Congenital hypoplastic anemia
| Congenital hypoplastic anemia | |
|---|---|
| Other names: Constitutional aplastic anemia | |
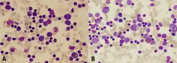
![]() | |
| a,b)Bone marrow in Diamond-Blackfan anemia | |
| Specialty | Hematology |
Congenital hypoplastic anemia is a type of aplastic anemia which is primarily due to a congenital disorder.
Associated genes include TERC, TERT, IFNG, NBS1, PRF1, and SBDS.[1]
Examples include:
References
External links
| Classification |
|---|
