Burr hole
| Burr hole | |
|---|---|
| Other names: Cranial burr hole, trepanation, trephining, trepanning, trephination | |
![]() | |
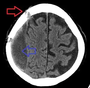
| Chronic subdural bleed with old burr holes | |
| Specialty | Neurosurgery, emergency medicine |
| Indications | Epidural or subdural hematoma[1] |
| Steps | 1) Confirm location on CT scan 2) Measure the skull thickness 3) Shave, sterilize, and inject lidocaine with epinephrine Make a 4 cm cut down to the bone (generally 2 fingers in-front and above the ear canal) 5) Use a retractor to keep skin open 6) Drill through the skull 7) In an epidural, blood may come out or require suction 8) In a subdural, pull up the dura with a hook, and make an X shaped cut[1] |
| Complications | Infection, bleeding[1] |
Burr hole, also known as trepanation, is a procedure in which a hole is made through the skull.[2] This is done to treat epidural or subdural hematomas when midline shift occurs, the Glasgow coma scale is less than 8, and one pupil has enlarged.[1] While most commonly performed by neurosurgery, It may be done by an emergency physician if the former is not available.[1][3]
The person is generally intubated before starting.[1] The location of the bleed is confirm on CT scan and the thickness of the overlying skull is measured.[1] The location is than shaved, sterilized, and injected with lidocaine with epinephrine.[1] An approximately 4 centimeter (1.57" inch) long cut down to the bone is made.[1] This is generally done 2 fingers in-front and 2 fingers above the ear canal.[1] A retractor is than used to keep the skin open while a drill is used to get through the skull.[1] With an epidural hematoma the blood may come out or require gentle suction.[1] In a subdural hematoma, the dura should be lifted with a sharp hook and a X shaped cut made in it.[1]
Antibiotics should be given to prevent infection and the person should receive definitive care by neurosurgery.[1] Trepanation is the oldest known type of surgery with evidence of it being performed throughout history.[4] Anthropologists believe it was originally carried out for spiritual purposes, epilepsy, headaches, head wounds, and mental disorders.[4]
Medical use
Burr holes may be used for epidural and subdural hematomas, and surgical access for certain other neurosurgical procedures, such as intracranial pressure monitoring or microvascular decompression. When multiple burr holes are used to remove a piece of skull it is known as a craniotomy. Trepanation instruments, nowadays being replaced with cranial drills, are now available with diamond-coated rims, which are less traumatic than the classical trephines with sharp teeth. They are smooth to soft tissues and cut only bone.[5] Additionally, the specially designed drills come with safety feature prevents the drill from penetration into the brain tissue (through the dura mater).
Technique
Preparation
The person is generally intubated before hand.[1] They are than placed on their back with a towel role under the shoulder on the affected side.[1] The procedure is than done with someone holding the person's head still.[1]
Steps
- Confirm the location on CT scan[1]
- Measure the thickness of the skull in that area[1]
- Shave and sterilize the area[1]
- Inject lidocaine with epinephrine[1]
- Make a 4 centimeter (1.57" inch) long cut down to the bone. This is generally done 2 fingers in-front of and 2 fingers above the ear canal.[1]
- Use a retractor to keep skin open[1]
- Drill through the skull[1]
- Remove any bone fragments[1]
- With an epidural hematoma the blood may come out or require gentle suction. If a bleeding middle meningeal artery it may be clamped or cauterized.[1][6]
- In a subdural hematoma, pull up the dura with a sharp hook, and make an X shaped cut in it[1]
Bleeding from the bone edges can be stopped using bone wax.[6] Antibiotics should be given to prevent infection.[1]
The use of an intraosseous needle to decompress a bleed has also been described.[1]
Equipment
-
Equipment needed for a cranial burr hole.[1] -

-
A technical drawing of the clutch mechanism of a "perforator" drill bit
Complications
The procedure comes with severe repercussions such as direct or indirect perioperative complications, which include increased damage to the brain, infection, and blood loss.[7] The operation leaves very minimal space for error and a high incidence of mortality, if the dura mater is penetrated. Additionally, there is a high risk of infection if the operation is conducted with contaminated tools or improper sanitary wound care. If the infection is not caught and treated, it can be fatal or lead to significant and permanent brain damage.
