Open bite malocclusion

Open bite is a type of orthodontic malocclusion which has been estimated to occur in 0.6% of the people in the United States. This type of malocclusion has no vertical overlap or contact between the anterior incisors.[1] The term "open bite" was coined by Carevelli in 1842 as a distinct classification of malocclusion.[2][3] Different authors have described the open bite in a variety of ways.[4] Some authors have suggested that open bite often arises when overbite is less than the usual amount. Additionally, others have contended that open bite is identified by end-on incisal relationships. Lastly, some researchers have stated that a lack of incisal contact must be present to diagnose an open bite.[5][6]

Treatment of an open bite is complex and long-term stability is difficult to achieve, making it a challenging condition due to the high risk of vertical relapse, regardless of the treatment method used or the retention protocol followed.[7]

Causes

Open bite malocclusion can happen due to several reasons. The teeth and the alveolar bones are subject to opposing forces and pressures mainly due to muscle movement, which could potentially have an impact on the positioning of the teeth. On the contrary, the intrinsic forces of the lips and tongue while at rest create a necessary equilibrium to place the teeth in their correct position. Balance is when a body remains at rest, even when various forces are pushing it in different directions, and it doesn't accelerate or (in the case of teeth) move.[8] Whenever this equilibrium is changed, differences manifest, like, for example, the shrinkage of dental arches in animals which underwent glossectomy when compared to the control animals.[9] When a tooth is extracted, its antagonist continues the process of passive eruption, indicating that the mechanism of eruption remains essentially unchanged throughout life, and the tooth still seeks out occlusal or incisal contact until balance is achieved.[8] Based on this idea of balance several etio-logical factors related to oral function have been associated with AOB.

It may be genetic in nature, leading to a skeletal open bite or can be caused by functional habits which may lead to dental open bite. In the earlier age, open bite may occur due to a transitional change from primary to the permanent dentition. Some factors that may cause an open bite are:[10]

The link between AOB and non-nutritive sucking habits like finger and pacifier sucking has been proven.[15] Once these habits are removed, AOB generally corrects itself, as long as no additional dysfunctions have occurred.[4] These secondary dysfunctions can be caused by the protrusion of maxillary incisors due to sucking habits, which impedes the lip seal needed for swallowing and causes an abnormal resting tongue position.[16] During childhood, the tongue is proportionally bigger than the oral cavity, thus protruding beyond the alveolar ridges. The jaw bones grow quicker than the tongue during childhood and eventually, the oral cavity will adjust to accommodate the size of the tongue.[14] Some authors suggest that the muscular forces generated during swallowing and speaking could potentially warp the shape of the dental arches.[17] However, other studies suggest that these effects are temporary and insufficient to cause long-term changes in the dental arches.[16][8] Hypertrophic adenoids and tonsils are the most common cause of nasal obstruction and consequently, mouth breathing in children.[1] The effect of airway obstruction on the occlusion was demonstrated by Harvold et al.[18] who, after placing acrylic blocks in the posterior region of the palate of rhesus monkeys, found that AOB had developed.

Types

Anterior open bite

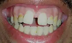
Anterior open bite resulted from tongue thrusting in a 24 y.o. patient. Anterior upper teeth are not touching their counterpart.

Anterior open bite (AOB) is defined as a condition in which there is no contact and no vertical overlap of the lower incisor crown with the upper incisor crown when the mandible is in full occlusion.[19] An anterior open bite occurs in humans when the front teeth fail to touch and there is no overlap between upper incisors and lower incisors. Anterior open can be caused by functional habits such as digit sucking, tongue thrust or long-term pacifier use. When digit sucking habit is present in the late primary to early mixed dentition stages, it can lead to different side-effects such as upper teeth flaring out, lower teeth flaring in, increase in the open bite and the overjet.[20] A posterior crossbite in these children along with decrease in intercanine and intermolar width is also found. The more intense (longer) the habit, the worse the malocclusion may be.[2] In a study of an adult Caucasian American population, it was reported that the prevalence of AOB (acute apical abscess) was approximately 3%, though this can vary from 1.5-11% depending on the ethnicity and age of the participant's teeth.[21] A complex AOB malocclusion is typically caused by a combination of habit, skeletal, dental, and functional factors.[10]

