List of ovarian tumors
Ovarian tumors, or ovarian neoplasms, are tumors in the ovary.[1] Not all are ovarian cancer.[1] They consist of mainly solid tissue, while ovarian cysts contain fluid.[2]
In 2020, the World Health Organization (WHO) divided ovarian tumors as 90% epithelial, 3% germ cell, and 2% sex cord-stromal types.[3]
Serous tumors
| Class | Type | Subtypes | Epidemiology | Comments | Micrograph | Image |
|---|---|---|---|---|---|---|
| Serous tumor of the ovary[4] | Benign serous tumors[5] | Serous cystadenoma of the ovary |
|
|||
| Serous surface papilloma | ||||||
| Serous adenofibroma | ||||||
| Serous borderline tumor of the ovary | Serous borderline tumor, micropapillary variant | |||||
| Malignant serous tumors carcinoma | Low grade serous carcinoma of the ovary (LGSC)[6] | Rare, 2-5% of ovarian cancers, 5-10% of serous ovarian cancers[6] | May occur following a serous borderline tumor.[6]
80% diagnosed at advanced stage[6] Better survival rate than HGSC.[7] |
|||
| High-grade serous carcinoma of the ovary (HGSC) | Distinct from LGSC[6]
80% diagnosed at advanced stage[6] |
Mucinous tumors
| Class | Type | Subtypes | Epidemiology | Comments | Micrograph | Image | |
|---|---|---|---|---|---|---|---|
| Mucinous tumors of the ovary | Benign mucinous tumors | Mucinous cystadenoma and adenofibroma of the ovary |
|
||||
| Borderline mucinous tumor | Mucinous borderline tumor | ||||||
| Malignant mucinous tumor | Mucinous carcinoma of the ovary |
Endometrioid tumors
| Class | Type | Subtypes | Epidemiology | Comments | Micrograph | Image |
|---|---|---|---|---|---|---|
| Endometrioid tumors | Endometrioid cystadenoma | |||||
| Endometrioid adenofibroma | ||||||
| Endometrioid tumor, borderline | ||||||
| Endometrioid adenocarcinoma | ||||||
| Submucinous carcinoma |
Clear cell tumors
| Class | Type | Subtypes | Epidemiology | Comments | Micrograph | Image |
|---|---|---|---|---|---|---|
| Clear cell tumors | Benign clear cell tumors | Clear cell cystadenoma | ||||
| Adenofibroma | ||||||
| Borderline clear cell tumors | Clear cell borderline tumor | |||||
| Malignant clear cell tumors | Clear cell carcinoma |
Germ cell tumors
| Type | Subtype | Relative incidence[8] | Percent malignant[8] | Comments | Micrograph | Image |
|---|---|---|---|---|---|---|
| Germ cell tumor | Mature teratoma of the ovary[9] | 20% of all ovarian tumors[9] | Mostly benign, rarely become cancerous[9] | Cystic, with elements of all 3 germ layers (endoderm, mesoderm and ectoderm).[10] | ![]() |
![]() |
| Immature teratoma of the ovary[11] | 2.5% | 100% | A teratoma that contains anaplastic immature elements, and is often synonymous with malignant teratoma.[12] | ![]() |
||
| Dysgerminoma of ovary[13] | 1% of all ovarian cancers[13] | ![]() | ||||
| Yolk sac tumor[14] | 20% of cancerous ovarian germ cell tumors[14] | |||||
| Embryonal carcinoma[15] | ||||||
| Non-gestational choriocarcinoma[16] | ||||||
| Mixed germ cell tumor[17] |
Sex cord-stromal tumor
Sex cord-stromal tumor can be purely stromal, purely sex cord, or mixed sex-cord subtypes.[18]
| Type | Subtype | Relative incidence[8] | Percent malignant[8] | Comments | Micrograph | Image |
|---|---|---|---|---|---|---|
| Sex cord-stromal tumor: pure stromal tumors, pure sex cord tumors and mixed sex cord-stromal tumors | Ovarian fibroma | 1.5% | 0% | Spindle-shaped fibroblastic cells and abundant collagen.[19] | ![]() |