History
Prehistoric evidence
Trepanation is perhaps the oldest surgical procedure for which there is archaeological evidence,[8] and in some areas may have been quite widespread. The main pieces of archaeological evidence are in the forms of cave paintings and human remains. At one burial site in France dated to 6500 BCE, 40 out of 120 prehistoric skulls found had trepanation holes.[9] Many prehistoric and premodern patients had signs of their skull structure healing, suggesting that many of those subjected to the surgery survived. Another skull with a trepanation hole was found at burial site Chalaghantepe (Agdam Rayon, Azerbaijan) dated to the 5th millennium BCE.
More than 1,500 trephined skulls from the Neolithic period (representing 5 to 10% of all Stone Age skulls) have been uncovered throughout the world – from Europe, Siberia, China and the Americas.[10] Most of the trephined crania belong to adult males, but women and children are also represented. A cow skull dating to 3400-3000 BCE upon which trepanation had been performed was discovered in France.[11]
-
The perimeter of the hole in this trepanated Neolithic skull is rounded off by ingrowth of new bony tissue, indicating that the patient survived the operation. -
Skulls from the Bronze Age, exposed at the Musée archéologique de Saint-Raphaël (Archeological Museum of Saint-Raphaël), found in Comps-sur-Artuby (France). The subjects survived operations.
Pre-Columbian America
In the more recent times of postclassical pre-Columbian Mesoamerica, evidence for the practice of trepanation and an assortment of other cranial deformation techniques comes from a variety of sources, including physical cranial remains of burials, allusions in iconographic artworks and reports from the post-colonial period.
Among New World societies trepanning is most commonly found in the Andean civilizations, such as pre-Incan cultures. For example, the Paracas culture Ica, situated in what is now known as Ica, located south of Lima. It has also been found in the Muisca Confederation[12] (in modern-day Colombia) and the Inca Empire. In both, even cranioplasty existed. Its prevalence among Mesoamerican civilizations is much lower, at least judging from the comparatively few trepanated crania that have been uncovered.[13]
The archaeological record in Mesoamerica is further complicated by the practice of skull mutilation and modification carried out after the death of the subject, to fashion "trophy skulls" and the like of captives and enemies. This was a widespread tradition, illustrated in pre-Columbian art that occasionally depicts rulers adorned with or carrying the modified skulls of their defeated enemies, or of the ritualistic display of sacrificial victims. Several Mesoamerican cultures used a skull-rack (known by its Nahuatl term, tzompantli), on which skulls were impaled in rows or columns of wooden stakes. Even so, some evidence of genuine trepanation in Mesoamerica (i.e., where the subject was living) has survived.
The earliest archaeological survey published of trepanated crania was a late 19th-century study of several specimens recovered from the Tarahumara mountains by the Norwegian ethnographer Carl Lumholtz.[13][14] Later studies documented cases identified from a range of sites in Oaxaca and central Mexico, such as Tilantongo, Oaxaca and the major Zapotec site of Monte Albán. Two specimens from the Tlatilco civilization's homelands (which flourished around 1400 BCE) indicate the practice has a lengthy tradition.[15]
A study of ten low-status burials from the Late Classic period at Monte Albán concluded that the trepanation had been applied non-therapeutically, and, since multiple techniques had been used and since some people had received more than one trepanation, concluded it had been done experimentally. Inferring the events to represent experiments on people until they died, the study interpreted that use of trepanation as an indicator of the stressful sociopolitical climate that not long thereafter resulted in the abandonment of Monte Alban as the primary regional administrative center in the Oaxacan highlands.
Specimens identified from the Maya civilization region of southern Mexico, Guatemala and the Yucatán Peninsula show no evidence of the drilling or cutting techniques found in central and highland Mexico. Instead, the pre-Columbian Maya apparently used an abrasive technique that ground away at the back of the skull, thinning the bone and sometimes perforating it, similar to the examples from Cholula. Many skulls from the Maya region date from the Postclassic period (ca. 950–1400 CE), and include specimens found at Palenque in Chiapas, and recovered from the Sacred Cenote at the prominent Postclassic site of Chichen Itza in northern Yucatán.[16]
The perforations were found with the growth of fine bone spurs, which indicate that trepanation had been carried out on live subjects, rather than being a ritual conducted after death. There is evidence that some individuals survived multiple skull surgeries. There is evidence of bone remodelling around the skull defects, corroborated by the smooth borders around the opening, sealed by a dense cortex of bone, denoting procedural success after trepanation. Furthermore, the survival rate of the operations was higher than expected and the infection rate relatively low.[17] However, several skulls also show the risk of the operation, with some indicating the stopping mid-operation as the trephining is incomplete.
