Oral irritated fibroma

Irritation fibroma
Other names: Oral fibroma, traumatic fibroma, focal fibrous hyperplasia
SpecialtyGastroenterology
SymptomsSmall bump in the mouth[1]
CausesChronic irritation; cheek or lip biting, rubbing from a rough tooth or denture[1]

An oral irritated fibroma is a type of angiofibroma that presents as a small |bump in the mouth.[1] It tends to be firm, smooth, and dome-shaped or pedunculated typically on the inside of a cheek.[1] It is usually the same color as the rest of the mouth lining, and may be ulcerated or rough and scaly.[1]

It is thought to be due to chronic irritation such as cheek or lip biting, or rubbing from a rough tooth or denture.[1]

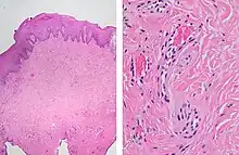
Histopathology of irritation fibroma. Low magnification (left) characteristically[2] shows a nonencapsulated nodular mass. High magnification (right) shows fibrous connective tissue with collagen bundles, and some blood vessels and fibroblasts.

References

  1. 1.0 1.1 1.2 1.3 1.4 1.5 "Oral irritated fibroma | DermNet NZ". dermnetnz.org. Archived from the original on 4 September 2022. Retrieved 27 April 2023. Archived 4 September 2022 at the Wayback Machine
  2. Molly Housley Smith, D.M.D. "Oral cavity & oropharynx - Soft tissue tumors & proliferations - Irritation fibroma". pathology Outlines. Topic Completed: 26 October 2020. Minor changes: 26 October 2020