removed pulmonary valve.[11] In 1972, Ross introduced the technique using the root replacement method; total aortic root and valve replacement with re-implantation of coronary arteries.[15][18] For 30 years he was almost the only surgeon performing the procedure, until it gained popularity.[11] Marian Ionescu in Leeds, in an attempt to seek other materials, unsuccessfully tried fascia lata from the person's own thigh to create a living valve.[11] He then tried successfully with cattle pericardium fixed with glutaraldehyde, and the procedure became widespread before then falling out of favour as they failed.[11] Then came pig valves (xenograft) before the 1980s trend for mechanical valves.[11] The Ross procedure was continued and modified by Magdi Yacoub, who used fresh valves from the explanted hearts of transplant recipients.[11]
Etymology
It has also been called the double-switch Ross procedure.[19]
Society
In 1997, to replace a bicuspid aortic valve, the Ross procedure was performed on Arnold Schwarzenegger.[20]
The procedure was more popular in the 1990s and then declined in use over the subsequent 20 years.[21] Data relating to the procedure is held in the Ross registry.[22]
Other animals
The procedure has been carried out in pigs and sheep for the purpose of research.[23]
Footnotes
References
- ↑ 1.0 1.1 1.2 1.3 1.4 1.5 Nappi, Francesco; Singh, Sanjeet Singh Avtaar; Bellomo, Francesca; Nappi, Pierluigi; Iervolino, Adelaide; Acar, Christophe (2021). "The Choice of Pulmonary Autograft in Aortic Valve Surgery: A State-of-the-Art Primer". BioMed Research International. 2021: 5547342. doi:10.1155/2021/5547342. ISSN 2314-6141. PMID 33937396. Archived from the original on 2022-02-10. Retrieved 2022-02-10.
{{cite journal}}: CS1 maint: unflagged free DOI (link) Archived 2022-02-10 at the Wayback Machine - ↑ 2.00 2.01 2.02 2.03 2.04 2.05 2.06 2.07 2.08 2.09 2.10 2.11 2.12 2.13 2.14 2.15 Bouhout, John R.Ismail; Hammamsy, Ismail (2020). "38. The Ross procedure". In Raja, Shahzad G. (ed.). Cardiac Surgery: A Complete Guide. Switzerland: Springer. pp. 351–358. ISBN 978-3-030-24176-6. Archived from the original on 2023-04-29. Retrieved 2023-04-29.
- ↑ 3.00 3.01 3.02 3.03 3.04 3.05 3.06 3.07 3.08 3.09 3.10 Brown, Kristen N.; Kanmanthareddy, Arun (2022). "Aortic Valve Ross Operation". StatPearls. StatPearls Publishing. PMID 30725934. Archived from the original on 2022-02-07. Retrieved 2022-02-07. Archived 2022-02-07 at the Wayback Machine
- ↑ 4.0 4.1 4.2 4.3 Moroi, Morgan K.; Bacha, Emile A.; Kalfa, David M. (2021). "The Ross procedure in children: a systematic review". Annals of Cardiothoracic Surgery. 10 (4): 420–432. doi:10.21037/acs-2020-rp-23. ISSN 2225-319X. PMC 8339620. PMID 34422554. Archived from the original on 2022-02-06. Retrieved 2022-02-05.
{{cite journal}}: CS1 maint: unflagged free DOI (link) Archived 2022-02-06 at the Wayback Machine - ↑ Bunce, Nicholas H.; Ray, Robin; Patel, Hitesh (2020). "30. Cardiology". In Feather, Adam; Randall, David; Waterhouse, Mona (eds.). Kumar and Clark's Clinical Medicine (10th ed.). Elsevier. p. 1102. ISBN 978-0-7020-7870-5. Archived from the original on 2022-02-10. Retrieved 2022-02-10.
- ↑ 6.0 6.1 Morita, K.; Kurosawa, H. (April 2001). "[Indications for and clinical outcome of the Ross procedure: a review]". Nihon Geka Gakkai Zasshi. 102 (4): 330–336. ISSN 0301-4894. PMID 11344686. Archived from the original on 2022-02-08. Retrieved 2022-02-09. Archived 2022-02-08 at the Wayback Machine
- ↑ 7.0 7.1 7.2 7.3 7.4 Etnel, Jonathan R.G.; Grashuis, Pepijn; Huygens, Simone A.; Pekbay, Begüm; Papageorgiou, Grigorios; Helbing, Willem A.; Roos-Hesselink, Jolien W.; Bogers, Ad J.J.C.; Mokhles, M. Mostafa; Takkenberg, Johanna J.M. (1 December 2018). "The Ross Procedure: A Systematic Review, Meta-Analysis, and Microsimulation". Circulation: Cardiovascular Quality and Outcomes. 11 (12): e004748. doi:10.1161/CIRCOUTCOMES.118.004748. PMID 30562065. S2CID 56477833. Archived from the original on 6 February 2022. Retrieved 5 February 2022. Archived 6 February 2022 at the Wayback Machine
- ↑ 8.0 8.1 8.2 Van Hoof, Lucas; Verbrugghe, Peter; Jones, Elizabeth A. V.; Humphrey, Jay D.; Janssens, Stefan; Famaey, Nele; Rega, Filip (9 February 2022). "Understanding Pulmonary Autograft Remodeling After the Ross Procedure: Stick to the Facts". Frontiers in Cardiovascular Medicine. doi:10.3389/fcvm.2022.829120/full. ISSN 2297-055X. Archived from the original on 10 February 2022. Retrieved 12 February 2022.