Ancient China
As recently as 2007, archaeological evidence of trepanation in ancient China was nonexistent. Since Chinese culture mainly focuses only on traditional Chinese medicine that usually entails non-surgical treatments such as acupuncture, balancing Qigong, cupping, herbal remedies, etc., the resulting misconception was that trepanation was not practiced in ancient China. However, in 2007, Han and Chen from the Institute of Archeology, Chinese Academy of Social Sciences looked at six trepanned skulls spanning between the Neolithic period through the Bronze and Iron Ages (around 5000–2000 years ago) found in five different locations.[18] Along with the discovery of these trepanned skulls, another collection of 13 trepanned skulls was discovered and dated to 3,000 years ago.[18] In 2015, an intact 3,600-year-old mummy with a trepanned skull was discovered. Meanwhile, the oldest trepanned skull (M382) analysed by Han and Chen was radiocarbon dated to around 5,000 years ago and discovered at the Fuija site in Guangrao, Shandong. The skull, which belonged to an adult male, exhibited a right parietal calvarial defect (31 x 25 mm) with evidence of scraping by a trephine-like tool.[18] Additionally, bone regeneration and smooth edges suggest that the subject recovered from the surgery and lived a relatively long time afterward.
The 3,600-year-old perforated skull of a mummified female dating to 1615 BC in the Xiaohe tomb in China's Xinjiang Uygur Autonomous Region.[18] The only known female with a trepanned skull, shown signs of bone spurs growth and retraction of the edges suggest that she also survived the surgery. Found in a massive burial site, this mummy was one of the hundreds found in the "Little River" Tomb complex.
The Bronze Age was found to be a period with the largest number of trepanned skulls in ancient China.[18]
Medieval East Africa
Trephining has a long history in East Africa. Bones of depressed fractures were elevated by surgeons of Bunyoro-Kitara.[19] The hair may or may not have been shaved depending upon the site of the operation.
Pre-modern Europe
Trepanation was also practised in the classical and Renaissance periods. Hippocrates gave specific directions on the procedure from its evolution through the Greek age, and Galen also elaborates on the procedure. During the Middle Ages and the Renaissance, trepanation was practiced as a cure for various ailments, including seizures and skull fractures. Out of eight skulls with trepanations from the 6th to 8th centuries found in southwestern Germany, seven skulls show clear evidence of healing and survival after trepanation, suggesting that the survival rate of the operations was high and the infection rate was low.[20]
In the graveyards of pre-Christian (Pagan) Magyars, archeologists found a surprisingly high frequency (12.5%) of skulls with trepanation, although more than 90% only partial (these served probably ritual purposes).[21] The trepanation was performed on adults only, with similar frequencies for males and females, but increasing frequency with age and wealth. This custom suddenly disappeared with the Magyars' conversion to Christianity.
A small area near (modern) Rostov-on-Don, in southern Russia, may have been a centre for ritual trepanning, around 6000 years ago, according to archeologists who discovered remains of eight recipients of the practice, within a small area, all with the incision in the unusual obelion position, high on the back of the head.[22]
-
Detail from The Extraction of the Stone of Madness, a painting by Hieronymus Bosch depicting trepanation (c.1488–1516). -
Dr. John Clarke trepanning a skull, ca. 1664, in one of the earliest American portraits. Clarke is alleged to have been the first physician to have performed the operation in the New England Colonies. -
Trepanation instruments, 18th century; Germanic National Museum in Nuremberg
1900s
The prefrontal leucotomy, a precursor to lobotomy, was performed by cutting a trephine hole into the skull, inserting an instrument, and destroying parts of the brain.[23] This was later made unnecessary by the development of the "orbital transit" lobotomy where a spike was inserted through the eye-sockets.
Tools and methods
As early as 7000 years ago, one of the alternative medicine practice was boring holes in the patient's neurocranium with the aim to cure and not to kill. Similar to bloodletting, trepanation was carried out for both medical reasons and mystical practice.
In ancient times, trepanation instruments were less complex, and were commonly made out of flint, obsidian, or harder material such as stone knives, and later with metal such as bronze and copper.[24] Additionally, the procedure was done by shamans or witch doctors utilizing tumi (ceremonial knife in early Peru), sharpened seashells (South Pacific), a trephine drill, bronze knife, etc.[24] The Greeks and Romans were the first to have designed medical instruments that were used to penetrate the skull.[4] Such instruments includes the terebra serrata made to perforate the cranium by manually rolling the instrument between the surgeon's hand.[4] By the Renaissance period, when trepanation was routinely performed, a range of instruments was developed to accommodate the demand.
