Kufs disease
| Kufs disease | |
|---|---|
| Other names: Adult neuronal ceroid lipofuscinosis, ANCL, Adult NCL | |
![]() | |
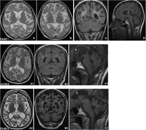
| Brain MRI imaging Kufs disease type B- a and b) Axial T2-TSE ,c) coronal T2-FLAIR d), and sagittal T1-TSE sections at onset of cognitive impairment showing cortico-subcortical atrophy, a1)displayed brain atrophy axial T2-TSE b1), coronal T2-FLAIR c1) and sagittal T1-TSE a2)axial T2-TSE,b2) coronal T2-FLAIR c2) sagittal T1-TSE scans 9 years later | |
Kufs disease is one of many diseases categorized under a disorder known as neuronal ceroid lipofuscinosis (NCLs). NCLs are broadly described to create problems with vision, movement and cognitive function.[1] Among all NCLs diseases, Kufs is the only one that does not affect vision, and although this is a distinguishing factor of Kufs, NCLs are typically differentiated by the age at which they appear in a patient[2]
Signs and symptoms
Kufs is a neuronal disease, meaning it affects the nervous system, specifically voluntary movement and intellectual function. Symptoms of Kufs can manifest anytime between adolescence and adulthood, however it usually appears around age 30. There are two types of Kufs:[2] Type A and Type B. Type A causes seizures, myoclonic epilepsy (muscle jerks), dementia, ataxia (compromised muscle coordination), tremors and tics, dysarthria (speech difficulties), confusion, and psychotic behaviour. Although similar to Type A, patients with Type B do not experience myoclonic epilepsy or dysarthria, and they do display changes in personality. It is occasional that patients present with skin disorders causing dryness, roughness, and scaliness. The skin symptoms specifically, are a result of keratin buildup in the skin cells (see ‘Genetic causes’ for more information). Regardless of the type, most Kufs patients do not survive more than 15 years after their symptoms have manifested.
Genetics
Type A and Type B Kufs disease are caused by mutations in two sets of different genes. Both gene sets are responsible for producing proteins and enzymes that are heavily involved in protein degradation and excretion in the cell – specifically, the nerve cell.
Type A
Mutations to the CLN6 and PPT1 genes result in Kufs disease Type A.[3] CLN6 produces proteins that facilitate fat transport throughout a cell, as well as excretion out of the cell. The PPT1 gene codes for the enzyme palmotoyl-protein thioesterase-1. This enzyme is responsible for removing the fatty-acid side chains off of proteins that have been translocated into the lysozyme. By removing the surrounding fats, palmotoyl-protein thioesterase-1 creates easier access for other enzymes to break down the rest of the protein. Fatty substance build up in the brain is a consequence of the mutated genes. The fats and proteins that build up are called lipopigments. Eventually the buildup of lipopigments results in death of the neuron cells, giving way to the phenotypic symptoms. Type A is an autosomal recessive disease, indicating that it is inherited from the parents. Each parent must carry one copy of the mutation; however, the recessive designation indicates that with only one copy, the parents are not affected, and do not show any symptoms.
Type B
Kufs disease Type B is caused by mutations to the DNAJC5 and CTSF genes.[3] This form of Kufs is autosomal dominant, meaning that only one copy of each mutated gene is enough for the disease to manifest. When there is a mutation in the DNAJC5 gene, it affects the production of a cysteine string protein (CSP) that is coded within DNAJC5.[4] CSP aids in transmitting signals through the nerves found in the brain. When the CTSF gene is mutated, it cannot produce Cathepsin F an enzyme that cuts proteins in the lysozyme.[5] By cutting proteins, Cathepsin F can modify the function of the proteins as well as help break them down. Similar to Type A, when both DNAJC5 and CTSF are non-functional, it results in the incomplete breakdown of proteins. Once again, lipopigments build up and brain function is decreased as the neuron cells die.
Diagnosis
Diagnosis is usually done by performing genetic analysis (e.g. Sequencing, Genotyping) when there is reason to suspect Kufs disease. Clinicians may order such tests when the common phenotypes of Kufs disease are observed in patients in order to confirm the diagnosis.
Treatment
Supportive care is the manner in which this condition is managed
References
- ↑ Pardo, C.; et al. (1994). "Accumulation of the adenosine triphosphate synthase subunit c in the mnd mutant mouse". Am J Pathol. 144 (4): 829–835. PMC 1887237. PMID 8160780.
There are more than eight variants of NCL, found in 1 in 12,500 people worldwide.
- ↑ 2.0 2.1 Wisnewsky, Krystyna E; et al. (2006). "Neuronal Ceroid Lipofuscinoses". GeneReviews (NCBI). Archived from the original on 2020-01-29. Retrieved 2022-05-21.
- ↑ 3.0 3.1 Arsov, T; et al. (13 May 2011). "Kufs Disease, the Major Adult Form of Neuronal Ceroid Lipofuscinosis, Caused by Mutations in CLN6". American Journal of Human Genetics. 88 (5): 566–73. doi:10.1016/j.ajhg.2011.04.004. PMC 3146726. PMID 21549341.
- ↑ Benitez BA, Alvarado D, Cai Y, Mayo K, Chakraverty S, Norton J, Morris JC, Sands MS, Goate A, et al. (2011). "Exome-sequencing confirms DNAJC5 mutations as cause of Adult Neuronal Ceroid-Lipofuscinosis". PLOS ONE. 6 (11): e26741. Bibcode:2011PLoSO...626741B. doi:10.1371/journal.pone.0026741. PMC 3208569. PMID 22073189.
- ↑ Noskova L, Stranecky V, Hartmannova H, Pristoupilova A, Baresova V, Ivanek R, Hulkova H, Jahnova H, van der Zee J, et al. (2011). "Mutations in DNAJC5, encoding cysteine-string protein alpha, cause autosomal-dominant adult-onset neuronal ceroid lipofuscinosis". American Journal of Human Genetics. 89 (241–252): 241–52. doi:10.1016/j.ajhg.2011.07.003. PMC 3155175. PMID 21820099.
External links
| Classification | |
|---|---|
| External resources |
|
