Pineocytoma
| Pineocytoma | |
|---|---|
| Other names: Pinealocytoma | |
![]() | |
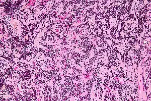
| Micrograph of a pineocytoma. HPS stain. | |
Pineocytoma, is a benign, slowly growing tumor of the pineal gland. Unlike the similar condition pineal gland cyst, it is uncommon.
Pineocytomas are diagnosed from tissue, i.e. a brain biopsy.They consist of:
- cytologically benign cells (with nuclei of uniform size, regular nuclear membranes, and light chromatin) and,
- have the characteristic pineocytomatous/neurocytic rosettes, which is an irregular circular/flower-like arrangement of cells with a large meshwork of fibers (neuropil) at the centre.[1] Pineocytomatous/neurocytic rosettes are superficially similar to Homer Wright rosettes; however, they differ from Homer Wright rosettes as they have (1) more neuropil at centre of the rosette and, (2) the edge of neuropil meshwork irregular/undulating.

See also
References
External links
| Classification |
|---|