{{cite journal}}: CS1 maint: unflagged free DOI (link) Archived 10 February 2022 at the Wayback Machine - ↑ Tweddell, James S. (4 January 2021). "The root replacement remains the gold standard for the Ross procedure". European Journal of Cardio-Thoracic Surgery: Official Journal of the European Association for Cardio-Thoracic Surgery. 59 (1): 234–235. doi:10.1093/ejcts/ezaa366. ISSN 1873-734X. PMID 33188684. Archived from the original on 8 February 2022. Retrieved 8 February 2022. Archived 8 February 2022 at the Wayback Machine
- ↑ 10.0 10.1 10.2 10.3 10.4 10.5 Mazine, Amine; Ghoneim, Aly; El-Hamamsy, Ismail (1 May 2018). "The Ross Procedure: How I Teach It". The Annals of Thoracic Surgery. 105 (5): 1294–1298. doi:10.1016/j.athoracsur.2018.01.048. ISSN 0003-4975. PMID 29481789. Archived from the original on 6 February 2022. Retrieved 6 February 2022. Archived 6 February 2022 at the Wayback Machine
- ↑ 11.00 11.01 11.02 11.03 11.04 11.05 11.06 11.07 11.08 11.09 Treasure, Tom (2000). "16. Cardiac surgery". In Silverman, Mark E.; Fleming, Peter R.; Hollman, Arthur; Julian, Desmond G.; Krikler, Dennis M. (eds.). British Cardiology in the 20th Century. Springer. p. 206. ISBN 978-1-4471-1199-3. Archived from the original on 2022-02-06. Retrieved 2022-02-05.
- ↑ Fujita, Buntaro; Aboud, Anas; Sievers, Hans-Hinrich; Ensminger, Stephan (December 2021). "State-of-the-art: Insights from the Ross Registry". JTCVS techniques. 10: 396–400. doi:10.1016/j.xjtc.2021.05.027. ISSN 2666-2507. PMID 34977764. Archived from the original on 2022-02-22. Retrieved 2022-02-22. Archived 2022-02-22 at the Wayback Machine
- ↑ Kırali, Kaan; Gunay, Deniz (2017). "2. Isolated aortic root aneurysms". In Kırali, Kaan (ed.). Aortic Aneurysm. BoD – Books on Demand. p. 29. ISBN 978-953-51-2933-2. Archived from the original on 2022-02-12. Retrieved 2022-02-11. Archived 2022-02-12 at the Wayback Machine
- ↑ Mazine, Amine; El-Hamamsy, Ismail; Verma, Subodh; Peterson, Mark D.; Bonow, Robert O.; Yacoub, Magdi H.; David, Tirone E.; Bhatt, Deepak L. (4 December 2018). "Ross Procedure in Adults for Cardiologists and Cardiac Surgeons: JACC State-of-the-Art Review". Journal of the American College of Cardiology. 72 (22): 2761–2777. doi:10.1016/j.jacc.2018.08.2200. ISSN 1558-3597. Archived from the original on 7 February 2022. Retrieved 12 February 2022. Archived 7 February 2022 at the Wayback Machine
- ↑ 15.0 15.1 Yankah, A Charles (June 2002). "Forty Years of Homograft Surgery". Asian Cardiovascular and Thoracic Annals. 10 (2): 97–100. doi:10.1177/021849230201000201. ISSN 0218-4923. PMID 12079928. Archived from the original on 2022-02-12. Retrieved 2022-02-12. Archived 2022-02-12 at the Wayback Machine
- ↑ Ross, D. N.; Somerville, Jane (31 December 1966). "Correction of pulmonary atresia with a homograft aortic valve". The Lancet. 288 (7479): 1446–1447. doi:10.1016/S0140-6736(66)90600-3. ISSN 0140-6736. PMID 4163445. Archived from the original on 28 September 2021. Retrieved 14 February 2022. Archived 28 September 2021 at the Wayback Machine
- ↑ Ross, D. N. (4 November 1967). "Replacement of aortic and mitral valves with a pulmonary autograft". Lancet (London, England). 2 (7523): 956–958. doi:10.1016/s0140-6736(67)90794-5. ISSN 0140-6736. PMID 4167516. Archived from the original on 6 February 2022. Retrieved 9 February 2022. Archived 6 February 2022 at the Wayback Machine