![]() |
| Adult granulosa cell tumor | 1% | Almost 100% | Small, bland, cuboidal to polygonal cells in various patterns.[20] | ![]() |
||
| Other sex cord-stromal tumors | 1% | Others include mainly juvenile granulosa cell tumor, thecoma and sclerosing stromal tumor[8] | ||||
| Sex cord-stromal tumor NOS | The number of people who have this type of tumor, and the cause of it, is not known.[18] | A few may be cancerous, with a 92% 5-year survival rate.[18] | Also known as neoplasms of uncertain behaviour of female genital organs and sex cord-gonadal stroll tumor, it is a tumor without clearly defined features of a particular tumor.[18] They may be solid or a mixture of solid and cystic.[18] | |||
Surface epithelial-stromal tumor
| Type | Subtype | Relative incidence[8] | Percent malignant[8] | Comments | Micrograph | Image |
|---|---|---|---|---|---|---|
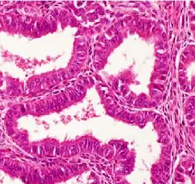
| Surface epithelial-stromal tumor | Serous tumor | 25% | 18.5% | Benign serous tumors of the right ovarian cyst are thinwalled unilocular cysts that are lined by ciliated pseudostratified cuboidal or columnar epithelium.[21] | ![]() |
|
| Mucinous tumor | 15% | 8.8% | Benign mucinous tumors of the ovary consist of simple, nonstratified columnar epithelium with basally-located hyperchromatic nuclei and resemble gastric foveolar epithelium.[21] | ![]() |
||
| Endometrioid tumor | 1% | Almost 100% | Tubular glands, resembling endometrium.[22] | ![]() |
||
| Other surface-epithelial tumors | 1.5% | Others include mainly malignant mixed mullerian tumor, Brenner tumor and mixed epithelial tumor.[8] | ![]() |
Mixed tumors contain elements of more than one of the above classes of tumor histology.
See also
References
- ↑ 1.0 1.1 WHO Classification of Tumours Editorial Board, ed. (2020). "1. Tumours of the ovary: introduction". Female genital tumours: WHO Classification of Tumours. Vol. 4 (5th ed.). Lyon (France): International Agency for Research on Cancer. pp. 32–35. ISBN 978-92-832-4504-9. Archived from the original on 2022-06-17. Retrieved 2022-06-28.
- ↑ Euscher, Elizabeth D.; Hui, Jian-Jun (2021). "9. Ovarian epithelial neoplasia". In Wei, Jian-Jun; Hui, Pei (eds.). Practical Gynecologic Pathology: Frequently Asked Questions. Switzerland: Springer. pp. 225–262. ISBN 978-3-030-68608-6. Archived from the original on 2024-05-09. Retrieved 2024-05-10.
- ↑ De Leo, A; Santini, D; Ceccarelli, C; Santandrea, G; Palicelli, A; Acquaviva, G; Chiarucci, F; Rosini, F; Ravegnini, G; Pession, A; Turchetti, D; Zamagni, C; Perrone, AM; De Iaco, P; Tallini, G; de Biase, D (14 April 2021). "What Is New on Ovarian Carcinoma: Integrated Morphologic and Molecular Analysis Following the New 2020 World Health Organization Classification of Female Genital Tumors". Diagnostics (Basel, Switzerland). 11 (4). doi:10.3390/diagnostics11040697. PMID 33919741. Archived from the original on 12 April 2022. Retrieved 4 July 2022.
{{cite journal}}: CS1 maint: unflagged free DOI (link) - ↑ WHO Classification of Tumours Editorial Board, ed. (2020). "1. Tumours of the ovary: high grade serous carcinoma of the ovary". Female genital tumours: WHO Classification of Tumours. Vol. 4 (5th ed.). Lyon (France): International Agency for Research on Cancer. pp. 45–47. ISBN 978-92-832-4504-9. Archived from the original on 2022-06-17. Retrieved 2022-06-28.