Pacifier use has also shown to cause anterior open bites in children. Pacifier use which lasts longer than 18 months, may cause this malocclusion. It is shown that as long as the sucking habit stops before the eruption of permanent teeth, the open bite self-corrects.[22] In some cases, behavior modification may be necessary to eliminate the dental habits. If all else fails, then a tongue crib can be used.[20]

Prevalence

The prevalence of AOB (Anterior Open Bite) can differ significantly between studies, as authors may define it differently. In the population, prevalence is estimated to be somewhere between 1.5% and 11%.[23] Age plays a role in how common AOB is, with prevalence decreasing as children age and develop better oral function. For example, at the age of six, 4.2% exhibit AOB, while by the time they are fourteen, this number has gone down to only 2%. The US population showed disparities in prevalence across different ethnicities, with 3.5% observed among Caucasian children and 16.5% among Afro-descendant children.[24]

Posterior open bite

Posterior open bite is caused when posterior teeth such as molars or premolars fail to touch their counterpart tooth. This is more likely to occur in segments where there may be unilateral open bite or open bite related to one or more teeth. Failure of eruption of teeth either due to primary failure or mechanical obstruction during eruption phase can cause the open bite. Sometimes lateral tongue thrust may also prevent the eruption of the posterior teeth, thus eliminating this habit maybe key to eruption in those instances.[2]

Skeletal open bite

Patient with skeletal open bites that accompany dental open bites may have Adenoid faces or Long face syndrome.[25] They are said to have what is known as Hyperdivergent Growth Pattern which includes characteristics such as:

  • Increased Lower Anterior Facial Height
  • Occlusal plane diverges after the 1st molar contact
  • May accompany dental open bite
  • Narrow nostrils with upturned nose
  • Dolicofacial or Leptoprosopic face pattern
  • Constricted maxillary arch
  • Bilateral Posterior Crossbite
  • High and narrow palatal vault
  • Presence of crowding in teeth
  • Mentalis muscle strain upon forcibly closing of lips
  • Possible gummy smile with increased interlabial gap

Cephalometric analysis features of skeletal open bite may include:

  • Increased Frankfurt-Mandibular Plane angle
  • Steep Occlusal Plane Angle
  • Increased SN-MP Angle
  • Short Mandibular ramus
  • Increased mandibular body length
  • Downward and backward position of mandible
  • Increased gonial angle
  • Proclined upper incisors, retroclined or upright lower incisors
  • Posterior part of maxilla is tipped downwards
  • Posterior facial height equals 1/2 of anterior facial height
  • Increased hard tissue Lower Anterior Facial Height
  • Increased total anterior facial height
  • Short mandibular ramus

Viken Sassouni developed Sassouni analysis which indicates that patient's with long face syndrome have 4 of their bony planes (mandibular plane, occlusal plane, palatal plane, SN plane) steep to each other.[26]

Dental open bite

Dental open bite occurs in patients where the anterior teeth fail to touch. However, this is not accompanied by the skeletal tendency of having an open bite. Thus this type of open bite may happen in patients who have horizontal or hypodivergent growth pattern. These patients have normal jaw growth and do not have the long face syndrome. The anterior open bite in these patients may be caused by Macroglossia, Tongue thrusting habit or digit sucking habits. Some of the characteristics of a dental open bite include:

  • Normal lower anterior facial height
  • Horizontal/Hypodivergent growth pattern
  • Occlusal plane diverges after the premolar contact
  • Under-eruption of the anterior incisors
  • Over-eruption of the posterior molars
  • Proclined upper and lower incisors
  • No vertical maxillary excess or gummy smile
  • Presence of habits such as thumb sucking, tongue thrusting
  • Spacing between anterior incisors due to their proclination