As many as five main methods were found for trephination. The list includes (1) Rectangular intersecting cuts; (2) Scraping utilizing an abrasive instrument such as flint; (3) Circular grooving; (4) Boring and cutting by a circular trephine or crown saw; (5) Burr hole done by drilling several circle holes closely to create a space and then cut/chisel the bone between the hole.[25] Scraping method was found to be the most common in prehistoric.[24] The differences in method vary in the amount and depth of bone being removed. The trepanation surgical procedure includes exposure of the dura mater without damaging the underlying blood vessels, meninges, and brain. Over time, the skin will reform over the puncture site, but the hole in the skull will remain.
The location of the trepanation on the skull varies by geographical region and period, common locations are the frontal and the occipital bones.[17] In most cases, trepanation was a one-off operation, with only a small percentage of the trepanned skulls having undergone more than one surgery. In those with multiple openings, the extent of bone remodelling indicate whether the opening was done at around the same time or at different times during the individual's life.[17]
Society and culture
The practice of trepanning also continues today due to belief in various pseudoscientific medical benefits. Some proponents claim[26] that trepanning results in increased blood flow.[27] Individuals have practiced non-emergency trepanning for psychological purposes. A prominent proponent of the modern view is Peter Halvorson, who drilled a hole in the front of his own skull to increase "brain blood volume".[9]
One of the most prominent advocates of trepanning was Dutch librarian Bart Huges. In 1965, Huges drilled a hole in his own head with a dentist drill as a publicity stunt. Huges claimed that trepanning increases "brain blood volume" and thereby enhances cerebral metabolism in a manner similar to cerebral vasodilators such as ginkgo biloba. These claims are unsubstantiated by research. Huges and his girlfriend also made several comic books in the 1970s, which promoted trepanation.[28]
In a chapter of his book Eccentric Lives & Peculiar Notions, esotericist John Michell cites Huges as pioneering the idea of trepanning in his 1962 monograph, Homo Sapiens Correctus, which is often cited by advocates of self-trepanation. Among other arguments, Huges contends that children have a higher state of consciousness and since children's skulls are not fully closed, one can return to an earlier, childlike state of consciousness by self-trepanation. Further, by allowing the brain to freely pulsate Huges argues that a number of benefits will accrue.
Michell quotes Joey Mellen's book, Bore Hole. At the time the passage below was written, Joey and his partner, Amanda Feilding, had made two previous attempts at trepanning Mellen. The second attempt ended up placing Mellen in the hospital, where he was reprimanded severely and sent for psychiatric evaluation. After he returned home, Mellen decided to try again. He describes his third attempt at self-trepanation:
After some time there was an ominous sounding schlurp and the sound of bubbling. I drew the trepan out and the gurgling continued. It sounded like air bubbles running under the skull as they were pressed out. I looked at the trepan and there was a bit of bone in it. At last!
Feilding also performed a self-trepanation with a drill, while Mellen shot the operation for the short film "Heartbeat in the Brain", which was long thought to have been lost. Portions of the film can be seen in the documentary A Hole in the Head.[29]
Michell also describes a British group that advocates self-trepanation to allow the brain access to more space and oxygen. Other modern practitioners of trepanation claim that it holds other medical benefits, such as a treatment for depression or other psychological ailments. In 2000, two men from Cedar City, Utah, were prosecuted for practicing medicine without a license after they performed a trepanation on an English woman to treat her chronic fatigue syndrome and depression.[30]
Terminology
The verb trepan derives from Old French from Medieval Latin trepanum from Greek trypanon, literally "borer, auger")[31][32]
It may also refer to any "burr" hole created through other body surfaces, including a finger or toenail. In modern eye surgery, a trephine instrument is used in corneal transplant surgery. It is performed to relieve the pain associated with a subungual hematoma (blood under the nail); a small amount of blood is expressed through the hole and the pain associated with the pressure is partially alleviated. Similarly, in abdominal surgery, a trephine incision is when a small disc of abdominal skin is excised to accommodate a stoma. Although the abdominal wall does not contain bone, the use of the word 'trephine' in this context may relate to the round excised area of skin being similar in shape to a burr hole.
References
- ↑ 1.00 1.01 1.02 1.03 1.04 1.05 1.06 1.07 1.08 1.09 1.10 1.11 1.12 1.13 1.14 1.15 1.16 1.17 1.18 1.19 1.20 1.21 1.22 1.23 1.24 1.25 1.26 1.27 1.28 1.29 1.30 "Unlocking Common ED Procedures – Crackin' the Cranium: A Review of Cranial Burr Hole Decompression". emDOCs.net - Emergency Medicine Education. 9 April 2020. Archived from the original on 28 November 2020. Retrieved 15 March 2021.