- ↑ Rashid, Sameera; Arafah, Maria A.; Akhtar, Mohammed (1 May 2022). "The Many Faces of Serous Neoplasms and Related Lesions of the Female Pelvis: A Review". Advances in Anatomic Pathology. 29 (3): 154–167. doi:10.1097/PAP.0000000000000334. ISSN 1533-4031. Archived from the original on 29 July 2022. Retrieved 3 July 2023.
- ↑ 6.0 6.1 6.2 6.3 6.4 6.5 Babaier, A; Mal, H; Alselwi, W; Ghatage, P (10 February 2022). "Low-Grade Serous Carcinoma of the Ovary: The Current Status". Diagnostics (Basel, Switzerland). 12 (2). doi:10.3390/diagnostics12020458. PMID 35204549. Archived from the original on 6 July 2023. Retrieved 3 July 2023.
{{cite journal}}: CS1 maint: unflagged free DOI (link) - ↑ Grisham, Rachel N.; Slomovitz, Brian M.; Andrews, Nicole; Banerjee, Susana; Brown, Jubilee; Carey, Mark S.; Chui, Herman; Coleman, Robert L.; Fader, Amanda N.; Gaillard, Stephanie; Gourley, Charlie; Sood, Anil K.; Monk, Bradley J.; Moore, Kathleen N.; Ray-Coquard, Isabelle; Shih, Ie-Ming; Westin, Shannon N.; Wong, Kwong-Kwok; Gershenson, David M. (17 August 2023). "Low-grade serous ovarian cancer: expert consensus report on the state of the science". International Journal of Gynecologic Cancer: ijgc. doi:10.1136/ijgc-2023-004610. ISSN 1048-891X. Archived from the original on 30 November 2023. Retrieved 16 April 2024.
- ↑ 8.0 8.1 8.2 8.3 8.4 8.5 8.6 8.7 Unless otherwise specified in boxes, reference is: Vaidya, SA; Kc, S; Sharma, P; Vaidya, S (2014). "Spectrum of ovarian tumors in a referral hospital in Nepal". Journal of Pathology of Nepal. 4 (7): 539–543. doi:10.3126/jpn.v4i7.10295. ISSN 2091-0908.
- ↑ 9.0 9.1 9.2 WHO Classification of Tumours Editorial Board, ed. (2020). "1. Tumours of the ovary: mature teratoma of the ovary". Female genital tumours: WHO Classification of Tumours. Vol. 4 (5th ed.). Lyon (France): International Agency for Research on Cancer. pp. 119–120. ISBN 978-92-832-4504-9. Archived from the original on 2022-06-17. Retrieved 2022-06-28.
- ↑ Hillary Rose Elwood. "Skin nonmelanocytic tumor - Other tumors of skin - Benign (mature) cystic teratoma". pathology Outlines. Archived from the original on 2021-03-06. Retrieved 2021-12-26. Topic Completed: 1 November 2016. Revised: 4 April 2019
- ↑ WHO Classification of Tumours Editorial Board, ed. (2020). "1. Tumours of the ovary: immature teratoma of the ovary". Female genital tumours: WHO Classification of Tumours. Vol. 4 (5th ed.). Lyon (France): International Agency for Research on Cancer. pp. 121–122. ISBN 978-92-832-4504-9. Archived from the original on 2022-06-17. Retrieved 2022-06-28.
- ↑ Sun, Hang; Ding, Hongxin; Wang, Jianjun; Zhang, Emma; Fang, Yihua; Li, Zhenhua; Yu, Xiao; Wang, Chongren; Zhao, Yifan; Chen, Kan; Wen, Siwan; Li, Liang; Shan, Shan; Hong, Liu; Chen, Face; Su, Pu (2019). "The differences between gonadal and extra-gonadal malignant teratomas in both genders and the effects of chemotherapy". BMC Cancer. 19 (1): 408. doi:10.1186/s12885-019-5598-0. ISSN 1471-2407. PMC 6492338. PMID 31039746.