Open bite correction

Primary/mixed dentition

Behavior modification

Behavior therapy is important especially when children are in their primary dentition in the pre-adolescent age. Improving habits at this time may lead to self-correction of open bite in many cases. Sometimes presence of infantile swallowing into early childhood may lead to an anterior open bite. Habit control through appliances such as Tongue crib or Tongue spurs may be used in adolescents if behavior modification fails to stop the habit.[27]

Tongue crib therapy

A tongue crib is a removable appliance placed in the maxillary arch to stop the tongue thrusting habit. This appliance may be used in patients with mixed dentition or permanent dentition. The tongue crib is attached through a bar to two bands placed on the upper 1st molars. The crib is shaped like a horseshoe with metal bars that prevent thrusting. The tongue crib eliminates the habit in approximately 90% of patients. . Huang et al.[28] published a study in 1990 which stated that patients who achieved a positive overbite during their tongue crib therapy had a good chance of maintaining that overbite after their orthodontic treatment. They credited this change to a change in the posterior positioning of the tongue due to the crib therapy.

Some of the side-effects of using a tongue-crib therapy is that this appliance may trap food, causing inflammation around the appliance.[29] Repeated contact of the tongue with the appliance may lead to an imprint on the tongue which will self-resolve when the appliance is removed. This type of therapy will only work in patients who do not have a skeletal open bite tendency. A skeletal open bite tendency may be addressed via surgery or other treatment.

Blue Grass appliance

It's a type of appliance which is similar to Nance appliance, but instead of acrylic pad that rests on the anterior palate, this appliance has a plastic roller that patient can use their tongue to break their habit. This appliance is banded to the upper 1st molars and bars extend the appliance to anterior palate where the plastic roller is placed.[30]

Vertical pull chin cup

Hakan Iscan and others used vertical pull chin cup in 17 patients for 9 months where they applied 400g of force on each side.[31] Compared to controls, they found that patients included in the experimental group had increased eruption of the mandibular incisors, decrease of the ramal inclination, decrease of the mandibular plane, increase of the overbite, decrease of the gonial angle and increase of the mandibular corpus inclination were found. They stated that vertical chin cup maybe effective in treating skeletal open bite patients. However, Pedrin et al.[32] used removable plate with palatal crib and combined it with a high-pull chin cup in 30 patients for 12 months and compared it to 30 patients who were followed with no treatment. They found that no positive skeletal influence on the vertical facial pattern of patients treated for open bite in the mixed dentition by their stated protocol. Another study[33] stated that there is no positive effect of vertical pull chin cup in controlling the vertical facial height and that close of an anterior open bite was mostly done by dentoalveolar changes.

Permanent dentition

Correction of open bite in permanent dentition may involve extrusion of the anterior teeth or intrusion of the posterior teeth. This decision depends on the incisor show on smiling for a patient. If a patient has normal incisor show at rest smile, than molar intrusion may be done in these types of faces. Extrusion of anterior teeth in these patients will lead to excessive gummy smile which in some cases is not desirable. If a patient does not have a normal incisor show at rest and smile, then anterior extrusion may be done in these patients.

High-Pull Headgear

This appliance can be used with patients who are growing and in permanent dentition. This appliance has been advocated to be used mainly for controlling the vertical dimension by applying force to intrude molars.

Elastics

Elastics have been used to correct anterior dental open bite. These elastics can be in configuration of triangular or anterior vertical elastics.

