Ectopic kidney
| Ectopic kidney | |
|---|---|
| Other names: Renal ectopia | |
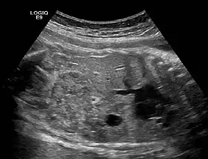
![]() | |
| Ectopic crossed fused kidney in a fetus approx. 34 weeks | |
| Specialty | Nephrology |
Ectopic kidney describes a kidney that is not located in its usual position. It results from the kidney failing to ascend from its origin in the true pelvis or from a superiorly ascended kidney located in the thorax.[1]
It has an incidence of approximately 1/900.[2]

See also
References
- ↑ "Ectopic Kidney - Renal Ectopia - Causes, Symptoms, Diagnosis, Treatment, Complications". Medindia. 18 March 2015. Archived from the original on 21 February 2019. Retrieved 23 December 2016.
- ↑ "Ectopic Kidney". Archived from the original on 2011-06-08. Retrieved 2007-12-01.
External links
| Classification |
|---|
