Calcifying aponeurotic fibroma
| Cacifying aponeurotic fibroma | |
|---|---|
| Other names: Aponeurotic fibroma, juvenile aponeurotic fibroma[1] | |
![]() | |
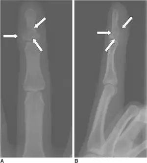
| Calcifying aponeurotic fibroma-a,b)Show eccentrically located osteolytic lesion at base of distal phalanx | |
| Symptoms | Painless, irregular soft tissue lump[1] |
| Usual onset | Children, teenagers[1] |
| Causes | Unknown[1] |
| Treatment | Resection[1] |
| Prognosis | Up to 50% may recur[1] |
| Frequency | Rare[1] |
Calcifying aponeurotic fibroma is a non-cancerous fibroblastic and myofibroblastic tumor, a type of soft tissue tumor, that typically presents as a painless, irregular nodule most frequently in hands and feet of children and teenagers.[1][2] It is often adherent to tendon and aponeurosis.[1]
The cause is unknown.[1] Up to 50% may recur years after resection.[1]
The condition is rare.[1]
Naming
The World Health Organization, 2020, reclassified calcifying aponeurotic fibroma nodules as a specific benign type of the fibroblastic and myofibroblastic tumors.[3]
See also
References
- ↑ 1.00 1.01 1.02 1.03 1.04 1.05 1.06 1.07 1.08 1.09 1.10 1.11 WHO Classification of Tumours Editorial Board, ed. (2020). "1. Soft tissue tumours: Calcifying aponeurotic fibroma". Soft Tissue and Bone Tumours: WHO Classification of Tumours. Vol. 3 (5th ed.). Lyon (France): International Agency for Research on Cancer. pp. 74–75. ISBN 978-92-832-4503-2.
- ↑ Demicco, Elizabeth G. (2023). "3. Fibroblastic and myofibroblastic tumors". In Folpe, Andrew L.; Nielsen, Gunnlaugur Petur (eds.). Bone and Soft Tissue Pathology: A Volume in the Foundations in Diagnostic Pathology Series (2nd ed.). Philadelphia: Elsevier. ISBN 978-0-323-75871-0. Archived from the original on 2023-03-02. Retrieved 2023-03-02.
- ↑ Sbaraglia M, Bellan E, Dei Tos AP (April 2021). "The 2020 WHO Classification of Soft Tissue Tumours: news and perspectives". Pathologica. 113 (2): 70–84. doi:10.32074/1591-951X-213. PMC 8167394. PMID 33179614.
.png)