Perilunate dislocation
| Perilunate dislocation | |
|---|---|
![]() | |
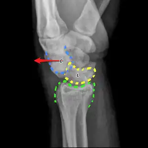
| A trans-scaphoid perilunate dislocation | |
| Specialty | Orthopedics |
| Symptoms | Wrist pain and swelling[1] |
| Complications | Compartment syndrome, injury to the median nerve, compromised blood flow[2] |
| Causes | Significant trauma, with bending back of the wrist[2] |
| Diagnostic method | X-rays[2] |
| Differential diagnosis | Lunate dislocation[2] |
| Treatment | Joint reduction and surgery to fix ligaments[2] |
| Frequency | Uncommon[1] |
A perilunate disclocation (PLD) is a type of wrist dislocation where the lunate remains in its normal position.[2] Symptoms include wrist pain, swelling, and decreased movement.[1][3] It is variable whether or not the wrist appears abnormal.[2] It may be associated with a scaphoid fracture.[2] Complications may include compartment syndrome, injury to the median nerve, or compromise to the blood flow.[2]
The underlying cause generally involves significant trauma, with bending back of the wrist.[2] This may include a fall, motor vehicle collision, or sports injury.[1] Diagnosis is usually by X-rays.[2] Types include trans-scaphoid perilunate dislocation (60%); perilunate; trans-radial styloid; and trans-scaphoid trans-capitate perilunar.[2]
Management generally involves surgery to achieve joint reduction and fix the ligaments.[2] Though, reduction followed by splinting may be carried out before definitive surgery.[1] In those who are treated rapidly, outcomes are generally reasonable; though, osteoarthritis is common and disability may occur.[1][3] Outcomes are poor if the diagnosis is missed.[3]
A perilunate disclocation is uncommon, making up less than 10% of wrist injuries.[1][3] When it occurs, young adults are most commonly affected.[2] It was first described in 1855 by Joseph-François Malgaigne.[4]
References
- ↑ 1.0 1.1 1.2 1.3 1.4 1.5 1.6 Bentley, TP; Hope, N; Journey, JD (January 2024). "Wrist Dislocation". StatPearls. PMID 29939534.
- ↑ 2.00 2.01 2.02 2.03 2.04 2.05 2.06 2.07 2.08 2.09 2.10 2.11 2.12 2.13 Dixon, Andrew. "Perilunate dislocation | Radiology Reference Article | Radiopaedia.org". Radiopaedia. Archived from the original on 3 October 2023. Retrieved 26 February 2024. Archived 3 October 2023 at the Wayback Machine
- ↑ 3.0 3.1 3.2 3.3 Frane, N; Goldenberg, W (January 2024). "Perilunate Dislocation". StatPearls. PMID 32491641.
- ↑ Kardashian, G; Christoforou, DC; Lee, SK (2011). "Perilunate dislocations" (PDF). Bulletin of the NYU hospital for joint diseases. 69 (1): 87–96. PMID 21332444. Archived (PDF) from the original on 2023-10-22. Retrieved 2024-02-26. Archived 2023-10-22 at the Wayback Machine