- ↑ Hobert, L; Binello, E (May 2017). "Trepanation in Ancient China". World neurosurgery. 101: 451–456. doi:10.1016/j.wneu.2016.10.051. PMID 27769950.
- ↑ 3.0 3.1 Wilson, MH; Wise, D; Davies, G; Lockey, D (2 April 2012). "Emergency burr holes: "How to do it"". Scandinavian journal of trauma, resuscitation and emergency medicine. 20: 24. doi:10.1186/1757-7241-20-24. PMID 22469190.
{{cite journal}}: CS1 maint: unflagged free DOI (link) - ↑ 4.0 4.1 4.2 4.3 Faria, Miguel A. (2013-04-05). "Violence, mental illness, and the brain – A brief history of psychosurgery: Part 1 – From trephination to lobotomy". Surgical Neurology International. 4: 49. doi:10.4103/2152-7806.110146. ISSN 2229-5097. PMC 3640229. PMID 23646259.
{{cite journal}}: CS1 maint: unflagged free DOI (link) - ↑ Mondorf, Y.; Abu-Owaimer, M.; Gaab, M.R.; Oertel, J.M. (December 2009). "Chronic subdural hematoma—craniotomy versus burr hole trepanation". British Journal of Neurosurgery. 23 (6): 612–616. doi:10.3109/02688690903370297. PMID 19922275. S2CID 41293769.
- ↑ 6.0 6.1 Surgical care at the district hospital (PDF). Geneva: World Health Organization. 2003. p. 17-16. ISBN 9241545755. Archived (PDF) from the original on 27 January 2018. Retrieved 16 March 2021.
- ↑ Nikita, Efthymia (2017-01-01), Nikita, Efthymia (ed.), "Chapter 8 - Pathological Conditions", Osteoarchaeology, Academic Press, pp. 301–354, doi:10.1016/B978-0-12-804021-8.00008-5, ISBN 978-0-12-804021-8, archived from the original on 2021-02-24, retrieved 2020-05-05
- ↑ Capasso, Luigi (2002). Principi di storia della patologia umana: corso di storia della medicina per gli studenti della Facoltà di medicina e chirurgia e della Facoltà di scienze infermieristiche (in italiano). Rome: SEU. ISBN 978-88-87753-65-3. OCLC 50485765.
- ↑ 9.0 9.1 Restak, Richard (2000). "Fixing the Brain". Mysteries of the Mind. Washington, D.C.: National Geographic Society. ISBN 978-0-7922-7941-9. OCLC 43662032.
- ↑ Faria, Miguel A. (2015-05-07). "Neolithic trepanation decoded- A unifying hypothesis: Has the mystery as to why primitive surgeons performed cranial surgery been solved?". Surgical Neurology International. 6: 72. doi:10.4103/2152-7806.156634. PMC 4427816. PMID 25984386.
{{cite journal}}: CS1 maint: unflagged free DOI (link) - ↑ Ramirez Rozzi, Fernando; Froment, Alain (2018). "Earliest Animal Cranial Surgery: From Cow to Man in the Neolithic". Scientific Reports. 8 (1): 5536. Bibcode:2018NatSR...8.5536R. doi:10.1038/s41598-018-23914-1. PMC 5908843. PMID 29674628.
- ↑ "Tomado del libro "Sopó, historia, mitos y muiscas" de Ruth Marlene Bohórquez". "Cranioplasty in the Muisca Confederation (Spanish)". Archived from the original on 2011-05-19. Retrieved 2012-01-24.
{{cite journal}}: Cite journal requires|journal=(help)CS1 maint: multiple names: authors list (link) - ↑ 13.0 13.1 Tiesler Blos, Vera (2003). "Cranial Surgery in Ancient Mesoamerica" (PDF). Mesoweb. Archived (PDF) from the original on 2019-06-01. Retrieved 2006-05-23.
{{cite journal}}: Cite journal requires|journal=(help) - ↑ Lumholtz, Carl (1897). "Trephining in Mexico". American Anthropologist. 10 (12): 389. doi:10.1525/aa.1897.10.12.02a00010. Archived from the original on 2020-08-09. Retrieved 2019-09-09.
