Lichen striatus
| Lichen striatus | |
|---|---|
| Other names: Blaschko linear acquired inflammatory skin eruption[1]: 776 and Linear lichenoid dermatosis[2] | |
![]() | |
| Symptoms | Small bumps in a line along an arm or leg[3] |
| Usual onset | Children[3] |
| Diagnostic method | Appearance[3] |
| Differential diagnosis | Linear lichen plans, linear psoriasis, verruca plana, [3] |
| Frequency | Common[3] |
Lichen striatus is a skin disease that presents with the sudden appearance of many small bumps typically in a line along an arm or leg.[3] It is seen primarily in children, most frequently appearing ages 5–15.[3]
The cause is not known, but possibly due to movement of a clone of abnormal cells along Blaschko's lines during fatal development.[4]
It s common.[3] It tends to occur more frequently in females, children and teens.[4]
Symptoms and signs
Lichen striatus impacts the skin and nails. It is seen as an unbroken or disrupted, linear band consisting of small tan, pink or flesh colored papules.
The papules could be smooth, flat topped or scaly. The band of lichen striatus varies from a few millimeters to 1-- 2 cm wide and extends from a few centimeters to the complete length of the extremity. By and large, the papules are unilateral and single on an extremity along the lines of Blaschko.
Itching is an accompanying function of the disorder.
-
Lichen striatus -
Lichen striatus -
Lichen striatus -
Lichen striatus -
Lichen striatus -
Lichen striatus
Diagnosis
Diagnosis is based on observing the appearance of the lesions.[5]
Management
It is self-limiting condition 1.reassurance 2.steroid cream for local application 3.moisturiser lotion
Additional images
-
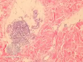
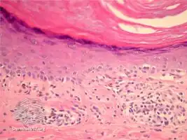
pathology-Lichen striatus -
pathology-Lichen striatus -
pathology-Lichen striatus
See also
References
- ↑ Freedberg, et al. (2003). Fitzpatrick's Dermatology in General Medicine. (6th ed.). McGraw-Hill. ISBN 0-07-138076-0.
- ↑ Rapini, Ronald P.; Bolognia, Jean L.; Jorizzo, Joseph L. (2007). Dermatology: 2-Volume Set. St. Louis: Mosby. ISBN 978-1-4160-2999-1.
- ↑ 3.0 3.1 3.2 3.3 3.4 3.5 3.6 3.7 James, William D.; Elston, Dirk; Treat, James R.; Rosenbach, Misha A.; Neuhaus, Isaac (2020). "12. Lichen planus and related conditions". Andrews' Diseases of the Skin: Clinical Dermatology (13th ed.). Edinburgh: Elsevier. pp. 226–227. ISBN 978-0-323-54753-6. Archived from the original on 2022-04-07. Retrieved 2022-04-07.
- ↑ 4.0 4.1 Johnstone, Ronald B. (2017). "3. Lichenoid reaction pattern". Weedon's Skin Pathology Essentials (2nd ed.). Elsevier. p. 39. ISBN 978-0-7020-6830-0. Archived from the original on 2021-05-25. Retrieved 2022-04-07.
- ↑ "At a glance - Lichen striatus | GPonline". Archived from the original on 2018-06-12. Retrieved 2020-12-21.
External links
| Classification | |
|---|---|
| External resources |
- New England Journal of Medicine - Images of the Week Archived 2021-02-26 at the Wayback Machine