- ↑ Somerville, J; Ross, D (May 1982). "Homograft replacement of aortic root with reimplantation of coronary arteries. Results after one to five years". British Heart Journal. 47 (5): 473–482. ISSN 0007-0769. PMID 7073909. Archived from the original on 2022-02-14. Retrieved 2022-02-14. Archived 2022-02-14 at the Wayback Machine
- ↑ Chang, Jen-Ping; Kao, Chiung-Lun; Hsieh, Ming-Jang (1 June 2002). "Double-switch Ross procedure". The Annals of Thoracic Surgery. 73 (6): 1988–1989. doi:10.1016/S0003-4975(02)03460-4. ISSN 0003-4975. Archived from the original on 10 February 2022. Retrieved 10 February 2022. Archived 10 February 2022 at the Wayback Machine
- ↑ "Arnold Schwarzenegger's Heart Valve Surgeries (2020 Update)". www.heart-valve-surgery.com. Archived from the original on 7 August 2021. Retrieved 8 February 2022. Archived 7 August 2021 at the Wayback Machine
- ↑ Mazine, Amine; Rocha, Rodolfo V.; El-Hamamsy, Ismail; Ouzounian, Maral; Yanagawa, Bobby; Bhatt, Deepak L.; Verma, Subodh; Friedrich, Jan O. (October 2018). "Ross Procedure vs Mechanical Aortic Valve Replacement in Adults". JAMA Cardiology. 3 (10): 978–987. doi:10.1001/jamacardio.2018.2946. ISSN 2380-6583. PMID 30326489. Archived from the original on 2022-02-12. Retrieved 2022-02-12. Archived 2022-02-12 at the Wayback Machine
- ↑ Aboud, Anas; Charitos, Efstratios I.; Fujita, Buntaro; Stierle, Ulrich; Reil, Jan-Christian; Voth, Vladimir; Liebrich, Markus; Andreas, Martin; Holubec, Tomas; Bening, Constanze; Albert, Marc; Fila, Petr; Ondrasek, Jiri; Murin, Peter; Lange, Rüdiger; Reichenspurner, Hermann; Franke, Ulrich; Gorski, Armin; Moritz, Anton; Laufer, Günther; Hemmer, Wolfgang; Sievers, Hans-Hinrich; Ensminger, Stephan (23 March 2021). "Long-Term Outcomes of Patients Undergoing the Ross Procedure". Journal of the American College of Cardiology. 77 (11): 1412–1422. doi:10.1016/j.jacc.2021.01.034. Archived from the original on 28 December 2021. Retrieved 12 February 2022. Archived 28 December 2021 at the Wayback Machine
- ↑ Van Hoof, Lucas; Claus, Piet; Jones, Elizabeth A. V.; Meuris, Bart; Famaey, Nele; Verbrugghe, Peter; Rega, Filip (July 2021). "Back to the root: a large animal model of the Ross procedure". Annals of Cardiothoracic Surgery. 10 (4): 444–453. doi:10.21037/acs-2020-rp-21. ISSN 2225-319X. PMID 34422556. Archived from the original on 2021-11-22. Retrieved 2022-02-12.
{{cite journal}}: CS1 maint: unflagged free DOI (link) Archived 2021-11-22 at the Wayback Machine
Further reading
- Ross, D. N. (4 November 1967). "Replacement of aortic and mitral valves with a pulmonary autograft". Lancet (London, England). 2 (7523): 956–958. doi:10.1016/s0140-6736(67)90794-5. ISSN 0140-6736. PMID 4167516. Archived from the original on 6 February 2022. Retrieved 9 February 2022. Archived 6 February 2022 at the Wayback Machine
- Ross, Donald (1 December 1991). "Replacement of the aortic valve with a pulmonary autograft: The "Switch" operation". The Annals of Thoracic Surgery. 52 (6): 1346–1350. doi:10.1016/0003-4975(91)90032-L. ISSN 0003-4975. PMID 1755695. Archived from the original on 9 February 2022. Retrieved 9 February 2022. Archived 9 February 2022 at the Wayback Machine
- Yacoub, Magdi H. (March 2022). "The Ross Operation and the Long Windy Road to the Clinic". Journal of the American College of Cardiology. 79 (8): 816–818. doi:10.1016/j.jacc.2021.12.014. PMID 35210037.
