Epithelial-myoepithelial carcinoma of the lung
| Epithelial-myoepithelial carcinoma of the lung | |
|---|---|
| Other names: EMECL Adenomyoepithelioma,[1] Myoepithelioma, Epithelial-myoepithelial tumor, Epimyoepithelial carcinoma, Malignant mixed tumor containing epithelial and myoepithelial cells.[2] | |
![]() | |
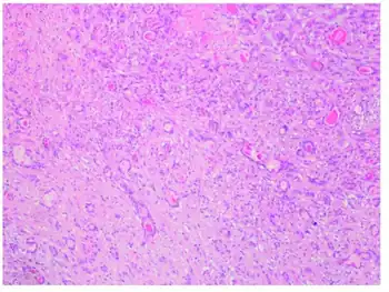
| (Primary) epithelial myoepithelial carcinoma of lung | |
| Specialty | Oncology |
Epithelial-myoepithelial carcinoma of the lung is a very rare histologic form of malignant epithelial neoplasm ("carcinoma") arising from lung tissue.[2]
Classification
Lung cancer is an extremely heterogeneous family of malignant neoplasms,[3] with well over 50 different histological variants recognized under the 4th revision of the World Health Organization (WHO) typing system ("WHO-2004"),[2] currently the most widely used lung cancer classification scheme. Because these variants have differing genetic, biological, and clinical properties, including response to treatment, correct classification of lung cancer cases are necessary to assure that lung cancer patients receive optimum management.[2][4][5]
The WHO-2004 scheme groups lung carcinomas into 8 major types:[2]
- Squamous cell carcinoma
- Small cell carcinoma
- Adenocarcinoma
- Large cell carcinoma
- Adenosquamous carcinoma
- Sarcomatoid carcinoma
- Carcinoid tumor
- Salivary gland-like carcinoma
EMECL is considered a subtype of salivary gland-like carcinoma, tumors so named because their histological appearance and characteristics closely resemble malignant neoplasms arising in the major and minor salivary glands.
Genetics
The epithelial component in EMECL's typically strongly express cytokeratins, but are negative for actin and S-100 protein, while the myoepithelial component stains strongly for actin and S-100 protein, and only focally weakly for cytokeratins.[6]
Diagnosis
Microscopically, EMECL features bi-layered glandular or ductular structures consisting of inner cuboidal cells and outer multipolar cells.[7]
The histologic appearance of these tumors varied, but all shared the common feature of a biphasic proliferation of epithelial (strong cytokeratin-positive; actin and S-100-negative) and myoepithelial (strong actin and S-100 and focal weak cytokeratin-positive) cells with formation of bilayered ductlike structures. The focal resemblance to other salivary gland-type tumors may cause diagnostic difficulties, particularly in small endobronchial biopsies. Although little is known about their biologic potential due to limited follow-up data, these tumors when in the lung clearly have the capacity to infiltrate and metastasize and therefore should be designated as epithelial-myoepithelial carcinoma. At present, it appears that treatment by complete surgical resection with negative margins alone is appropriate and adequate.[6]
Staging
EMECL is staged in the same manner as other non-small cell lung carcinomas, based on the TNM (Tumor-Node-Metastasis) staging system.[8]
Treatment
Complete radical surgical resection is the treatment of choice for EMECL, and in most cases, results in long-term survival or cure.[9][10]
Prognosis
The prognosis of EMECL is relatively good, and considerably better than most other forms of NSCLC. The skull and dura are possible sites for metastasis from pulmonary EMC. The MIB-1 index is a predictive marker of malignant potential.
Incidence
EMECL is extremely rare, with only a handful of cases reported in the literature.[11]
In the lung, two salivary gland-like carcinomas, mucoepidermoid carcinoma and adenoid cystic carcinoma, while extremely uncommon, occur far more often than does EMECL.[2][12]
References
- ↑ Tsuji N, Tateishi R, Ishiguro S, Terao T, Higashiyama M (August 1995). "Adenomyoepithelioma of the lung". The American Journal of Surgical Pathology. 19 (8): 956–62. doi:10.1097/00000478-199508000-00012. PMID 7611543.
