Caput medusae
| Caput medusae | |
|---|---|
| Other names: Palm tree sign; cirsomphalos | |
![]() | |
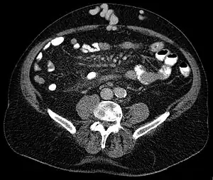
| Axial CT showing portosystemic collateral circulation via the umbilical vein: caput medusae in liver cirrhosis | |
| Specialty | Gastroenterology |
Caput medusae (Cirsomphalos[1]) is the appearance of distended and engorged superficial epigastric veins, which are seen radiating from the umbilicus across the abdomen. The name caput medusae (Latin for "head of Medusa") originates from the apparent similarity to Medusa's head, which had venomous snakes in place of hair. It is also a sign of portal hypertension.[2] It is caused by dilation of the paraumbilical veins, which carry oxygenated blood from mother to fetus in utero and normally close within one week of birth, becoming re-canalised due to portal hypertension caused by liver failure.
The differential diagnosis is Inferior vena cava obstruction:
- Produces abdominal collateral veins to bypass the blocked inferior vena cava and permit venous return from the legs.
Determine the direction of flow in the veins below the umbilicus. After pushing down on the prominent vein, blood will:
- flow toward the legs → caput medusae
- flow toward the head → inferior vena cava obstruction.

See also
References
- ↑ "Caput medusae (Concept Id: C0221226) - MedGen - NCBI". www.ncbi.nlm.nih.gov. Archived from the original on 2023-06-30. Retrieved 2023-06-27.
- ↑ Mohammed, Ayad Ahmad (2020-04-24). "Caput medusae sign; a unique finding during abdominal examination in patients with portal hypertension; case report". Annals of Medicine and Surgery. 54: 54–56. doi:10.1016/j.amsu.2020.04.004. ISSN 2049-0801. PMC 7191313. PMID 32373342. Archived from the original on 2023-05-04. Retrieved 2023-05-04.
External links
| Classification |
|---|