Bite blocks

R. Kuster and B. Ingerval in 1992, used two types of bite blocks to evaluate their effect on skeletal open bite patients. One group of patients had spring-loaded bite block for one year and other group had repelling magnets as bite blocks for 3 months. Both type of bite blocks exerted intrusive force on both upper and lower posterior teeth. They saw 3mm improvement in overbite with magnet group and 1.3mm improvement in overbite with spring-loaded group. They concluded that this effect resulted due to counter-clockwise rotation of mandible which was caused by intrusion of posterior teeth and increased eruption of incisors.[34]

Glossectomy

There are not systematic reviews or randomized clinical control trials related to correction of open bite with partial tongue glossectomy but several case reports have been published indicating successful treatment of open bite with this surgical approach.[35][36][37] Macroglossia has been reported to cause open bite and bimaxillary protrusion and is also known to be make orthodontic treatment unstable after its completion.[36]

Orthognathic surgery

An orthognathic surgical approach can be taken to correct an open bite once vertical growth has finished in male and female patients. At that time, a Le Fort I osteotomy to impact the maxilla is usually done. According to Proffit et al.,[38] surgical movement that involves maxillary impaction is the most stable surgical movement in the hierarchy they established. A two jaw surgery can also be performed where Bilateral Sagittal Split Osteotomy can be done to correct any Antero-Posterior changes of the mandible. However, with two jaw surgery a relapse leading to bite opening may happen due to condylar remodeling and resorption.[39]

Stability and relapse

Surgery vs. non-surgery

Geoffrey Greenlee and others published a meta-analysis in 2011 which concluded that patients with orthognathic surgical correction of open bite had 82% stability in comparison to non-surgical correction of open bite which had 75% of stability after 1or more year of treatment. Both the groups started with 2–3 mm of open bite initially.[40]

Molar intrusion

Man-Suk Baek and others evaluated long-term stability of anterior open bite by intrusion of maxillary posterior teeth. Their results showed that the molars were intruded by 2.39 mm during treatment and relapsed back by 0.45 mm or 22.8%. The incisal overbite increased by 5.56 mm during treatment and relapsed back by 1.20 mm or 17%. They concluded that majority of the relapse occurred during first year of treatment.[41]

