Mitochondrial encephalomyopathy
| Mitochondrial encephalomyopathy | |
|---|---|
![]() | |
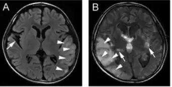
| a)Abnormal signals in the left occipital, parietal, and temporal lobes b)abnormal MRI signals shifted to the right side from previous left side; symmetrical lesions at the lenticular nuclei | |
A mitochondrial encephalomyopathy is a form of encephalomyopathy that is associated with a mitochondrial disease. MELAS syndrome Examples include MELAS syndrome and MERRF syndrome. These conditions can sometimes present together.[1][2]
KSS is sometimes included in this category,[3] but it is not included in this category in MeSH.
References
- ↑ Melone MA, Tessa A, Petrini S, et al. (February 2004). "Revelation of a new mitochondrial DNA mutation (G12147A) in a MELAS/MERFF phenotype". Arch. Neurol. 61 (2): 269–72. doi:10.1001/archneur.61.2.269. PMID 14967777.
- ↑ Naini AB, Lu J, Kaufmann P, et al. (March 2005). "Novel mitochondrial DNA ND5 mutation in a patient with clinical features of MELAS and MERRF". Arch. Neurol. 62 (3): 473–6. doi:10.1001/archneur.62.3.473. PMID 15767514.
- ↑ Crimmins D, Morris JG, Walker GL, et al. (August 1993). "Mitochondrial encephalomyopathy: variable clinical expression within a single kindred". J. Neurol. Neurosurg. Psychiatry. 56 (8): 900–5. doi:10.1136/jnnp.56.8.900. PMC 1015147. PMID 8350109.
External links
| Classification |
|---|
.png)