- ↑ 13.0 13.1 WHO Classification of Tumours Editorial Board, ed. (2020). "1. Tumours of the ovary: dysgerminoma". Female genital tumours: WHO Classification of Tumours. Vol. 4 (5th ed.). Lyon (France): International Agency for Research on Cancer. pp. 123–124. ISBN 978-92-832-4504-9. Archived from the original on 2022-06-17. Retrieved 2022-06-28.
- ↑ 14.0 14.1 WHO Classification of Tumours Editorial Board, ed. (2020). "1. Tumours of the ovary: yolk sac tumor". Female genital tumours: WHO Classification of Tumours. Vol. 4 (5th ed.). Lyon (France): International Agency for Research on Cancer. pp. 125–126. ISBN 978-92-832-4504-9. Archived from the original on 2022-06-17. Retrieved 2022-06-28.
- ↑ WHO Classification of Tumours Editorial Board, ed. (2020). "1. Tumours of the ovary: embryonal carcinoma". Female genital tumours: WHO Classification of Tumours. Vol. 4 (5th ed.). Lyon (France): International Agency for Research on Cancer. pp. 127–128. ISBN 978-92-832-4504-9. Archived from the original on 2022-06-17. Retrieved 2022-06-28.
- ↑ WHO Classification of Tumours Editorial Board, ed. (2020). "1. Tumours of the ovary: non-gestational choriocarcinoma". Female genital tumours: WHO Classification of Tumours. Vol. 4 (5th ed.). Lyon (France): International Agency for Research on Cancer. pp. 129–130. ISBN 978-92-832-4504-9. Archived from the original on 2022-06-17. Retrieved 2022-06-28.
- ↑ WHO Classification of Tumours Editorial Board, ed. (2020). "1. Tumours of the ovary: Mixed germ cell tumor of the ovary". Female genital tumours: WHO Classification of Tumours. Vol. 4 (5th ed.). Lyon (France): International Agency for Research on Cancer. pp. 131–132. ISBN 978-92-832-4504-9. Archived from the original on 2022-06-17. Retrieved 2022-06-28.
- ↑ 18.0 18.1 18.2 18.3 18.4 WHO Classification of Tumours Editorial Board, ed. (2020). "1. Tumours of the ovary: sex cord-stromal tumor". Female genital tumours: WHO Classification of Tumours. Vol. 4 (5th ed.). Lyon (France): International Agency for Research on Cancer. pp. 93–117. ISBN 978-92-832-4504-9. Archived from the original on 2022-06-17. Retrieved 2022-06-28.
- ↑ Parwate, Nikhil Sadanand; Patel, Shilpa M.; Arora, Ruchi; Gupta, Monisha (2015). "Ovarian Fibroma: A Clinico-pathological Study of 23 Cases with Review of Literature". The Journal of Obstetrics and Gynecology of India. 66 (6): 460–465. doi:10.1007/s13224-015-0717-6. ISSN 0971-9202. PMC 5080219. PMID 27821988.
- ↑ Shahrzad Ehdaivand. "Ovary tumor - Sex cord stromal tumors - Granulosa cell tumor - adult". Pathology Outlines. Archived from the original on 2022-01-31. Retrieved 2021-12-26. Topic Completed: 1 December 2012. Revised: 9 March 2020
- ↑ 21.0 21.1 Baradwan, Saeed; Alalyani, Haneen; Baradwan, Amira; Baradwan, Afnan; Al-Ghamdi, Maram; Alnemari, Jameel; Al-Jaroudi, Dania (2018). "Bilateral ovarian masses with different histopathology in each ovary". Clinical Case Reports. 6 (5): 784–787. doi:10.1002/ccr3.1466. ISSN 2050-0904. PMC 5930217. PMID 29744056.
- ↑ Shahrzad Ehdaivand. "Ovary tumor - Endometrioid tumors - General". Pathology Outlines. Archived from the original on 2020-02-16. Retrieved 2021-12-26. Topic Completed: 1 December 2012. Revised: 6 March 2020


.jpg)





.jpg)



.jpg)