See also

References

  1. 1 2 Shapiro PA. Stability of open bite treatment. Am J Orthod Dentofacial Orthop. 2002 June;121(6):566-8
  2. 1 2 3 Proffit, William R. (1986-01-01). Contemporary orthodontics. Mosby. ISBN 978-0-8016-4084-1.
  3. Parker JH. The interception of the open bite in the early growth period. Angle Orthod. 1971 Jan;41(1):24-44.
  4. 1 2 Subtelny, J.Daniel; Sakuda, Mamoru (May 1964). "Open-bite: Diagnosis and treatment". American Journal of Orthodontics. 50 (5): 337–358. doi:10.1016/0002-9416(64)90175-7. ISSN 0002-9416.
  5. Hanson, Marvin (1990-07-01). "A review of: Stability of anterior openbite treated with crib therapy, by Greg J. Huang et al. (1990)". International Journal of Orofacial Myology. 16 (2): 10–11. doi:10.52010/ijom.1990.16.2.4. ISSN 0735-0120. S2CID 244544801.
  6. Artese, Alderico; Drummond, Stephanie; Nascimento, Juliana Mendes do; Artese, Flavia (June 2011). "Critérios para o diagnóstico e tratamento estável da mordida aberta anterior". Dental Press Journal of Orthodontics. 16 (3): 136–161. doi:10.1590/s2176-94512011000300016. ISSN 2176-9451.
  7. Cambiano, AldoOtazú; Janson, Guilherme; Lorenzoni, DiegoCoelho; Garib, DanielaGamba; Dávalos, DinoTorres (2018). "Nonsurgical treatment and stability of an adult with a severe anterior open-bite malocclusion". Journal of Orthodontic Science. 7 (1): 2. doi:10.4103/jos.jos_69_17. ISSN 2278-0203. PMC 5952238. PMID 29765914.
  8. 1 2 3 4 Chamberland, Sylvain (2015-11-01). "Re: Response to: Functional genioplasty in growing patients by Chamberland S, Proffit WR, Chamberland PE. Angle Orthod. 2015; 85:360-373". The Angle Orthodontist. 85 (6): 1083. doi:10.2319/angl-85-06-1083-1083.1. ISSN 0003-3219. PMC 8612039. PMID 26516716.
  9. Tkacz, Caroline Martins Gambardela (2020). Evaluation of the dental arches shape influence in the anterior crowding relapse (Thesis). Universidade de Sao Paulo, Agencia USP de Gestao da Informacao Academica (AGUIA). doi:10.11606/t.25.2020.tde-22102021-111306.
  10. 1 2 Stojanovic, Ljiljana (2007). "Etiological aspects of anterior open bite". Medical Review. 60 (3–4): 151–155. doi:10.2298/mpns0704151s. ISSN 0025-8105. PMID 17853727.
  11. Lopez-Gavito, Gloria; Wallen, Terry R.; Little, Robert M.; Joondeph, Donald R. (March 1985). "Anterior open-bite malocclusion: A longitudinal 10-year postretention evaluation of orthodontically treated patients". American Journal of Orthodontics. 87 (3): 175–186. doi:10.1016/0002-9416(85)90038-7. ISSN 0002-9416. PMID 3856391.
  12. Jnaneshwar, PoornimaR; Kumar, SureshAnand; Rajaram, Krishnaraj (2019). "Treatment of anterior open bite using mini-implants". International Journal of Orthodontic Rehabilitation. 10 (2): 92. doi:10.4103/ijor.ijor_26_18. ISSN 2349-5243. S2CID 195770011.
  13. Miller H. The early treatment of anterior open bite. Int J Orthod. 1969 Mar;7(1):5-14.
  14. 1 2 Al Thomali, Yousef; Basha, Sakeenabi; Mohamed, Roshan Noor (2017-03-31). "The Factors Affecting Long-Term Stability in Anterior Open-Bite Correction - A Systematic Review". Turkish Journal of Orthodontics. 30 (1): 21–27. doi:10.5152/turkjorthod.2017.010. ISSN 2528-9659. PMC 6007617. PMID 30112488.
  15. Miller H. The early treatment of anterior open bite. Int J Orthod. 1969 Mar;7(1):5-14
  16. 1 2 Faber, Jorge; Morum, Taciana Ferreira Araújo; Leal, Soraya; Berto, Patrícia Medeiros; Carvalho, Carla Karina dos Santos (October 2008). "Miniplacas permitem tratamento eficiente e eficaz da mordida aberta anterior". Revista Dental Press de Ortodontia e Ortopedia Facial. 13 (5): 144–157. doi:10.1590/s1415-54192008000500015. ISSN 1415-5419.
