Phakomatosis pigmentovascularis
| Phakomatosis pigmentovascularis | |
|---|---|
| Other names: Association of cutaneous vascular malformations and different pigmentary disorders[1] | |
![]() | |
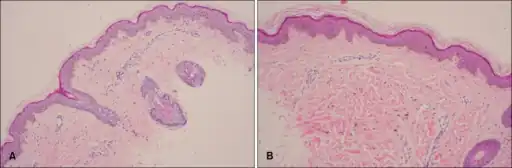
| a) Increased melanin pigment in basal layer b) increased melanin pigment in basal layer/scattered spindle-shaped melanocytes | |
| Specialty | Dermatology |
Phakomatosis pigmentovascularis is a group of skin conditions that have a combination of a blood vessel malformation and blue marks.[2]
It is a rare neurocutanous condition where there is coexistence of a capillary malformation (port-wine stain) with various melanocytic lesions, including dermal melanocytosis (Mongolian spots), nevus spilus, and nevus of Ota.
Types
Phakomatosis pigmentovascularis is subdivided into four types; phakomatosis cesioflammea, phakomatosis spilorosa, phakomatosis cesiomamorata, and unclassifiable.[2]
See also
References
- โ "Phacomatosis pigmentovascularis | Genetic and Rare Diseases Information Center (GARD) โ an NCATS Program". rarediseases.info.nih.gov. Archived from the original on 28 April 2019. Retrieved 28 April 2019. Archived 28 April 2019 at the Wayback Machine
- โ 2.0 2.1 James, William D.; Elston, Dirk; Treat, James R.; Rosenbach, Misha A.; Neuhaus, Isaac (2020). "28. Dermal and subcutaneous tumors: Phakomatosis pigmentovascularis". Andrews' Diseases of the Skin: Clinical Dermatology (13th ed.). Edinburgh: Elsevier. p. 603. ISBN 978-0-323-54753-6.
External links
| Classification | |
|---|---|
| External resources |
|
