Hyperostosis frontalis interna

Hyperostosis frontalis interna
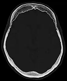
Hyperostosis frontalis interna in a 74-year-old woman
SpecialtyRadiology

Hyperostosis frontalis interna is a common, benign thickening of the inner side of the frontal bone of the skull. It is found predominantly in women after menopause and is usually asymptomatic. Mostly frequently it is found as an incidental finding discovered during an X-ray or CT scan of the skull.

Additional images

Hyperostosis frontalis at CT

References

    • She R, Szakacs J (2004). "Hyperostosis frontalis interna: case report and review of literature". Ann. Clin. Lab. Sci. 34 (2): 206–8. PMID 15228235.