  17. Shapiro, Peter A. (June 2002). "Stability of open bite treatment". American Journal of Orthodontics and Dentofacial Orthopedics. 121 (6): 566–568. doi:10.1067/mod.2002.124175. ISSN 0889-5406. PMID 12080301.
  18. Harvold, Egil P.; Vargervik, Karin; Chierici, George (May 1973). "Primate experiments on oral sensation and dental malocclusions". American Journal of Orthodontics. 63 (5): 494–508. doi:10.1016/0002-9416(73)90162-0. ISSN 0002-9416. PMID 4633053.
  19. Gu, David; Leroux, Brian; Finkleman, Sam; Todoki, Lauren; Greenlee, Geoffrey; Allareddy, Veerasathpurush; Jolley, Cameron; Vermette, Michael; Shin, Kyungsup; Kau, Chung How; de Jesus-Vinas, Jaime; Dolce, Calogero; Huang, Greg (2021-09-29). "Anterior openbite malocclusion in adults". The Angle Orthodontist. 92 (1): 27–35. doi:10.2319/071221-549.1. ISSN 1945-7103. PMC 8691483. PMID 34587249.
  20. 1 2 Pedrazzi, M. E. (1997-03-01). "Treating the open bite". Journal of General Orthodontics. 8 (1): 5–16. ISSN 1048-1990. PMID 9508861.
  21. Bilgic, Fundagul; Gelgor, Ibrahim Erhan; Celebi, Ahmet Arif (December 2015). "Malocclusion prevalence and orthodontic treatment need in central Anatolian adolescents compared to European and other nations' adolescents". Dental Press Journal of Orthodontics. 20 (6): 75–81. doi:10.1590/2177-6709.20.6.075-081.oar. ISSN 2176-9451. PMC 4686748. PMID 26691973.
  22. Matsumoto, Mírian Aiko Nakane; Romano, Fábio Lourenço; Ferreira, José Tarcísio Lima; Valério, Rodrigo Alexandre (2012-01-01). "Open bite: diagnosis, treatment and stability". Brazilian Dental Journal. 23 (6): 768–778. doi:10.1590/s0103-64402012000600024. ISSN 1806-4760. PMID 23338275.
  23. Zuroff JP, Chen SH, Shapiro PA, Little RM, Joondeph DR, Huang GJ. Orthodontic treatment of anterior open-bite malocclusion: stability 10 years postretention. Am J Orthod Dentofacial Orthop. 2010 Mar;137(3):302.e1-302.e8.
  24. Cozza, Paola; Mucedero, Manuela; Baccetti, Tiziano; Franchi, Lorenzo (2007-07-01). "Treatment and Posttreatment Effects of Quad-Helix/Crib Therapy of Dentoskeletal Open Bite". The Angle Orthodontist. 77 (4): 640–645. doi:10.2319/062106-252. hdl:2158/313761. ISSN 0003-3219. PMID 17605486. S2CID 9731884.
  25. Schendel, S. A.; Eisenfeld, J.; Bell, W. H.; Epker, B. N.; Mishelevich, D. J. (1976-10-01). "The long face syndrome: vertical maxillary excess". American Journal of Orthodontics. 70 (4): 398–408. doi:10.1016/0002-9416(76)90112-3. ISSN 0002-9416. PMID 1067758.
  26. Sassouni, Viken (1955). "A roentgenographic cephalometric analysis of cephalo-facio-dental relationships". American Journal of Orthodontics. 41 (10): 735–764. doi:10.1016/0002-9416(55)90171-8.
  27. William R. Proffit; Henry W. Fields Jr; David M. Sarver (2012-04-16). Contemporary Orthodontics, 5e (5 ed.). Mosby. ISBN 978-0-323-08317-1.
  28. Huang, G. J.; Justus, R.; Kennedy, D. B.; Kokich, V. G. (1990-01-01). "Stability of anterior openbite treated with crib therapy". The Angle Orthodontist. 60 (1): 17–24, discussion 25–26. ISSN 0003-3219. PMID 2316899.
  29. Seo, Yu-Jin; Kim, Su-Jung; Munkhshur, Janchivdorj; Chung, Kyu-Rhim; Ngan, Peter; Kim, Seong-Hun (2017-03-14). "Treatment and retention of relapsed anterior open-bite with low tongue posture and tongue-tie: A 10-year follow-up". Korean Journal of Orthodontics. 44 (4): 203–216. doi:10.4041/kjod.2014.44.4.203. ISSN 2234-7518. PMC 4130916. PMID 25133135.
  30. Zameer, Mohammed; Basheer, Syed Nahid; Reddy, Arun; Kovvuru, Suresh Kumar (2015-01-01). "A Single Versatile Appliance for Habit Interception and Crossbite Correction". Case Reports in Dentistry. 2015 607545. doi:10.1155/2015/607545. ISSN 2090-6447. PMC 4659955. PMID 26640722.
