Intranodal palisaded myofibroblastoma
| Intranodal palisaded myofibroblastoma | |
|---|---|
![]() | |
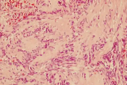
| Micrograph of an intranodal palisaded myofibroblastoma. H&E stain. | |
| Specialty | Oncology |
Intranodal palisaded myofibroblastoma (IPM) is a rare primary tumour of lymph nodes, that classically presents as an inguinal mass.[1]
It afflicts predominantly males of middle age.
Signs and symptoms
IPMs present as painless lymphadenopathy.[1] They usually are found in the inguinal region and grow slowly. The signs and symptoms are non-specific, i.e. it is not possible to diagnose an IPM from the symptoms and manner in which they present.The main (clinical) differential diagnosis of IPM is metastatic cancer, e.g. squamous cell carcinoma, malignant melanoma, adenocarcinoma.
Cause
In terms of the cause of Intranodal palisaded myofibroblastoma, it is not well understood.[2]
Diagnosis
IPMs are diagnosed by examination of the tissue by a pathologist. They have a rim of peripheral lymphoid tissue (remnant of a lymph node) and consist of spindle cells with nuclear palisading. Red blood cell extravasation is common and blood vessels surrounded by collagen with (fine) peripheral spokes (amianthoid fibers) are usually seen.[3]
Immunostains for smooth muscle actin and cyclin D1 are characteristically positive. The main histologic differential diagnosis is schwannoma.
-
Intranodal palisaded myofibroblastoma with a thin rim of residual lymph node -
Low mag.Intranodal palisaded myofibroblastoma -
High mag. Intranodal palisaded myofibroblastoma
Treatment
Simple surgical excision is considered curative. Rare recurrences have been reported.[4]
See also
References
- ↑ 1.0 1.1 Nguyen, T.; Eltorky, MA. (Feb 2007). "Intranodal palisaded myofibroblastoma". Arch Pathol Lab Med. 131 (2): 306–10. doi:10.5858/2007-131-306-IPM. PMID 17284119.
- ↑ Bhullar, Jasneet Singh; Varshney, Neha; Dubay, Linda (August 2013). "Intranodal palisaded myofibroblastoma: a review of the literature". International Journal of Surgical Pathology. 21 (4): 337–341. doi:10.1177/1066896913489348. ISSN 1940-2465. Archived from the original on 17 June 2022. Retrieved 13 November 2022.
- ↑ Bigotti, G.; Coli, A.; Mottolese, M.; Di Filippo, F. (Sep 1991). "Selective location of palisaded myofibroblastoma with amianthoid fibres". J Clin Pathol. 44 (9): 761–4. doi:10.1136/jcp.44.9.761. PMC 496726. PMID 1918406.
- ↑ Creager, AJ.; Garwacki, CP. (May 1999). "Recurrent intranodal palisaded myofibroblastoma with metaplastic bone formation". Arch Pathol Lab Med. 123 (5): 433–6. doi:10.5858/1999-123-0433-RIPMWM. PMID 10235504.
