Macewen's sign
| Macewen's Sign | |
|---|---|
![]() | |
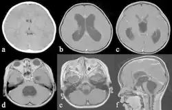
| Hydrocephalus in a three year old male patient on MRI. | |
| Differential diagnosis | Excess CSF |
Macewen's sign or Macewen sign (/məˈkjuːən/ mə-KEW-ən) is a sign used to help to diagnose hydrocephalus[1] (accumulation of excess cerebrospinal fluid) and brain abscesses. Tapping (percussion) the skull near the junction of the frontal, temporal, and parietal bones will produce cracked pot sound. Positive test is indication of separated sutures. This is due to raised intracranial tension.
The sign was discovered and described by Sir William Macewen (1848–1924), a surgeon and professor of the University of Glasgow, Scotland, who also described Macewen's operation for inguinal hernia.
McEwan's sign in alcohol intoxication is different: Pupils are contracted, but on external painful stimulation of the person (e.g. by pinching or slapping) causes pupil to dilate followed by slow constriction. It is suggestive of alcoholic coma.[2]
References
- ↑ Regan, Joseph G. (July 1, 1918). "A CLINICAL CONSIDERATION OF MACEWEN'S SIGN: ESPECIALLY WITH REFERENCE TO ITS USE IN POLIOMYELITIS". American Journal of Diseases of Children. 16 (1): 13–22. doi:10.1001/archpedi.1918.01910130020002 – via jamanetwork.com.
- ↑ Choudhary, Dr Daya (2018-06-15). "McEwan's Sign : Alcohol Poisoning & Intoxication". DoctorAlerts. Retrieved 2020-01-12.
