Acute myeloblastic leukemia without maturation
| Acute myeloblastic leukemia without maturation | |
|---|---|
![]() | |
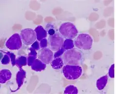
| Myeloblast | |
| Specialty | Hematology |
Acute myeloblastic leukemia without maturation is a quickly progressing disease in which too many immature white blood cells (not lymphocytes) are found in the blood and bone marrow.[1]
It is classified as "M1" in the FAB classification.
.png)
References
- ↑ Acute myeloblastic leukemia Archived 2022-12-12 at the Wayback Machine at Mount Sinai Hospital
External links
| Classification |
|---|
- Acute myeloblastic leukemia Archived 2015-04-25 at the Wayback Machine entry in the public domain NCI Dictionary of Cancer Terms
This article incorporates public domain material from the U.S. National Cancer Institute document: "Dictionary of Cancer Terms".
Template:Oncology-stub