  31. İşcan, Hakan N.; Dinçer, Müfide; Gültan, Ali; Meral, Orhan; Taner-Sarisoy, Lale (2002-11-01). "Effects of vertical chincap therapy on the mandibular morphology in open-bite patients". American Journal of Orthodontics and Dentofacial Orthopedics. 122 (5): 506–511. doi:10.1067/mod.2002.128643. PMID 12439479. S2CID 24310791.
  32. Pedrin, Fernando; de Almeida, Marcio Rodrigues; de Almeida, Renato Rodrigues; de Almeida-Pedrin, Renata Rodrigues; Torres, Fernando (2006-03-01). "A prospective study of the treatment effects of a removable appliance with palatal crib combined with high-pull chincup therapy in anterior open-bite patients". American Journal of Orthodontics and Dentofacial Orthopedics. 129 (3): 418–423. doi:10.1016/j.ajodo.2005.04.035. PMID 16527639.
  33. Torres, Fernando; Almeida, Renato R.; de Almeida, Marcio Rodrigues; Almeida-Pedrin, Renata R.; Pedrin, Fernando; Henriques, José F. C. (2006-12-01). "Anterior open bite treated with a palatal crib and high-pull chin cup therapy. A prospective randomized study". European Journal of Orthodontics. 28 (6): 610–617. doi:10.1093/ejo/cjl053. ISSN 0141-5387. PMID 17101701.
  34. Kuster, R.; Ingervall, B. (1992-12-01). "The effect of treatment of skeletal open bite with two types of bite-blocks" (PDF). European Journal of Orthodontics. 14 (6): 489–499. doi:10.1093/ejo/14.6.489. ISSN 0141-5387. PMID 1486935.
  35. Tanaka, Orlando Motohiro; Guariza-Filho, Odilon; Carlini, João Luiz; Oliveira, Dauro Douglas; Pithon, Matheus Mello; Camargo, Elisa Souza (2013-07-01). "Glossectomy as an adjunct to correct an open-bite malocclusion with shortened maxillary central incisor roots". American Journal of Orthodontics and Dentofacial Orthopedics. 144 (1): 130–140. doi:10.1016/j.ajodo.2012.08.029. ISSN 1097-6752. PMID 23810054.
  36. 1 2 Hotokezaka, Hitoshi; Matsuo, Takemitsu; Nakagawa, Maki; Mizuno, Akio; Kobayashi, Kazuhide (2009-07-15). "Severe Dental Open Bite Malocclusion With Tongue Reduction After Orthodontic Treatment". The Angle Orthodontist. 71 (3): 228–36. PMID 11407776.
  37. Bernard, Christian L. P.; Simard-Savoie, Solange (2009-07-15). "Self-correction of Anterior Openbite After Glossectomy". The Angle Orthodontist. 57 (2): 137–43. PMID 3473949.
  38. Proffit, William R.; Turvey, Timothy A.; Phillips, Ceib (2007-04-30). "The hierarchy of stability and predictability in orthognathic surgery with rigid fixation: an update and extension". Head & Face Medicine. 3: 21. doi:10.1186/1746-160X-3-21. ISSN 1746-160X. PMC 1876453. PMID 17470277.
  39. Hoppenreijs, T. J.; Freihofer, H. P.; Stoelinga, P. J.; Tuinzing, D. B.; van't Hof, M. A. (1998-04-01). "Condylar remodelling and resorption after Le Fort I and bimaxillary osteotomies in patients with anterior open bite. A clinical and radiological study". International Journal of Oral and Maxillofacial Surgery. 27 (2): 81–91. doi:10.1016/s0901-5027(98)80301-9. ISSN 0901-5027. PMID 9565261.
  40. Greenlee, Geoffrey M.; Huang, Greg J.; Chen, Stephanie Shih-Hsuan; Chen, Judy; Koepsell, Thomas; Hujoel, Philippe (2011-02-01). "Stability of treatment for anterior open-bite malocclusion: a meta-analysis". American Journal of Orthodontics and Dentofacial Orthopedics. 139 (2): 154–169. doi:10.1016/j.ajodo.2010.10.019. ISSN 1097-6752. PMID 21300243.
  41. Baek, Man-Suk; Choi, Yoon-Jeong; Yu, Hyung-Seog; Lee, Kee-Joon; Kwak, Jinny; Park, Young-Chel (2010-10-01). "Long-term stability of anterior open-bite treatment by intrusion of maxillary posterior teeth". American Journal of Orthodontics and Dentofacial Orthopedics. 138 (4): 396.e1–396.e9. doi:10.1016/j.ajodo.2010.04.023. PMID 20889043.