- ↑ Romero Molina, Javier (1970). "Dental Mutilation, Trephination, and Cranial Deformation". In T. Dale Stewart (volume ed.) (ed.). Handbook of Middle American Indians, Vol. 9: Physical Anthropology. Robert Wauchope (series ed.) (2nd. edition (revised) ed.). Austin: University of Texas Press. ISBN 0-292-70014-8. OCLC 277126.
- ↑ Tiesler Blos, Vera (1999). "Rasgos Bioculturales Entre los Antiguos Mayas: Aspectos Culturales y Sociales" (in español). Doctoral thesis in Anthropology, UNAM.
{{cite journal}}: Cite journal requires|journal=(help) - ↑ 17.0 17.1 17.2 Kushner, David S.; Verano, John W.; Titelbaum, Anne R. (June 2018). "Trepanation Procedures/Outcomes: Comparison of Prehistoric Peru with Other Ancient, Medieval, and American Civil War Cranial Surgery". World Neurosurgery. 114: 245–251. doi:10.1016/j.wneu.2018.03.143. hdl:10150/628576. ISSN 1878-8769. PMID 29604358.
- ↑ 18.0 18.1 18.2 18.3 18.4 Hobert, Leah; Binello, Emanuela (May 2017). "Trepanation in Ancient China". World Neurosurgery. 101: 451–456. doi:10.1016/j.wneu.2016.10.051. ISSN 1878-8769. PMID 27769950.
- ↑ Davies, J. N. P. (1959). "The Development of Scientific Medicine in the African Kingdom of Bunyoro-Kitara". Medical History. 3 (1): 47–57. doi:10.1017/s0025727300024248. ISSN 0025-7273. PMC 1034446. PMID 13632207.
- ↑ Weber, J.; A. Czarnetzki (2001). "Trepanationen im frühen Mittelalter im Südwesten von Deutschland – Indikationen, Komplikationen und Outcome". Zentralblatt für Neurochirurgie (in Deutsch). 62 (1): 10–4. doi:10.1055/s-2001-16333. PMID 11496341.
- ↑ "Agyafúrt magyarok – Koponyalékelés a honfoglaláskorban – Sírásók naplója". Sirasok.blog.hu. Archived from the original on 2017-06-12. Retrieved 2012-04-05.
- ↑ Why our ancestors drilled holes in each other’s skulls Archived 2019-10-31 at the Wayback Machine, BBC Earth, 29 August 2016
- ↑ Moniz, Egas (1937). "Prefrontal Leucotomy in the Treatment of Mental Disorders". American Journal of Psychiatry. 93 (6): 1379–1385. doi:10.1176/ajp.93.6.1379. ISSN 0002-953X.
- ↑ 24.0 24.1 24.2 Verano, John W. (2017-12-01). "Reprint of-Differential diagnosis: Trepanation". International Journal of Paleopathology. 19: 111–118. doi:10.1016/j.ijpp.2017.03.004. ISSN 1879-9817. PMID 29198392. Archived from the original on 2021-08-28. Retrieved 2020-04-28.
- ↑ "A Hole in the Head: A Complete History of Trepanation". The MIT Press Reader. 2019-08-29. Archived from the original on 2020-03-11. Retrieved 2020-04-28.
- ↑ Joseph Cox (August 14, 2013). "An Interview with the Woman Who Drilled a Hole in Her Head to Open Up Her Mind". Archived from the original on 2016-09-17. Retrieved 2013-08-15.
- ↑ Frood, Arran. "Like a hole in the head: The return of trepanation " Archived February 2, 2014, at the Wayback Machine February 2, 2014, at the Wayback Machine. New Scientist (17 June 2009)
- ↑ "Eveline van Dijk". Archived from the original on 2020-01-02. Retrieved 2020-01-02.
- ↑ John Doran (February 12, 2016). "I Drilled a Hole in My Own Skull to Stay High Forever". Archived from the original on 2016-08-26. Retrieved 2016-02-13.
- ↑ Reporters Committee for Freedom of the Press (2000) ABC ordered to hand over unedited head-drilling tapes Archived August 23, 2016, at the Wayback Machine August 23, 2016, at the Wayback Machine.
- ↑ Harper, Douglas. "trepan". Online Etymology Dictionary.
- ↑ τρύπανον. Liddell, Henry George; Scott, Robert; A Greek–English Lexicon at the Perseus Project. Liddell, Henry George; Scott, Robert; A Greek–English Lexicon at the Perseus Project.
External links
- Single use kits Archived 2024-05-15 at the Wayback Machine
- EMRAP Archived 2021-08-28 at the Wayback Machine
- WHO surgical instructions on burr holes
