Prostatic stromal tumour of uncertain malignant potential

Prostatic stromal tumour of uncertain malignant potential
Other names: Prostatic stromal proliferation of uncertain malignant potential (PSPUMP)[1]
Prostatic stromal tumour of uncertain malignant potential. H&E stain.

Prostatic stromal tumour of uncertain malignant potential (PSTUMP) is a rare tumour of the prostate gland stroma that may behave benign or like cancer.

It can be abbreviated STUMP;[2] an abbreviation used for a uterine lesion of uncertain malignant potential.

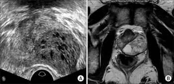
a)Ultrasound shows heterogeneous echogenic lesion in peripheral zone of prostate b) MRI left lobe of the prostate without extracapsular extension

References

  1. Gaudin, PB.; Rosai, J.; Epstein, JI. (1998). "Sarcomas and related proliferative lesions of specialized prostatic stroma: a clinicopathologic study of 22 cases". Am J Surg Pathol. 22 (2): 148–62. doi:10.1097/00000478-199802000-00002. PMID 9500215.
  2. De Berardinis, E.; Busetto, GM.; Antonini, G.; Giovannone, R.; Di Placido, M.; Magliocca, FM.; Di Silverio, A.; Gentile, V. (2012). "Incidental prostatic stromal tumor of uncertain malignant potential (STUMP): histopathological and immunohistochemical findings". Urologia. 79 (1): 65–8. doi:10.5301/RU.2012.9099. hdl:11573/439539. PMID 22388992. S2CID 14922067.

External links

Classification