Iliopsoas bursitis
| Iliopsoas bursitis | |
|---|---|
![]() | |
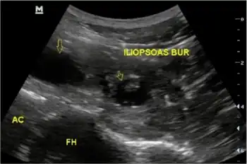
| a,b) Enhanced axial computed tomography of right iliopsoas bursitis and ultrasound-guided drainage | |
Iliopsoas bursitis is inflammation of a bursa (synovial sac) lying between iliopsoas muscle and hip joint, lateral to femoral vessels.[1] Pain is experienced over the same area and made worse by extension of hip joint.
References
- ↑ Fauci, Anthony (2010). Harrison's Rheumatology, Second Edition. McGraw-Hill Professional Publishing; Digital Edition. p. 271. ISBN 9780071741460.