- ↑ 2.0 2.1 2.2 2.3 2.4 2.5 Travis, William D; Brambilla, Elisabeth; Muller-Hermelink, H Konrad; Harris, Curtis C, eds. (2004). Pathology and Genetics of Tumours of the Lung, Pleura, Thymus and Heart (PDF). World Health Organization Classification of Tumours. Lyon: IARC Press. ISBN 92-832-2418-3. Archived from the original (PDF) on 23 August 2009. Retrieved 27 March 2010.
- ↑ Roggli VL, Vollmer RT, Greenberg SD, McGavran MH, Spjut HJ, Yesner R (June 1985). "Lung cancer heterogeneity: a blinded and randomized study of 100 consecutive cases". Human Pathology. 16 (6): 569–79. doi:10.1016/S0046-8177(85)80106-4. PMID 2987102.
- ↑ Rossi G, Marchioni A, Sartoril G, Longo L, Piccinini S, Cavazza A (2007). "Histotype in non-small cell lung cancer therapy and staging: The emerging role of an old and underrated factor". Curr Respir Med Rev. 3: 69–77. doi:10.2174/157339807779941820. S2CID 52904357.
- ↑ Vincent MD (August 2009). "Optimizing the management of advanced non-small-cell lung cancer: a personal view". Curr Oncol. 16 (4): 9–21. doi:10.3747/co.v16i4.465. PMC 2722061. PMID 19672420.
- ↑ 6.0 6.1 Nguyen CV, Suster S, Moran CA (March 2009). "Pulmonary epithelial-myoepithelial carcinoma: a clinicopathologic and immunohistochemical study of 5 cases". Human Pathology. 40 (3): 366–73. doi:10.1016/j.humpath.2008.08.009. PMID 18973918.
- ↑ Okudela K; Yazawa T; Tajiri M; et al. (February 2010). "A case of epithelial-myoepithelial carcinoma of the bronchus - a review of reported cases and a comparison with other salivary gland-type carcinomas of the bronchus". Pathol. Res. Pract. 206 (2): 121–9. doi:10.1016/j.prp.2009.03.003. PMID 19369010.
- ↑ Rami-Porta R, Crowley JJ, Goldstraw P (February 2009). "The revised TNM staging system for lung cancer". Annals of Thoracic and Cardiovascular Surgery. 15 (1): 4–9. PMID 19262443.
- ↑ Muro M; Yoshioka T; Idani H; et al. (March 2010). "肺に発生した上皮-筋上皮癌" [Epithelial-myoepithelial carcinoma of the lung]. Kyobu Geka (in 日本語). 63 (3): 220–3. PMID 20214352. Archived from the original on 16 January 2023. Retrieved 11 October 2021.
- ↑ Nishihara M, Takeda N, Tatsumi S, Kidoguchi K, Hayashi S, Sasayama T, Kohmura E, Hashimoto K (2011). "Skull metastasis as initial manifestation of pulmonary epithelial-myoepithelial carcinoma: a case report of an unusual case". Case Reports in Oncological Medicine. 2011: 610383. doi:10.1155/2011/610383. PMC 3352177. PMID 22629483.
- ↑ Doganay L, Bilgi S, Ozdil A, Yoruk Y, Altaner S, Kutlu K (April 2003). "Epithelial-myoepithelial carcinoma of the lung. A case report and review of the literature". Archives of Pathology & Laboratory Medicine. 127 (4): e177–80. doi:10.5858/2003-127-e177-ECOTL. PMID 12683896.
- ↑ Travis WD, Travis LB, Devesa SS (January 1995). "Lung cancer". Cancer. 75 (1 Suppl): 191–202. doi:10.1002/1097-0142(19950101)75:1+<191::AID-CNCR2820751307>3.0.CO;2-Y. PMID 8000996.
External links
- "Pathology and Genetics of Tumours of the Lung, Pleura, Thymus and Heart". World Health Organization Classification of Tumours. Archived from the original on 15 November 2015. Retrieved 11 October 2021. (Download Page).
- [1] National Library of Medicine
- "Lung cancer page". National Cancer Institute. 1 January 1980. Archived from the original on 6 April 2015. Retrieved 11 October 2021.
